购物车
  • TargetMol
    您的购物车当前为空

Anti-TBR1 Antibody (1Z281)

Synonyms: TES-56, TES 56, T-brain-1, TBR 1, T-box brain protein 1, T brain 1 protein, T box brain protein 1, T box brain 1
货号 TMAC-03993 一键复制产品信息
Rating icon 还可以

Anti-TBR1 Antibody (1Z281) 是一种 Rabbit 抗体,靶向 TBR1。Anti-TBR1 Antibody (1Z281) 可用于 FCM,IHC,WB。

Anti-TBR1 Antibody (1Z281)

一键复制产品信息
Rating icon 还可以
货号 TMAC-03993

别名 TES-56, TES 56, T-brain-1, TBR 1, T-box brain protein 1, T brain 1 protein, T box brain protein 1, T box brain 1

Anti-TBR1 Antibody (1Z281) 是一种 Rabbit 抗体,靶向 TBR1。Anti-TBR1 Antibody (1Z281) 可用于 FCM,IHC,WB。

Anti-TBR1 Antibody (1Z281)
规格价格库存数量
50 μL
¥ 1,480
5日内发货
100 μL
¥ 2,480
5日内发货
库存状态实时更新,以官网显示为准,现货产品可直接加购物车下单
大包装 & 定制
加入购物车
TargetMol的所有产品仅用作科学研究或药证申报,不能被用于人体,我们不向个人提供产品和服务。请您遵守承诺用途,不得违反法律法规规定用于任何其他用途。
实验操作小课堂
常见问题解答
查看更多

资源下载:产品操作手册

产品介绍


生物活性
产品描述
Anti-TBR1 Antibody (1Z281) is a Rabbit antibody targeting TBR1. Anti-TBR1 Antibody (1Z281) can be used in FCM,IHC,WB.
别名TES-56, TES 56, T-brain-1, TBR 1, T-box brain protein 1, T brain 1 protein, T box brain protein 1, T box brain 1
Ig Type
IgG
克隆号
1Z281
反应种属
Human,Mouse,Rat
验证活性
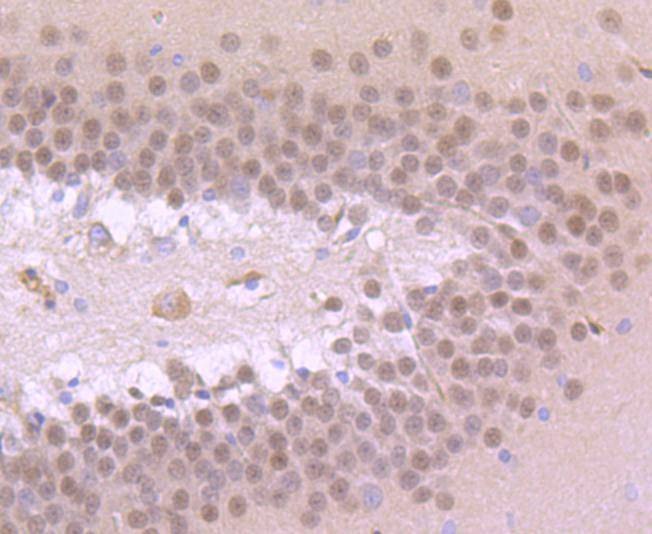
1. Immunohistochemical analysis of paraffin-embedded rat brain tissue using anti-TBR1 antibody. Counter stained with hematoxylin.
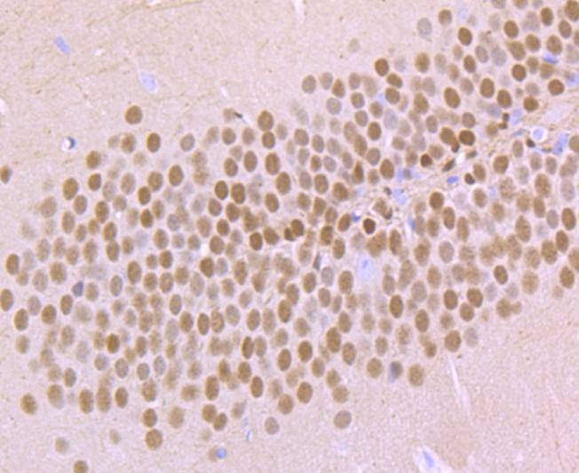
2. Immunohistochemical analysis of paraffin-embedded mouse brain tissue using anti-TBR1 antibody. Counter stained with hematoxylin.
3. Flow cytometric analysis of SH-SY-5Y cells with TBR1 antibody at 1/50 dilution (red) compared with an unlabelled control (cells without incubation with primary antibody; black). Alexa Fluor 488-conjugated goat anti rabbit IgG was used as the secondary antibody.
verifiedActivityverifiedActivityverifiedActivity
应用FCMIHCWB
推荐剂量
WB: 1:500-1000; IHC: 1:50-200; FCM: 1:50-100
抗体种类
Monoclonal
宿主来源Rabbit
构建方式Recombinant Antibody
纯化方式ProA affinity purified
性状Liquid
缓冲液1*TBS (pH7.4), 1%BSA, 40%Glycerol. Preservative: 0.05% Sodium Azide.
研究背景A novel murine and human gene, TBR-1, encodes a putative transcription factor related to the Brachyrury (T) gene that is expressed only in postmitotic cells. T-brain-1 (TBR-1) mRNA is largely restricted to the cerebral cortex, where, during embryogenesis, it defines different regions that give rise to the palecortex, limbic cortex and neocortex. TBR-1, Pax-6 and Emx-1 are expressed in the mouse and chicken pallium. The pallio-subpallial boundary lies at the interface between the TBR-1 and Dlx-2 expression domains. Chicken genes homolgous to these mouse genes are expressed in topologically comparable patterns during development, suggesting that mouse and chicken may have similar histogenetic specification processes and field homologies. CASK/LIN-2, a membrane-associated guanylate kinase, is required for EGFR localization and signaling. In adult rat brain, CASK is concentrated at neuronal synapses and binds to the cell-surface proteins. CASK can interact with TBR-1, which is involved in forebrain development. CASK enters into the nucleus and binds to a specific DNA sequence (the T-element) in a complex with TBR-1. Thus, CASK acts as a coactivator of TBR-1 to induce transcription of T-element containing genes, including reelin.
偶联与修饰
偶联
Unconjugated
抗原信息
免疫原
Recombinant Protein
Uniprot ID
化学信息
分子量Theoretical: 74 kDa.
储存&溶解度
储存方式Store at -20°C or -80°C for 12 months. Avoid repeated freeze-thaw cycles.
运输方式Shipping with blue ice.

计算器

  • 稀释 计算器
  • 配液 计算器
Related Tags: buy Anti-TBR1 Antibody (1Z281) | purchase Anti-TBR1 Antibody (1Z281) | Anti-TBR1 Antibody (1Z281) cost | order Anti-TBR1 Antibody (1Z281) | Anti-TBR1 Antibody (1Z281) molecular weight