购物车
  • TargetMol
    您的购物车当前为空

Anti-TAZ Polyclonal Antibody

Synonyms: WWTR1, WWTR 1, WW domain containing transcription regulator protein 1, WW domain containing transcription regulator 1, Transcriptional coactivator with PDZ binding motif, Transcriptional co activator with PDZ binding motif
货号 TMAB-01810 一键复制产品信息
Rating icon 还可以
202603开学季活动

Anti-TAZ Polyclonal Antibody 是一种 Rabbit 抗体,靶向 Sodium Potassium ATPase。Anti-TAZ Polyclonal Antibody 可用于 FCM,IF,IHC-Fr,IHC-P,WB。

Anti-TAZ Polyclonal Antibody

一键复制产品信息
Rating icon 还可以
202603开学季活动
货号 TMAB-01810

别名 WWTR1, WWTR 1, WW domain containing transcription regulator protein 1, WW domain containing transcription regulator 1, Transcriptional coactivator with PDZ binding motif, Transcriptional co activator with PDZ binding motif

Anti-TAZ Polyclonal Antibody 是一种 Rabbit 抗体,靶向 Sodium Potassium ATPase。Anti-TAZ Polyclonal Antibody 可用于 FCM,IF,IHC-Fr,IHC-P,WB。

Anti-TAZ Polyclonal Antibody
规格价格库存数量
50 μL
¥ 1,175
5日内发货
100 μL
¥ 1,965
5日内发货
200 μL
¥ 2,785
5日内发货
库存状态实时更新,以官网显示为准,现货产品可直接加购物车下单
大包装 & 定制
加入购物车

TargetMol的所有产品仅用作科学研究或药证申报,不能被用于人体,我们不向个人提供产品和服务。请您遵守承诺用途,不得违反法律法规规定用于任何其他用途。

实验操作小课堂
常见问题解答
查看更多

资源下载:产品操作手册

产品介绍


生物活性
产品描述
Anti-TAZ Polyclonal Antibody is a Rabbit antibody targeting Sodium Potassium ATPase. Anti-TAZ Polyclonal Antibody can be used in FCM,IF,IHC-Fr,IHC-P,WB.
别名
WWTR1, WWTR 1, WW domain containing transcription regulator protein 1, WW domain containing transcription regulator 1, Transcriptional coactivator with PDZ binding motif, Transcriptional co activator with PDZ binding motif
Ig Type
IgG
反应种属
Human,Mouse,Rat(predicted:Pig,Sheep,Cow,Dog,Horse)
验证活性
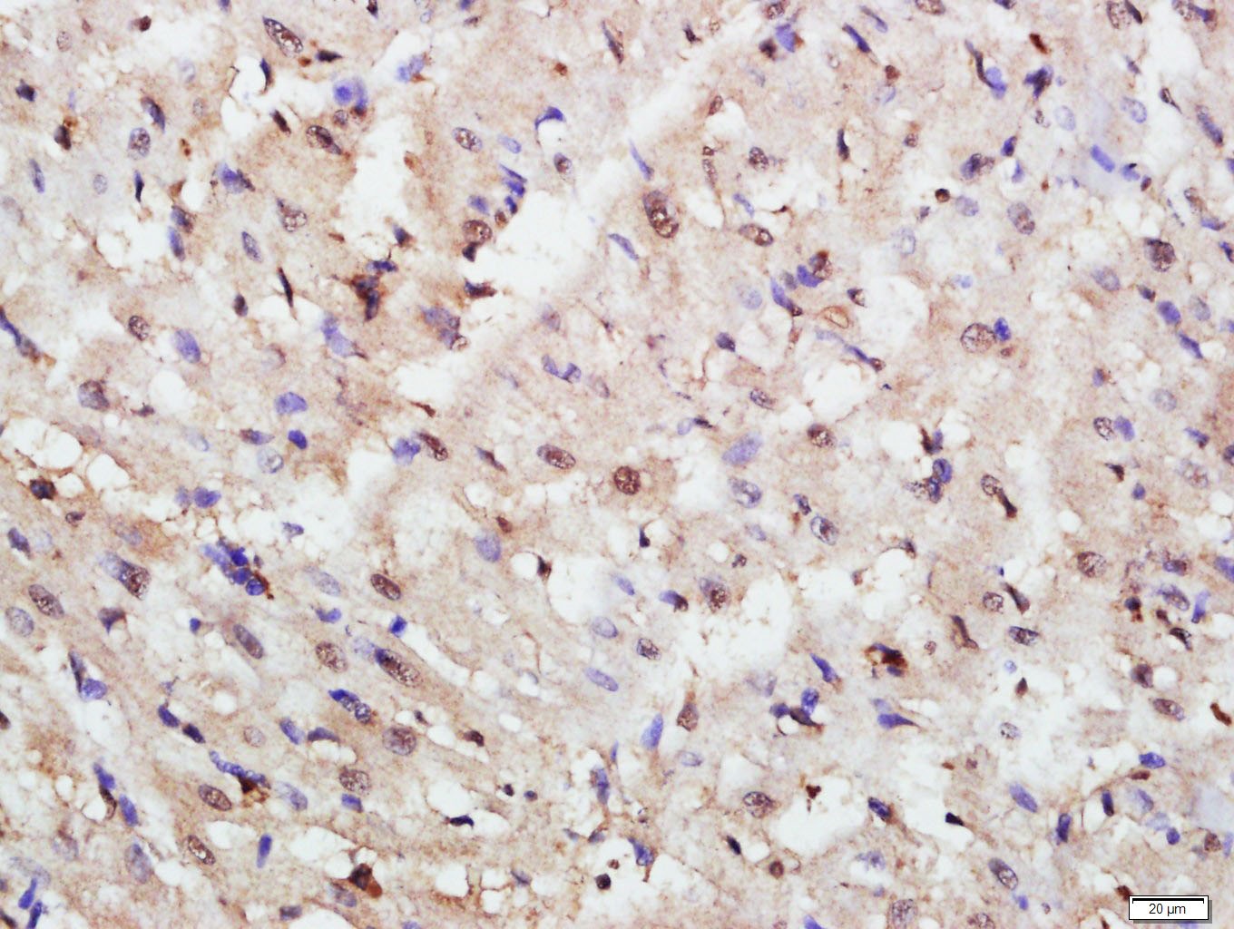
1. Paraformaldehyde-fixed, paraffin embedded (rat heart); Antigen retrieval by boiling in sodium citrate buffer (pH6.0) for 15 min; Block endogenous peroxidase by 3% hydrogen peroxide for 20 min; Blocking buffer (normal goat serum) at 37°C for 30 min; Antibody incubation with (TAZ) Polyclonal Antibody, Unconjugated (TMAB-01810) at 1:400 overnight at 4°C, followed by a conjugated secondary for 20 min and DAB staining.
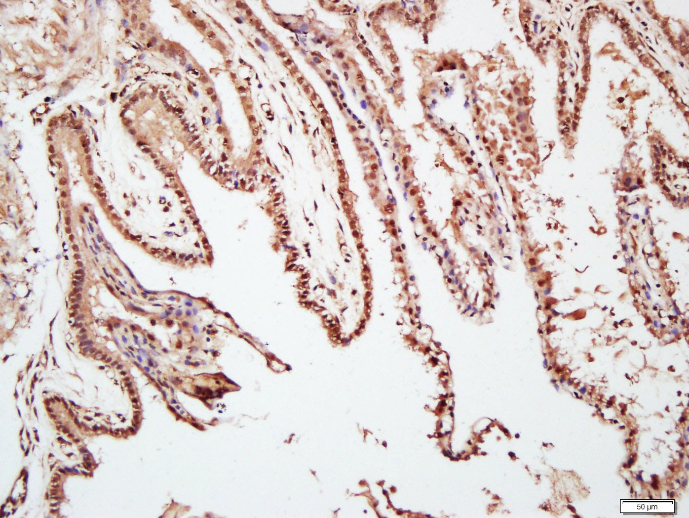
2. Paraformaldehyde-fixed, paraffin embedded (mouse placenta); Antigen retrieval by boiling in sodium citrate buffer (pH6.0) for 15 min; Block endogenous peroxidase by 3% hydrogen peroxide for 20 min; Blocking buffer (normal goat serum) at 37°C for 30 min; Antibody incubation with (TAZ) Polyclonal Antibody, Unconjugated (TMAB-01810) at 1:400 overnight at 4°C, followed by a conjugated secondary for 20 min and DAB staining.
3. Sample:
MCF-7 (Human) Cell Lysate at 40 μg
LOVO (Human) CellLysate at 40 μg
A549 (Human) CellLysate at 40 μg
Primary: Anti-TAz (TMAB-01810) at 1/300 dilution
Secondary: IRDye800CW Goat Anti-RabbitIgG at 1/20000 dilution
Predicted band size: 44 kDa
Observed band size: 46 kDa
4. Blank control: A549. Primary Antibody (green line): Rabbit Anti-TAZ antibody (TMAB-01810) Dilution: 1 μg/10^6 cells; Isotype Control Antibody (orange line): Rabbit IgG. Secondary Antibody: Goat anti-rabbit IgG-PE Dilution: 3 μg/test. Protocol The cells were fixed with 4% PFA (10 min at room temperature) and then permeabilized with 90% ice-cold methanol for 20 min at-20°C. The cells were then incubated in 5% BSA to block non-specific protein-protein interactions for 30 min at at room temperature. Cells stained with Primary Antibody for 30 min at room temperature. The secondary antibody used for 40 min at room temperature.
5. Sample:
Lane 1: Kidney (Mouse) Lysate at 40 μg
Lane 2: Kidney (Rat) Lysate at 40 μg
Primary:
Anti-TAZ (TMAB-01810) at 1/1000 dilution
Anti-beta-Actin at 1/2000 dilution
Secondary: IRDye800CW Goat Anti-Rabbit IgG at 1/20000 dilution
Predicted band size: 50-55 kDa
Observed band size: 52 kDa
verifiedActivityverifiedActivityverifiedActivityverifiedActivityverifiedActivity
应用FCMIFIHC-FrIHC-PWB
推荐剂量
WB: 1:500-2000; IHC-P: 1:100-500; IHC-Fr: 1:100-500; IF: 1:100-500; FCM: 3ug/test
抗体种类
Polyclonal
宿主来源Rabbit
亚细胞定位Nucleus. Cytoplasm. Concentrates along specific portions of the plasma membrane, and accumulates in punctate nuclear bodies.
组织特异性Highly expressed in kidney, heart, placenta and lung. Expressed in the thyroid tissue.
构建方式Polyclonal Antibody
纯化方式Protein A purified
性状Liquid
缓冲液0.01M TBS (pH7.4) with 1% BSA, 0.02% Proclin300 and 50% Glycerol.
浓度1 mg/mL
研究背景The transcriptional co-activator with PDZ-binding motif (TAZ) is a 14-3-3-binding molecule. The highly conserved and ubiquitously expressed 14-3-3 proteins regulate differentiation, cell cycle progression and apoptosis by binding intracellular phosphoproteins involved in signal transduction. TAZ may link events at the plasma membrane and cytosketeton to nuclear transcription in a manner that can be regulated by 14-3-3. TAZ shares homology with the WW domain of Yes-associated protein (YAP) and functions as a transcriptional co-activator by binding to the PPXY motif present on transcription factors. TAZ recognizes immunoreactive protein bands in lysates from MDCK, NIH-3T3 and 293T cells. In addition, COS7, Hep G2, CHO and HeLa cells express endogenous TAZ. 14-3-3 binding requires TAZ phosphorylation on a single Serine 89 residue, resulting in the inhibition of TAZ transcriptional co-activation through 14-3-3-mediated nuclear export.
抗原信息
免疫原
KLH conjugated synthetic peptide: human TAZ
抗原种属
Human
基因名称
WWTR1
基因ID
蛋白名称
WW domain-containing transcription regulator protein 1
Uniprot ID
功能
Transcriptional coactivator which acts as a downstream regulatory target in the Hippo signaling pathway that plays a pivotal role in organ size control and tumor suppression by restricting proliferation and promoting apoptosis. The core of this pathway is composed of a kinase cascade wherein MST1/MST2, in complex with its regulatory protein SAV1, phosphorylates and activates LATS1/2 in complex with its regulatory protein MOB1, which in turn phosphorylates and inactivates YAP1 oncoprotein and WWTR1/TAZ. WWTR1 enhances PAX8 and NKX2-1/TTF1-dependent gene activation. Regulates the nuclear accumulation of SMADS and has a key role in coupling them to the transcriptional machinery such as the mediator complex. Regulates embryonic stem-cell self-renewal, promotes cell proliferation and epithelial-mesenchymal transition.
化学信息
分子量Theoretical: 44 kDa. Actual: 48-52 kDa.
储存&溶解度
储存方式Store at -20°C or -80°C for 12 months. Avoid repeated freeze-thaw cycles.
运输方式Shipping with blue ice.

计算器

  • 稀释 计算器
  • 配液 计算器
Related Tags: buy Anti-TAZ Polyclonal Antibody | purchase Anti-TAZ Polyclonal Antibody | Anti-TAZ Polyclonal Antibody cost | order Anti-TAZ Polyclonal Antibody | Anti-TAZ Polyclonal Antibody molecular weight