购物车
  • TargetMol
    您的购物车当前为空

Anti-TLR1 Polyclonal Antibody

Synonyms: Toll-like receptor 1, Toll/Interleukin 1 receptor like, Toll(Drosophila) homolog, Toll like receptor 1 Precursor, TLR 1, TIL, Similar to Drosophila Toll protein, rsc786, GD2:CD281, CD281 antigen
货号 TMAB-01850 一键复制产品信息
Rating icon 还可以
202603开学季活动

Anti-TLR1 Polyclonal Antibody 是一种 Rabbit 抗体,靶向 TLR1。Anti-TLR1 Polyclonal Antibody 可用于 FCM, IHC-Fr, IHC-P。

Anti-TLR1 Polyclonal Antibody

一键复制产品信息
Rating icon 还可以
202603开学季活动
货号 TMAB-01850

别名 Toll-like receptor 1, Toll/Interleukin 1 receptor like, Toll(Drosophila) homolog, Toll like receptor 1 Precursor, TLR 1, TIL, Similar to Drosophila Toll protein, rsc786, GD2:CD281, CD281 antigen

Anti-TLR1 Polyclonal Antibody 是一种 Rabbit 抗体,靶向 TLR1。Anti-TLR1 Polyclonal Antibody 可用于 FCM, IHC-Fr, IHC-P。

Anti-TLR1 Polyclonal Antibody
规格价格库存数量
50 μL
¥ 1,175
5日内发货
100 μL
¥ 1,960
5日内发货
200 μL
¥ 2,785
5日内发货
库存状态实时更新,以官网显示为准,现货产品可直接加购物车下单
大包装 & 定制
加入购物车

TargetMol的所有产品仅用作科学研究或药证申报,不能被用于人体,我们不向个人提供产品和服务。请您遵守承诺用途,不得违反法律法规规定用于任何其他用途。

实验操作小课堂
常见问题解答
查看更多

资源下载:产品操作手册

产品介绍


生物活性
产品描述
Anti-TLR1 Polyclonal Antibody is a Rabbit antibody targeting TLR1. Anti-TLR1 Polyclonal Antibody can be used in FCM, IHC-Fr, IHC-P.
别名
Toll-like receptor 1, Toll/Interleukin 1 receptor like, Toll(Drosophila) homolog, Toll like receptor 1 Precursor, TLR 1, TIL, Similar to Drosophila Toll protein, rsc786, GD2:CD281, CD281 antigen
Ig Type
IgG
反应种属
Human,Rat (predicted:Mouse,Dog,Cow,Horse)
验证活性
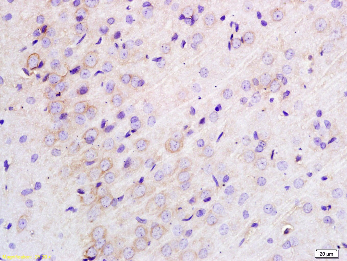
1. Tissue/cell: rat brain tissue; 4% Paraformaldehyde-fixed and paraffin-embedded;
Antigen retrieval: citrate buffer (0.01M, pH6.0), Boiling bathing for 15 min; Block endogenous peroxidase by 3% Hydrogen peroxide for 30 min; Blocking buffer (normal goat serum) at 37°C for 20 min;
Incubation: Anti-TLR1 Polyclonal Antibody, Unconjugated (TMAB-01850) 1:200, overnight at 4°C, followed by conjugation to the secondary antibody and DAb staining.
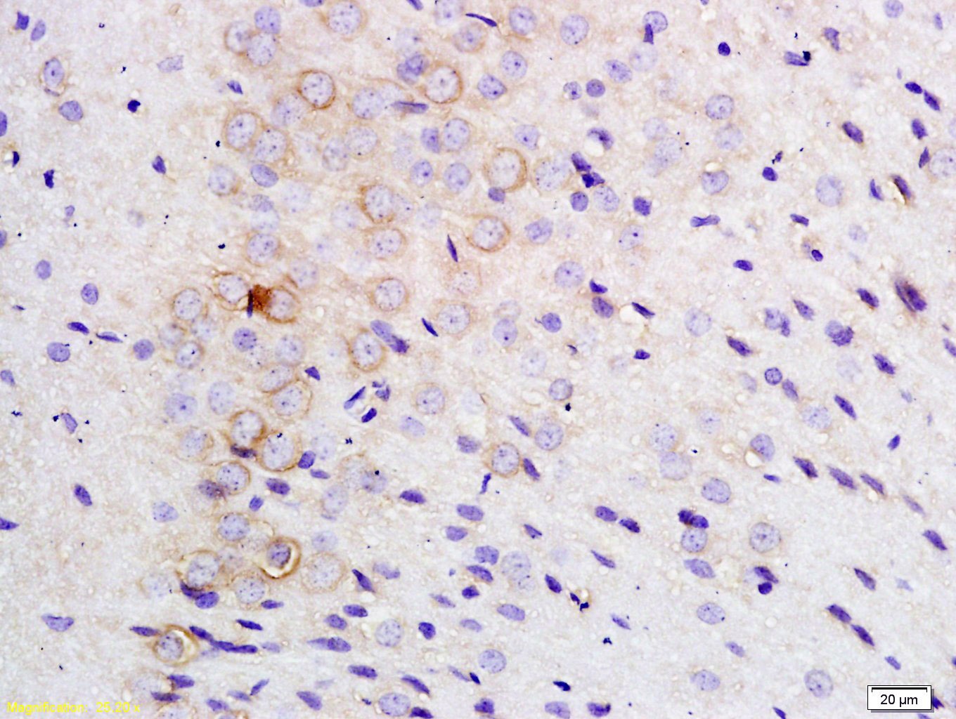
2. Tissue/cell: rat brain tissue; 4% Paraformaldehyde-fixed and paraffin-embedded;
Antigen retrieval: citrate buffer (0.01M, pH6.0), Boiling bathing for 15 min; Block endogenous peroxidase by 3% Hydrogen peroxide for 30 min; Blocking buffer (normal goat serum) at 37°C for 20 min;
Incubation: Anti-TLR1 Polyclonal Antibody, Unconjugated (TMAB-01850) 1:200, overnight at 4°C, followed by conjugation to the secondary antibody and DAb staining.
3. Blank control: Raji (blue). Primary Antibody: Rabbit Anti-TLR1 antibody (TMAB-01850), Dilution: 1 μg in 100 μL 1X PBS containing 0.5% BSA; Isotype Control Antibody: Rabbit Igg (orange),used under the same conditions); Secondary Antibody: Goat anti-rabbit IgG-Pe (white blue), Dilution: 1:200 in 1 X PBS containing 0.5% BSA.
Protocol
The cells were fixed with 2% paraformaldehyde (10 min) and then permeabilized with ice-cold 90% methanol for 30 min on ice. The cells were washed twice with phosphate-buffered saline (PBS). The cells were then incubated in 1 X PBS containing 0.5% BSA + 10% goat serum (15 min) to block non-specific protein-protein interactions followed by the antibody (TMAB-01850, 1 μg/1x10^6 cells) for 30 min on ice. The secondary antibody used was Goat Anti-rabbit IgG/PE antibody at 1/200 dilution for 30 min on ice.
verifiedActivityverifiedActivityverifiedActivity
应用FCMIHC-FrIHC-P
推荐剂量
IHC-P: 1:100-500; IHC-Fr: 1:100-500; FCM: 1μg /test
抗体种类
Polyclonal
宿主来源Rabbit
亚细胞定位Cell membrane; Single-pass type I membrane protein (By similarity). Cytoplasmic vesicle, phagosome membrane; Single-pass type I membrane protein (By similarity).
组织特异性Ubiquitous. Highly expressed in spleen, ovary, peripheral blood leukocytes, thymus and small intestine.
构建方式Polyclonal Antibody
纯化方式Protein A purified
性状Liquid
缓冲液0.01M TBS (pH7.4) with 1% BSA, 0.02% Proclin300 and 50% Glycerol.
浓度1 mg/mL
研究背景TLR1 is a member of the Toll like receptor (TLR) family which plays a fundamental role in pathogen recognition and activation of innate immunity. TLRs are highly conserved from Drosophila to humans and share structural and functional similarities. They recognize pathogen associated molecular patterns (PAMPs) that are expressed on infectious agents, and mediate the production of cytokines necessary for the development of effective immunity. The various TLRs exhibit different patterns of expression. The gene encoding TLR1 is ubiquitously expressed, and at higher levels than other TLR genes. Different length transcripts presumably resulting from use of alternative polyadenylation site, and/or from alternative splicing, have been noted for this gene.
抗原信息
免疫原
KLH conjugated synthetic peptide: human TLR1
抗原种属
Human
基因名称
TLR1
基因ID
蛋白名称
Toll-like receptor 1
Uniprot ID
研究领域
Receptors,Macrophage / Inflamm.,TLR Signaling,Transmembrane,NFkB Pathway
功能
Participates in the innate immune response to microbial agents. Specifically recognizes diacylated and triacylated lipopeptides. Cooperates with TLR2 to mediate the innate immune response to bacterial lipoproteins or lipopeptides. Acts via MYD88 and TRAF6, leading to NF-kappa-B activation, cytokine secretion and the inflammatory response (By similarity).
化学信息
分子量Theoretical: 87(hu,mo)/91(rat kDa.
储存&溶解度
储存方式Store at -20°C or -80°C for 12 months. Avoid repeated freeze-thaw cycles.
运输方式Shipping with blue ice.

计算器

  • 稀释 计算器
  • 配液 计算器
Related Tags: buy Anti-TLR1 Polyclonal Antibody | purchase Anti-TLR1 Polyclonal Antibody | Anti-TLR1 Polyclonal Antibody cost | order Anti-TLR1 Polyclonal Antibody | Anti-TLR1 Polyclonal Antibody molecular weight