购物车
  • TargetMol
    您的购物车当前为空

Anti-TM7SF2 Polyclonal Antibody

Synonyms: Transmembrane 7 superfamily member 2, TM7SF2, Sterol C14 reductase, Putative sterol reductase SR 1, NET47, ERG24, DHCR14A, delta-14-SR, delta(14) sterol reductase, delta 14 SR, C 14 sterol reductase, Another new gene 1 protein, ANG1
货号 TMAB-01864 一键复制产品信息
Rating icon 还可以
202603开学季活动

Anti-TM7SF2 Polyclonal Antibody 是一种 Rabbit 抗体,靶向 TM7SF2。Anti-TM7SF2 Polyclonal Antibody 可用于 IF,IHC-Fr,IHC-P,WB。

Anti-TM7SF2 Polyclonal Antibody

一键复制产品信息
Rating icon 还可以
202603开学季活动
货号 TMAB-01864

别名 Transmembrane 7 superfamily member 2, TM7SF2, Sterol C14 reductase, Putative sterol reductase SR 1, NET47, ERG24, DHCR14A, delta-14-SR, delta(14) sterol reductase, delta 14 SR, C 14 sterol reductase, Another new gene 1 protein, ANG1

Anti-TM7SF2 Polyclonal Antibody 是一种 Rabbit 抗体,靶向 TM7SF2。Anti-TM7SF2 Polyclonal Antibody 可用于 IF,IHC-Fr,IHC-P,WB。

Anti-TM7SF2 Polyclonal Antibody
规格价格库存数量
50 μL
¥ 1,165
5日内发货
100 μL
¥ 1,970
5日内发货
200 μL
¥ 2,790
5日内发货
库存状态实时更新,以官网显示为准,现货产品可直接加购物车下单
大包装 & 定制
加入购物车

TargetMol的所有产品仅用作科学研究或药证申报,不能被用于人体,我们不向个人提供产品和服务。请您遵守承诺用途,不得违反法律法规规定用于任何其他用途。

实验操作小课堂
常见问题解答
查看更多

资源下载:产品操作手册

产品介绍


生物活性
产品描述
Anti-TM7SF2 Polyclonal Antibody is a Rabbit antibody targeting TM7SF2. Anti-TM7SF2 Polyclonal Antibody can be used in IF,IHC-Fr,IHC-P,WB.
别名
Transmembrane 7 superfamily member 2, TM7SF2, Sterol C14 reductase, Putative sterol reductase SR 1, NET47, ERG24, DHCR14A, delta-14-SR, delta(14) sterol reductase, delta 14 SR, C 14 sterol reductase, Another new gene 1 protein, ANG1
Ig Type
IgG
反应种属
Human,Mouse,Rat (predicted:Cow,Rabbit,Sheep)
验证活性
1. Sample:
Lane 1: Mouse Adrenal gland tissue lysates
Lane 2: Rat Adrenal gland tissue lysates
Primary: Anti-TM7SF2 (TMAB-01864) at 1/1000 dilution
Secondary: IRDye800CW Goat Anti-Rabbit IgG at 1/20000 dilution
Predicted band size: 46 kDa
Observed band size: 58 kDa
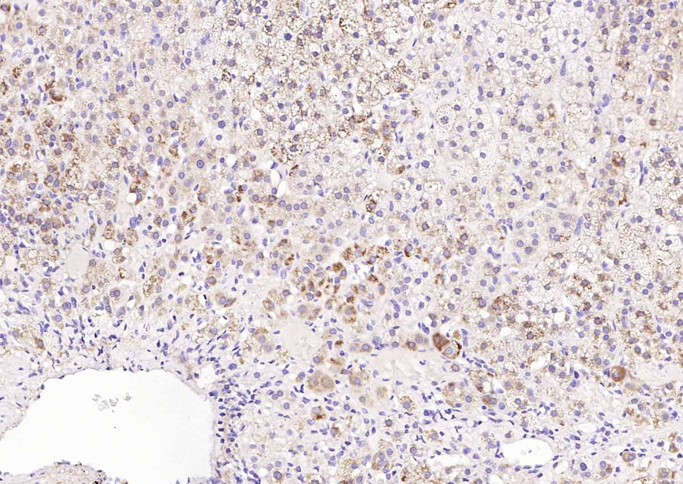
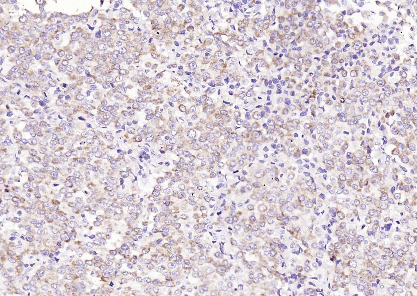
2. Paraformaldehyde-fixed, paraffin embedded (Human prostatic cancer); Antigen retrieval by boiling in sodium citrate buffer (pH6.0) for 15 min; Block endogenous peroxidase by 3% hydrogen peroxide for 20 min; Blocking buffer (normal goat serum) at 37°C for 30 min; Incubation with (TM7SF2) Polyclonal Antibody, Unconjugated (TMAB-01864) at 1:200 overnight at 4°C, followed by operating according to SP Kit (Rabbit) instructionsand DAB staining.
3. Paraformaldehyde-fixed, paraffin embedded (Human adrenal gland); Antigen retrieval by boiling in sodium citrate buffer (pH6.0) for 15 min; Block endogenous peroxidase by 3% hydrogen peroxide for 20 min; Blocking buffer (normal goat serum) at 37°C for 30 min; Incubation with (TM7SF2) Polyclonal Antibody, Unconjugated (TMAB-01864) at 1:200 overnight at 4°C, followed by operating according to SP Kit (Rabbit) instructionsand DAB staining.
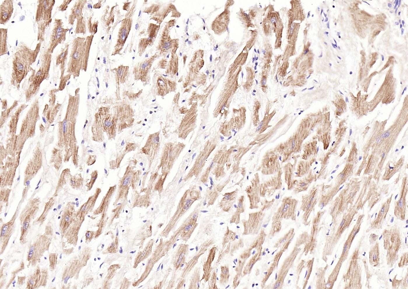
4. Paraformaldehyde-fixed, paraffin embedded (Human heart); Antigen retrieval by boiling in sodium citrate buffer (pH6.0) for 15 min; Block endogenous peroxidase by 3% hydrogen peroxide for 20 min; Blocking buffer (normal goat serum) at 37°C for 30 min; Incubation with (TM7SF2) Polyclonal Antibody, Unconjugated (TMAB-01864) at 1:200 overnight at 4°C, followed by operating according to SP Kit (Rabbit) instructionsand DAB staining.
verifiedActivityverifiedActivityverifiedActivityverifiedActivity
应用IFIHC-FrIHC-PWB
推荐剂量
WB: 1:500-2000; IHC-P: 1:100-500; IHC-Fr: 1:100-500; IF: 1:100-500
抗体种类
Polyclonal
宿主来源Rabbit
亚细胞定位Microsome membrane; Multi-pass membrane protein (By similarity). Endoplasmic reticulum membrane; Multi-pass membrane protein.
组织特异性Expressed in adult heart, brain, pancreas, lung, liver, skeletal muscle, kidney, ovary, prostate, and testis, but not detected in placenta, spleen, thymus, small intestine, colon (mucosal lining), or peripheral blood leukocytes.
构建方式Polyclonal Antibody
纯化方式Protein A purified
性状Liquid
缓冲液0.01M TBS (pH7.4) with 1% BSA, 0.02% Proclin300 and 50% Glycerol.
浓度1 mg/mL
研究背景Involved in the conversion of lanosterol to cholesterol.Expressed in adult heart, brain, pancreas, lung, liver, skeletal muscle, kidney, ovary, prostate, and testis, but not detected in placenta, spleen, thymus, small intestine, colon (mucosal lining), or peripheral blood leukocytes.
抗原信息
免疫原
KLH conjugated synthetic peptide: human TM7SF2/DHCR14A
抗原种属
Human
基因名称
TM7SF2
基因ID
蛋白名称
delta(14)-sterol reductase TM7SF2
Uniprot ID
功能
Involved in the conversion of lanosterol to cholesterol.
化学信息
分子量Theoretical: 46 kDa. Actual: 58 kDa.
储存&溶解度
储存方式Store at -20°C or -80°C for 12 months. Avoid repeated freeze-thaw cycles.
运输方式Shipping with blue ice.

计算器

  • 稀释 计算器
  • 配液 计算器
Related Tags: buy Anti-TM7SF2 Polyclonal Antibody | purchase Anti-TM7SF2 Polyclonal Antibody | Anti-TM7SF2 Polyclonal Antibody cost | order Anti-TM7SF2 Polyclonal Antibody | Anti-TM7SF2 Polyclonal Antibody molecular weight