购物车
  • 全部删除
  • TargetMol
    您的购物车当前为空

Anti-Tenascin Antibody (2I909)

Rating icon 还可以
产品编号 TMAC-04001
别名 TNC, TN, Tenascin-C (TN-C), Tenascin, Neuronectin, Myotendinous antigen, JI, HXB, Hexabrachion, GP 150-225, GMEM, Glioma-associated-extracellular matrix antigen, Cytotactin

Anti-Tenascin Antibody (2I909) 是一种 Rabbit 抗体,靶向 Tenascin。Anti-Tenascin Antibody (2I909) 可用于 FCM,IHC,WB。

Anti-Tenascin Antibody (2I909)

Anti-Tenascin Antibody (2I909)

一键复制产品信息
Rating icon 还可以
产品编号 TMAC-04001 别名 TNC, TN, Tenascin-C (TN-C), Tenascin, Neuronectin, Myotendinous antigen, JI, HXB, Hexabrachion, GP 150-225, GMEM, Glioma-associated-extracellular matrix antigen, Cytotactin

Anti-Tenascin Antibody (2I909) 是一种 Rabbit 抗体,靶向 Tenascin。Anti-Tenascin Antibody (2I909) 可用于 FCM,IHC,WB。

规格价格库存数量
50 μL
¥ 1,490
5日内发货
100 μL
¥ 2,480
5日内发货
大包装 & 定制
加入购物车
TargetMol 的所有产品仅用作科学研究或药证申报,不能被用于人体,我们不向个人提供产品和服务。请您遵守承诺用途,不得违反法律法规规定用于任何其他用途。
实验操作小课堂
常见问题解答
查看更多
联系我们获取更多批次信息
资源下载

产品介绍

生物活性
产品描述
Anti-Tenascin Antibody (2I909) is a Rabbit antibody targeting Tenascin. Anti-Tenascin Antibody (2I909) can be used in FCM,IHC,WB.
别名TNC, TN, Tenascin-C (TN-C), Tenascin, Neuronectin, Myotendinous antigen, JI, HXB, Hexabrachion, GP 150-225, GMEM, Glioma-associated-extracellular matrix antigen, Cytotactin
Ig Type
IgG
克隆号
2I909
交叉反应
Human
验证活性
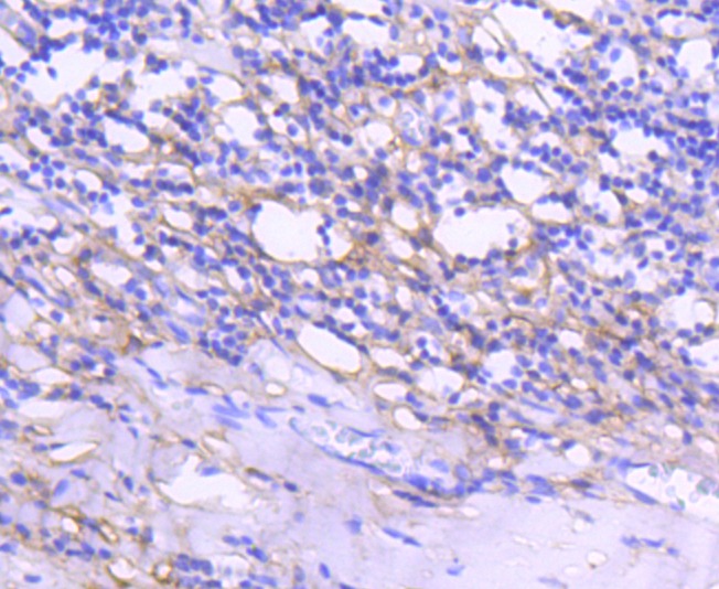
1. Immunohistochemical analysis of paraffin-embedded human tonsil tissue using anti-Tenascin C antibody. Counter stained with hematoxylin.
2. Flow cytometric analysis of SH-SY-5Y cells with Tenascin C antibody at 1/50 dilution (red) compared with an unlabelled control (cells without incubation with primary antibody; black). Alexa Fluor 488-conjugated goat anti rabbit IgG was used as the secondary antibody.
verifiedActivityverifiedActivity
应用FCMIHCWB
推荐剂量
WB: 1:500-1000; IHC: 1:50-200; FCM: 1:50-100
抗体种类
Monoclonal
宿主来源Rabbit
构建方式Recombinant Antibody
纯化方式ProA affinity purified
性状Liquid
缓冲液1*TBS (pH7.4), 1%BSA, 40%Glycerol. Preservative: 0.05% Sodium Azide.
研究背景The tenascin family of extracellular matrix proteins includes Tenascin-C (also designated cytotactin or Tenascin), Tenascin-R (also designated restrictin, TN-R or janusin) and Tenascin-X. Tenascin proteins function as substrate-adhesion molecules (SAMs) and are involved in regulating numerous developmental processes, such as morphogenetic cell migration and organogenesis. The tenascin family proteins arise from various splicing events in the region of coding for FNIII repeats. Tenascin-C and Tenascin-X are expressed in several tissues during embryogenesis and in adult tissues undergoing active remodeling, such as healing wounds and tumors. Tenascin-R is expressed on the surface of neurons and glial cells.
偶联与修饰
偶联
Unconjugated
抗原信息
免疫原
Recombinant Protein
Uniprot ID
化学信息
分子量Theoretical: 241 kDa.
存储&运输
储存方式Store at -20°C or -80°C for 12 months. Avoid repeated freeze-thaw cycles.
运输方式Shipping with blue ice.

计算器

  • 稀释 计算器

关键词

评论列表

4个月前
5.0
Rating icon 很棒

评论内容

Related Tags: buy Anti-Tenascin Antibody (2I909) | purchase Anti-Tenascin Antibody (2I909) | Anti-Tenascin Antibody (2I909) cost | order Anti-Tenascin Antibody (2I909) | Anti-Tenascin Antibody (2I909) molecular weight