购物车
  • TargetMol
    您的购物车当前为空

Anti-STAT5A/B Antibody (8D628)

Synonyms: Transcription factor STAT5B, Transcription factor STAT5A, STAT5B, STAT5, STAT 5B, STAT 5A, STA5A_HUMAN, Signal Transducer and Activator of Transcription 5B, Signal transducer and activator of transcription 5A, MGF
货号 TMAC-03863 一键复制产品信息
Rating icon 还可以

Anti-STAT5A/B Antibody (8D628) 是一种 Rabbit 抗体,靶向 STAT5A/B。Anti-STAT5A/B Antibody (8D628) 可用于 FCM,ICC/IF,IHC,IP,WB。

Anti-STAT5A/B Antibody (8D628)

一键复制产品信息
Rating icon 还可以
货号 TMAC-03863

别名 Transcription factor STAT5B, Transcription factor STAT5A, STAT5B, STAT5, STAT 5B, STAT 5A, STA5A_HUMAN, Signal Transducer and Activator of Transcription 5B, Signal transducer and activator of transcription 5A, MGF

Anti-STAT5A/B Antibody (8D628) 是一种 Rabbit 抗体,靶向 STAT5A/B。Anti-STAT5A/B Antibody (8D628) 可用于 FCM,ICC/IF,IHC,IP,WB。

Anti-STAT5A/B Antibody (8D628)
规格价格库存数量
50 μL
¥ 1,490
5日内发货
100 μL
¥ 2,495
5日内发货
库存状态实时更新,以官网显示为准,现货产品可直接加购物车下单
大包装 & 定制
加入购物车
TargetMol的所有产品仅用作科学研究或药证申报,不能被用于人体,我们不向个人提供产品和服务。请您遵守承诺用途,不得违反法律法规规定用于任何其他用途。
实验操作小课堂
常见问题解答
查看更多

资源下载:产品操作手册

产品介绍


生物活性
产品描述
Anti-STAT5A/B Antibody (8D628) is a Rabbit antibody targeting STAT5A/B. Anti-STAT5A/B Antibody (8D628) can be used in FCM,ICC/IF,IHC,IP,WB.
别名Transcription factor STAT5B, Transcription factor STAT5A, STAT5B, STAT5, STAT 5B, STAT 5A, STA5A_HUMAN, Signal Transducer and Activator of Transcription 5B, Signal transducer and activator of transcription 5A, MGF
Ig Type
IgG
克隆号
8D628
反应种属
Human,Mouse,Rat
验证活性
1. Western blot analysis of STAT5A+B on different lysates using anti-STAT5A+B antibody at 1/1,000 dilution. Positive control: Lane 1: K562, Lane 2: Jurkat, Lane 3: PC-12.
2. Immunohistochemical analysis of paraffin-embedded human spleen tissue using anti-STAT5A+B antibody. Counter stained with hematoxylin.
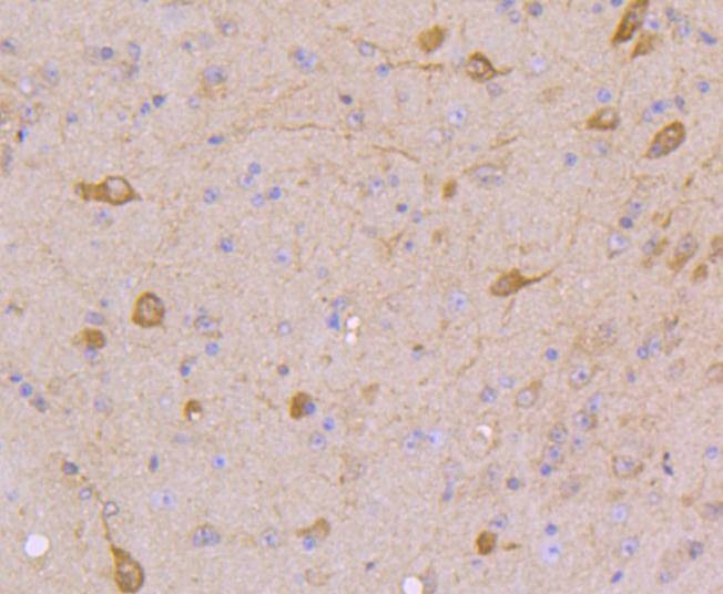
3. Immunohistochemical analysis of paraffin-embedded mouse brain tissue using anti-STAT5A+B antibody. Counter stained with hematoxylin.
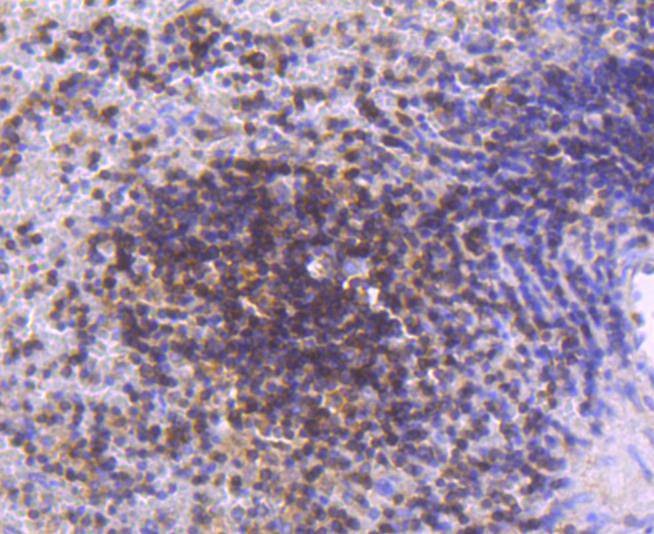
4. Immunohistochemical analysis of paraffin-embedded human tonsil tissue using anti-STAT5A+B antibody. Counter stained with hematoxylin.
5. ICC staining STAT5A+B in HepG2 cells (green). The nuclear counter stain is DAPI (blue). Cells were fixed in paraformaldehyde, permeabilised with 0.25% Triton X100/PBS.
6. ICC staining STAT5A+B in NIH/3T3 cells (green). The nuclear counter stain is DAPI (blue). Cells were fixed in paraformaldehyde, permeabilised with 0.25% Triton X100/PBS.
7. ICC staining STAT5A+B in RH-35 cells (green). The nuclear counter stain is DAPI (blue). Cells were fixed in paraformaldehyde, permeabilised with 0.25% Triton X100/PBS.
8. Flow cytometric analysis of NIH/3T3 cells with STAT5A+B antibody at 1/50 dilution (red) compared with an unlabelled control (cells without incubation with primary antibody; black). Alexa Fluor 488-conjugated goat anti rabbit IgG was used as the secondary antibody.
verifiedActivityverifiedActivityverifiedActivityverifiedActivityverifiedActivityverifiedActivityverifiedActivityverifiedActivity
应用FCMICC/IFIHCIPWB
推荐剂量
WB: 1:1000-2000; IHC: 1:50-200; ICC/IF: 1:50-200; FCM: 1:50-100
抗体种类
Monoclonal
宿主来源Rabbit
构建方式Recombinant Antibody
纯化方式ProA affinity purified
性状Liquid
缓冲液1*TBS (pH7.4), 1%BSA, 40%Glycerol. Preservative: 0.05% Sodium Azide.
研究背景Stat5 (Signal Transducers and Activators of Transcription 5) is important in regulating T cell functions involving the receptors for Interleukin-2 (IL-2). IL-2 stimulates the rapid phosphorylation of both serine and tyrosine residues of Stat5a and Stat5b in human T lymphocytes and in several IL-2-responsive lymphocytic cell lines. IL-2 differentially induces serine phosphorylation of Stat5a and Stat5b on Ser726 and Ser731, respectively. Stat5b is preferentially phosphorylated and displays more protracted serine phosphorylation kinetics than Stat5a. Both the acid-rich region and the COOH terminus of IL-2Rb can independently mediate IL-2-induced Stat 5a/b serine phosphorylation, suggesting that Stat5a/b serine phosphorylation occurs at a postreceptor level. Stat5a is phosphorylated on Tyr694 in a prolactin-sensitive manner, whereas serine phosphorylation is constitutive. Activation of Stat5 by IL-2 may help govern the biological effects of IL-2 during the immune response.
偶联与修饰
偶联
Unconjugated
抗原信息
免疫原
Recombinant Protein
化学信息
分子量Theoretical: 90 kDa.
储存&溶解度
储存方式Store at -20°C or -80°C for 12 months. Avoid repeated freeze-thaw cycles.
运输方式Shipping with blue ice.

计算器

  • 稀释 计算器
  • 配液 计算器
Related Tags: buy Anti-STAT5A/B Antibody (8D628) | purchase Anti-STAT5A/B Antibody (8D628) | Anti-STAT5A/B Antibody (8D628) cost | order Anti-STAT5A/B Antibody (8D628) | Anti-STAT5A/B Antibody (8D628) molecular weight