购物车
  • TargetMol
    您的购物车当前为空

Anti-TAK1 Polyclonal Antibody

Synonyms: Transforming growth factor-beta-activated kinase 1, TGF-beta-activated kinase 1, TGF1a, TGF beta activated kinase 1, TAK1, Mitogen-activated protein kinase kinase kinase 7, MEKK7, MAPKKK7, Map3k7, MAP3K 7, M3K7
货号 TMAB-01807Cas号 一键复制产品信息纯度:
Rating icon 还可以

Anti-TAK1 Polyclonal Antibody 是一种 Rabbit 抗体,靶向 TAK1。Anti-TAK1 Polyclonal Antibody 可用于 FCM, IF, IHC-Fr, IHC-P, WB。

Anti-TAK1 Polyclonal Antibody

一键复制产品信息
Rating icon 还可以
货号 TMAB-01807

别名 Transforming growth factor-beta-activated kinase 1, TGF-beta-activated kinase 1, TGF1a, TGF beta activated kinase 1, TAK1, Mitogen-activated protein kinase kinase kinase 7, MEKK7, MAPKKK7, Map3k7, MAP3K 7, M3K7

Anti-TAK1 Polyclonal Antibody 是一种 Rabbit 抗体,靶向 TAK1。Anti-TAK1 Polyclonal Antibody 可用于 FCM, IF, IHC-Fr, IHC-P, WB。

Anti-TAK1 Polyclonal Antibody
规格价格库存数量
50 μL
¥ 1,160
5日内发货
100 μL
¥ 1,970
5日内发货
200 μL
¥ 2,780
5日内发货
库存状态实时更新,以官网显示为准,现货产品可直接加购物车下单
大包装 & 定制
加入购物车

TargetMol的所有产品仅用作科学研究或药证申报,不能被用于人体,我们不向个人提供产品和服务。请您遵守承诺用途,不得违反法律法规规定用于任何其他用途。

实验操作小课堂
常见问题解答
查看更多

资源下载:产品操作手册

产品介绍


生物活性
产品描述
Anti-TAK1 Polyclonal Antibody is a Rabbit antibody targeting TAK1. Anti-TAK1 Polyclonal Antibody can be used in FCM, IF, IHC-Fr, IHC-P, WB.
别名
Transforming growth factor-beta-activated kinase 1, TGF-beta-activated kinase 1, TGF1a, TGF beta activated kinase 1, TAK1, Mitogen-activated protein kinase kinase kinase 7, MEKK7, MAPKKK7, Map3k7, MAP3K 7, M3K7
Ig Type
IgG
反应种属
Human,Mouse,Rat (predicted:Chicken,Pig,Cow,Horse,Rabbit,Sheep)
验证活性
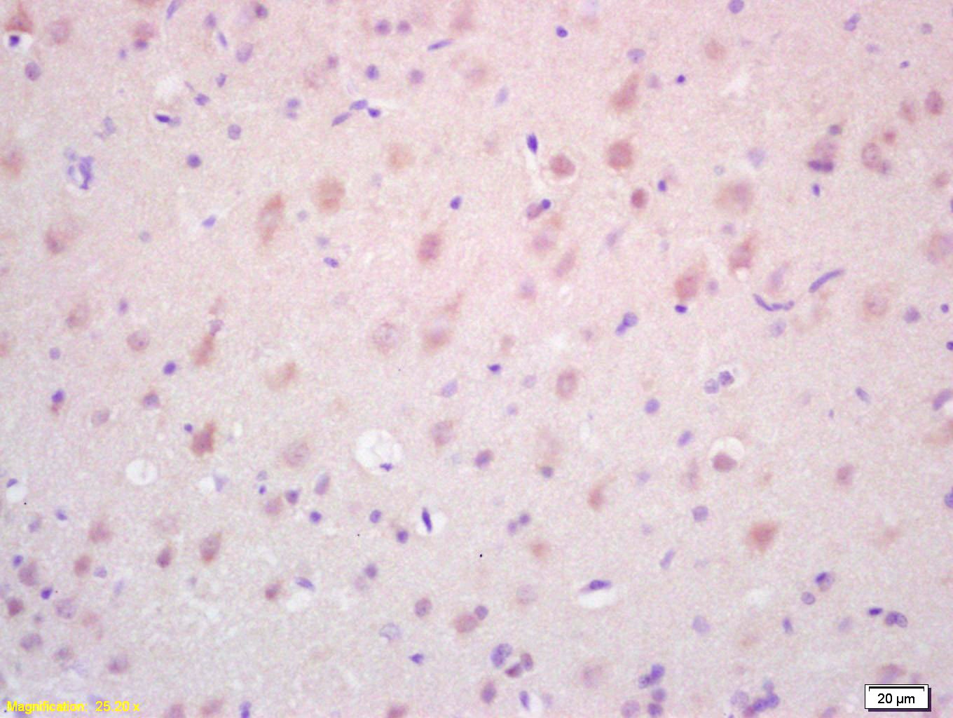
1. Tissue/cell: rat brain tissue; 4% Paraformaldehyde-fixed and paraffin-embedded;
Antigen retrieval: citrate buffer (0.01M, pH6.0), Boiling bathing for 15 min; Block endogenous peroxidase by 3% Hydrogen peroxide for 30 min; Blocking buffer (normal goat serum) at 37°C for 20 min;
Incubation: Anti-TAK1/MAP3K7 Polyclonal Antibody, Unconjugated (TMAB-01807) 1:200, overnight at 4°C, followed by conjugation to the secondary antibody and DAb staining.
2. Blank control: K562. Primary Antibody (green line): Rabbit Anti-TAK1 antibody (TMAB-01807)
Dilution: 1 μg/10^6 cells;
Isotype Control Antibody (orange line): Rabbit IgG.
Secondary Antibody: Goat anti-rabbit IgG-FITC
Dilution: 1 μg/test.
Protocol
The cells were fixed with 4% PFA (10 min at room temperature) and then permeabilized with 0.1%PBST for 20 min at room temperature. The cells were then incubated in 5% BSA to block non-specific protein-protein interactions for 30 min at room temperature. Cells stained with Primary Antibody for 30 min at room temperature. The secondary antibody used for 40 min at room temperature.
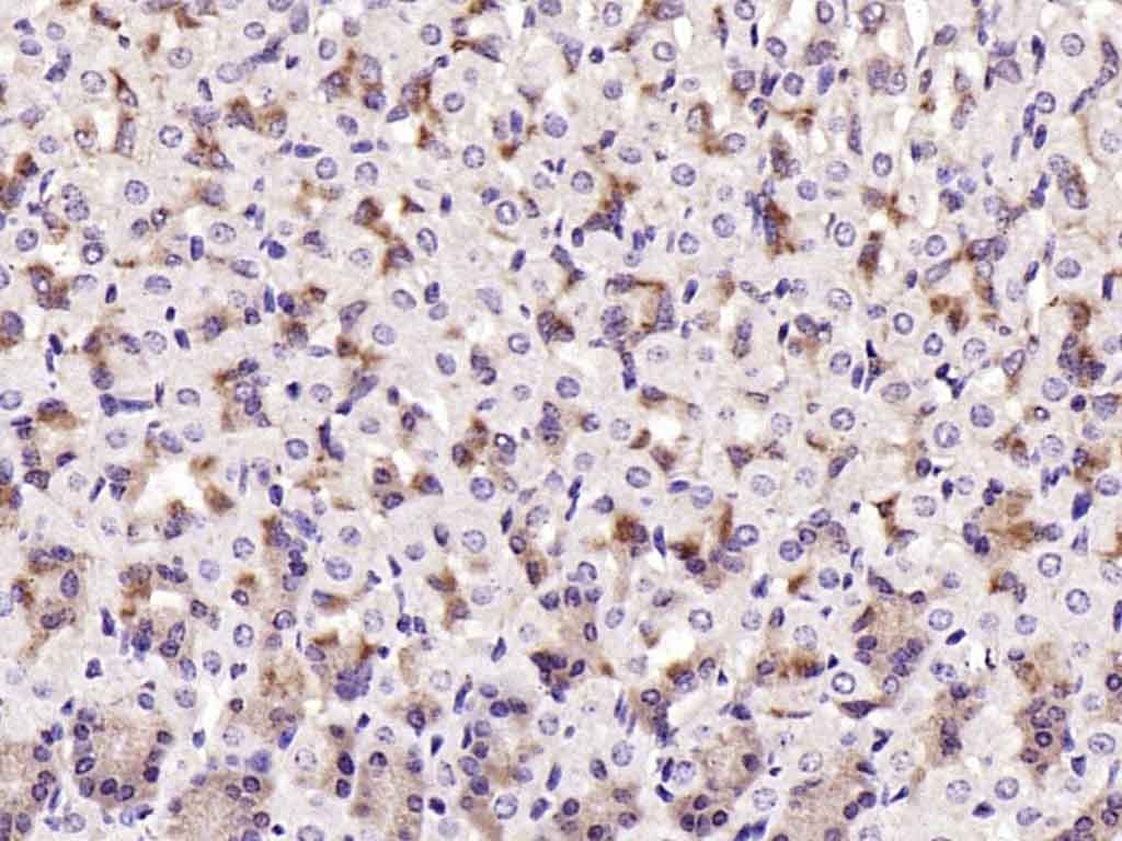
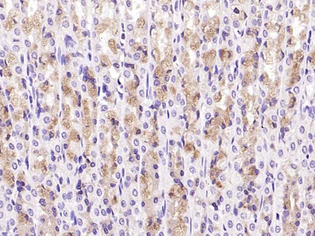
3. Paraformaldehyde-fixed, paraffin embedded (rat stomach); Antigen retrieval by boiling in sodium citrate buffer (pH6.0) for 15 min; Block endogenous peroxidase by 3% hydrogen peroxide for 20 min; Blocking buffer (normal goat serum) at 37°C for 30 min; Antibody incubation with (TAK1) Polyclonal Antibody, Unconjugated (TMAB-01807) at 1:200 overnight at 4°C, followed by operating according to SP Kit (Rabbit) instructionsand DAB staining.
4. Paraformaldehyde-fixed, paraffin embedded (mouse stomach); Antigen retrieval by boiling in sodium citrate buffer (pH6.0) for 15 min; Block endogenous peroxidase by 3% hydrogen peroxide for 20 min; Blocking buffer (normal goat serum) at 37°C for 30 min; Antibody incubation with (TAK1) Polyclonal Antibody, Unconjugated (TMAB-01807) at 1:200 overnight at 4°C, followed by operating according to SP Kit (Rabbit) instructionsand DAB staining.
5. Sample:
Lane 1: MCF-7 (Human) Cell Lysate at 30 μg
Lane 2: Hela (Human) Cell Lysate at 30 μg
Primary:
Anti-TAK1 (TMAB-01807) at 1/1000 dilution
Secondary: IRDye800CW Goat Anti-Rabbit IgG at 1/20000 dilution
Predicted band size: 78 kDa
Observed band size: 75 kDa
verifiedActivityverifiedActivityverifiedActivityverifiedActivityverifiedActivity
应用FCMIFIHC-FrIHC-PWB
推荐剂量
WB: 1:500-2000; IHC-P: 1:100-500; IHC-Fr: 1:100-500; IF: 1:100-500; FCM: 1μg/Test
抗体种类
Polyclonal
宿主来源Rabbit
亚细胞定位Cytoplasm. Cell membrane; Peripheral membrane protein; Cytoplasmic side. Note=Although the majority of MAP3K7/TAK1 is found in the cytosol, when complexed with TAB1/MAP3K7IP1 and TAB2/MAP3K7IP2, it is also localized at the cell membrane.
组织特异性Isoform 1A is the most abundant in ovary, skeletal muscle, spleen and blood mononuclear cells. Isoform 1B is highly expressed in brain, kidney and small intestine. Isoform 1C is the major form in prostate. Isoform 1D is the less abundant form.
构建方式Polyclonal Antibody
纯化方式Protein A purified
性状Liquid
缓冲液0.01M TBS (pH7.4) with 1% BSA, 0.02% Proclin300 and 50% Glycerol.
浓度1 mg/mL
研究背景The protein encoded by this gene is a member of the serine/threonine protein kinase family. This kinase mediates the signaling transduction induced by TGF beta and morphogenetic protein (BMP), and controls a variety of cell functions including transcription regulation and apoptosis. In response to IL-1, this protein forms a kinase complex including TRAF6, MAP3K7P1/TAB1 and MAP3K7P2/TAB2; this complex is required for the activation of nuclear factor kappa B. This kinase can also activate MAPK8/JNK, MAP2K4/MKK4, and thus plays a role in the cell response to environmental stresses. Four alternatively spliced transcript variants encoding distinct isoforms have been reported. [provided by RefSeq, Jul 2008]
抗原信息
免疫原
KLH conjugated KLH conjugated synthetic peptide: human MAP3K7
抗原种属
Human
基因名称
MAP3K7
基因ID
蛋白名称
Mitogen-activated protein kinase kinase kinase 7
Uniprot ID
研究领域
Necroptosis,MAPK pathway,Inflammatory mediators,TLR Signaling,MAPK Pathway,Receptor Tyrosine Kinases,NFkB Pathway
功能
Component of a protein kinase signal transduction cascade. Mediator of TRAF6 and TGF-beta signal transduction. Activates IKBKB and MAPK8 in response to TRAF6 signaling. Stimulates NF-kappa-B activation and the p38 MAPK pathway. In osmotic stress signaling, plays a major role in the activation of MAPK8/JNK, but not that of NF-kappa-B.
化学信息
分子量Theoretical: 67 kDa. Actual: 75 kDa.
储存&溶解度
储存方式Store at -20°C or -80°C for 12 months. Avoid repeated freeze-thaw cycles.
运输方式Shipping with blue ice.

计算器

  • 稀释 计算器
  • 配液 计算器
Related Tags: buy Anti-TAK1 Polyclonal Antibody | purchase Anti-TAK1 Polyclonal Antibody | Anti-TAK1 Polyclonal Antibody cost | order Anti-TAK1 Polyclonal Antibody | Anti-TAK1 Polyclonal Antibody molecular weight