购物车
  • TargetMol
    您的购物车当前为空

Anti-STAT3 Antibody (3R504)

Synonyms: signal transducer and activator of transcription 3 (acute-phase response factor), HIES, APRF, ADMIO
货号 TMAB-01787 一键复制产品信息
Rating icon 还可以

Anti-STAT3 Antibody (3R504) 是一种 Rabbit 抗体,靶向 STAT3。Anti-STAT3 Antibody (3R504) 可用于 FCM, ICC/IF, IF, IHC-Fr, IHC-P, WB。

Anti-STAT3 Antibody (3R504)

一键复制产品信息
Rating icon 还可以
货号 TMAB-01787

别名 signal transducer and activator of transcription 3 (acute-phase response factor), HIES, APRF, ADMIO

Anti-STAT3 Antibody (3R504) 是一种 Rabbit 抗体,靶向 STAT3。Anti-STAT3 Antibody (3R504) 可用于 FCM, ICC/IF, IF, IHC-Fr, IHC-P, WB。

Anti-STAT3 Antibody (3R504)
规格价格库存数量
25 μL
¥ 785
5日内发货
50 μL
¥ 1,395
5日内发货
100 μL
¥ 2,485
5日内发货
库存状态实时更新,以官网显示为准,现货产品可直接加购物车下单
大包装 & 定制
加入购物车
TargetMol的所有产品仅用作科学研究或药证申报,不能被用于人体,我们不向个人提供产品和服务。请您遵守承诺用途,不得违反法律法规规定用于任何其他用途。
实验操作小课堂
常见问题解答
查看更多

资源下载:产品操作手册

产品介绍


生物活性
产品描述
Anti-STAT3 Antibody (3R504) is a Rabbit antibody targeting STAT3. Anti-STAT3 Antibody (3R504) can be used in FCM, ICC/IF, IF, IHC-Fr, IHC-P, WB.
别名signal transducer and activator of transcription 3 (acute-phase response factor), HIES, APRF, ADMIO
Ig Type
IgG
克隆号
3R504
反应种属
Human,Mouse,Rat
验证活性
1. 25 μg total protein per Lane of various lysates probed with STAT3 monoclonal antibody, unconjugated (TMAB-01787) at 1:5000 dilution and 4°C overnight incubation. Followed by conjugated secondary antibody incubation at RT for 60 min.
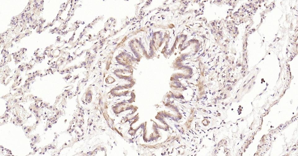
2. Paraformaldehyde-fixed, paraffin embedded Mouse Lung; Antigen retrieval by boiling in sodium citrate buffer (pH6.0) for 15 min; Antibody incubation with STAT3 Monoclonal Antibody, Unconjugated (TMAB-01787) at 1:200 overnight at 4°C, followed by conjugation to the secondary antibody and DAB staining.
3. Paraformaldehyde-fixed, paraffin embedded Rat Lung; Antigen retrieval by boiling in sodium citrate buffer (pH6.0) for 15 min; Antibody incubation with STAT3 Monoclonal Antibody, Unconjugated (TMAB-01787) at 1:200 overnight at 4°C, followed by conjugation to the secondary antibody and DAB staining.
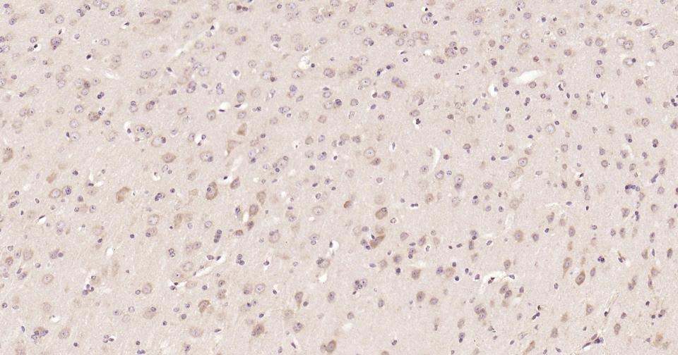
4. Paraformaldehyde-fixed, paraffin embedded Mouse Cerebrum; Antigen retrieval by boiling in sodium citrate buffer (pH6.0) for 15 min; Antibody incubation with STAT3 Monoclonal Antibody, Unconjugated (TMAB-01787) at 1:200 overnight at 4°C, followed by conjugation to the secondary antibody and DAB staining.
5. Paraformaldehyde-fixed, paraffin embedded Rat Cerebrum; Antigen retrieval by boiling in sodium citrate buffer (pH6.0) for 15 min; Antibody incubation with STAT3 Monoclonal Antibody, Unconjugated (TMAB-01787) at 1:200 overnight at 4°C, followed by conjugation to the secondary antibody and DAB staining.
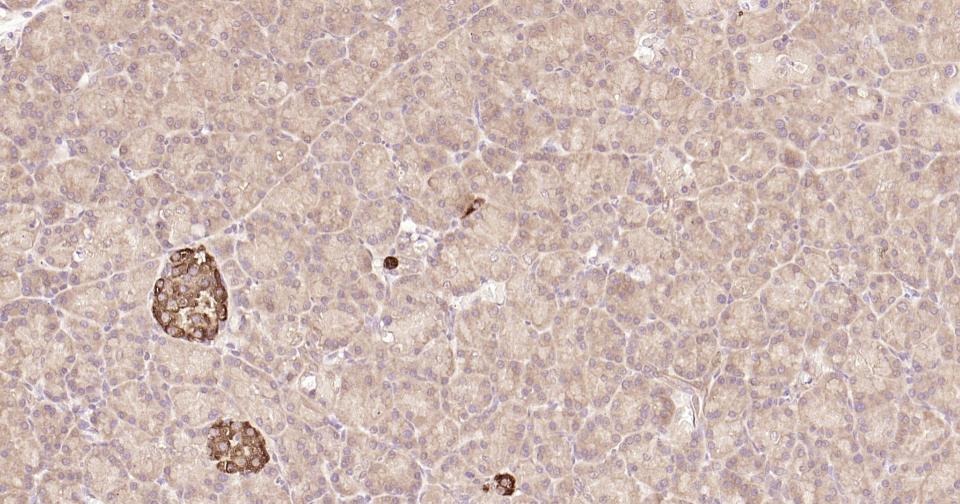
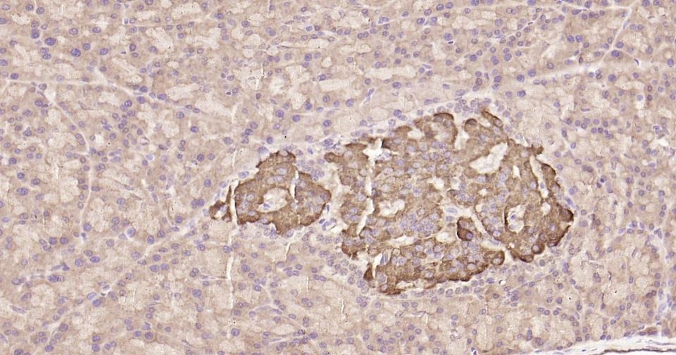
6. Paraformaldehyde-fixed, paraffin embedded Mouse Pancreas; Antigen retrieval by boiling in sodium citrate buffer (pH6.0) for 15 min; Antibody incubation with STAT3 Monoclonal Antibody, Unconjugated (TMAB-01787) at 1:200 overnight at 4°C, followed by conjugation to the secondary antibody and DAB staining.
7. Paraformaldehyde-fixed, paraffin embedded Rat Pancreas; Antigen retrieval by boiling in sodium citrate buffer (pH6.0) for 15 min; Antibody incubation with STAT3 Monoclonal Antibody, Unconjugated (TMAB-01787) at 1:200 overnight at 4°C, followed by conjugation to the secondary antibody and DAB staining.
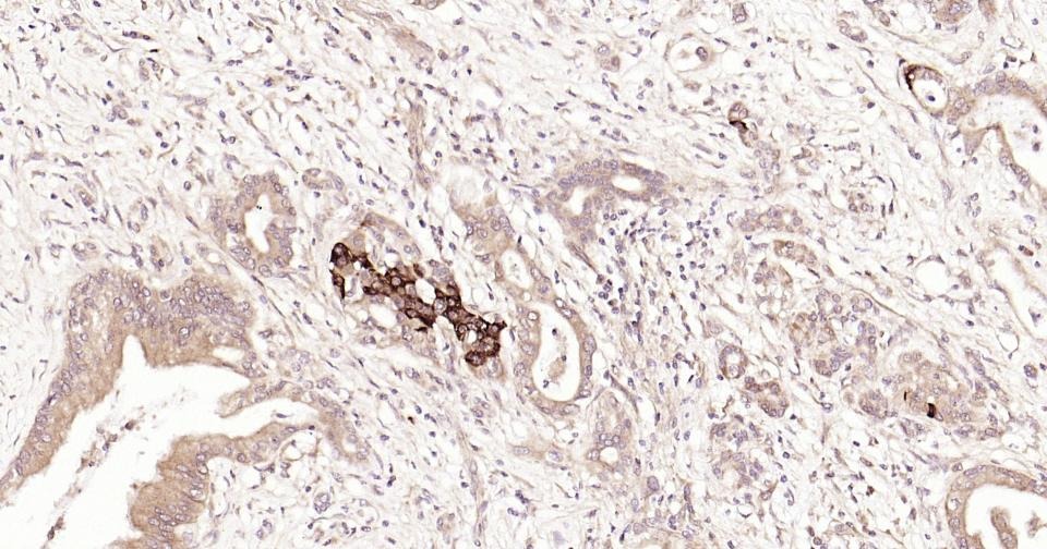
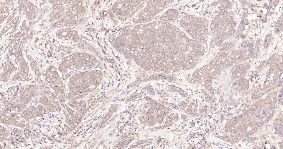
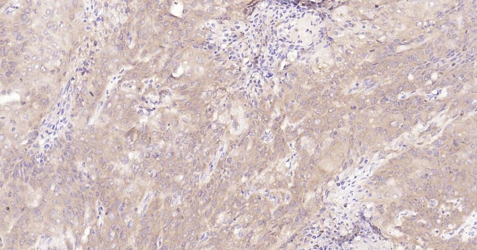
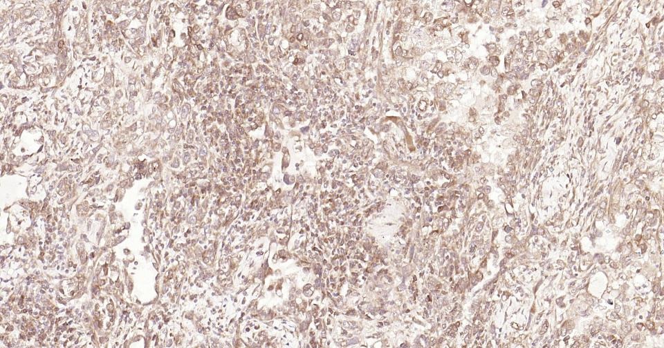
8. Paraformaldehyde-fixed, paraffin embedded Human Pancreatic Cancer; Antigen retrieval by boiling in sodium citrate buffer (pH6.0) for 15 min; Antibody incubation with STAT3 Monoclonal Antibody, Unconjugated (TMAB-01787) at 1:200 overnight at 4°C, followed by conjugation to the secondary antibody and DAB staining.
9. Paraformaldehyde-fixed, paraffin embedded Human Cervical Cancer; Antigen retrieval by boiling in sodium citrate buffer (pH6.0) for 15 min; Antibody incubation with STAT3 Monoclonal Antibody, Unconjugated (TMAB-01787) at 1:200 overnight at 4°C, followed by conjugation to the secondary antibody and DAB staining.
10. Paraformaldehyde-fixed, paraffin embedded Human Breast Cancer; Antigen retrieval by boiling in sodium citrate buffer (pH6.0) for 15 min; Antibody incubation with STAT3 Monoclonal Antibody, Unconjugated (TMAB-01787) at 1:200 overnight at 4°C, followed by conjugation to the secondary antibody and DAB staining.
11. Paraformaldehyde-fixed, paraffin embedded Human Kidney Cancer; Antigen retrieval by boiling in sodium citrate buffer (pH6.0) for 15 min; Antibody incubation with STAT3 Monoclonal Antibody, Unconjugated (TMAB-01787) at 1:200 overnight at 4°C, followed by conjugation to the secondary antibody and DAB staining.
12. Paraformaldehyde-fixed, paraffin embedded Human Kidney; Antigen retrieval by boiling in sodium citrate buffer (pH6.0) for 15 min; Antibody incubation with STAT3 Monoclonal Antibody, Unconjugated (TMAB-01787) at 1:200 overnight at 4°C, followed by conjugation to the secondary antibody and DAB staining.
13. 25 μg total protein per Lane of various lysates probed with STAT3 monoclonal antibody, unconjugated (TMAB-01787) at 1:1000 dilution and 4°C overnight incubation. Followed by conjugated secondary antibody incubation at RT for 60 min.
14. The Hela (H) cells were fixed with 4% PFA (10 min at room temperature) and then permeabilized with 90% ice-cold methanol for 20 min at-20°C,the cells then were incubated in 5% BSA to block non-specific protein-protein interactions (30 min at room temperature). Primary Antibody (green): Rabbit Anti-STAT3 antibody (TMAB-01787): 1:50-100/10^6 cells; Secondary Antibody (white blue): Goat anti-Rabbit IgG-BF488: 1 μg/test. Isotype Control (orange): Rabbit IgG. Blank control (black): PBS.
verifiedActivityverifiedActivityverifiedActivityverifiedActivityverifiedActivityverifiedActivityverifiedActivityverifiedActivityverifiedActivityverifiedActivityverifiedActivityverifiedActivityverifiedActivityverifiedActivity
应用FCMICC/IFIFIHC-FrIHC-PWB
推荐剂量
FCM=1:50-100; ICC/IF=1:50-200; IF=1:100-500; IHC-Fr=1:100-500; IHC-P=1:100-500; WB=1:1000-5000
抗体种类
Monoclonal
宿主来源Rabbit
亚细胞定位Cytoplasm. Nucleus. Note=Shuttles between the nucleus and the cytoplasm. Translocated into the nucleus upon tyrosine phosphorylation and dimerization, in response to signaling by activated FGFR1, FGFR2, FGFR3 or FGFR4. Constitutive nuclear presence is independent of tyrosine phosphorylation. Predominantly present in the cytoplasm without stimuli. Upon leukemia inhibitory factor (LIF) stimulation, accumulates in the nucleus. The complex composed of BART and ARL2 plays an important role in the nuclear translocation and retention of STAT3. Identified in a complex with LYN and PAG1.
组织特异性Heart, brain, placenta, lung, liver, skeletal muscle, kidney and pancreas.
构建方式Recombinant Antibody
纯化方式Protein A purified
性状Liquid
缓冲液0.01M TBS (pH7.4) with 1% BSA, 0.02% Proclin300 and 50% Glycerol.
浓度1 mg/mL
研究背景The protein encoded by this gene is a member of the STAT protein family. In response to cytokines and growth factors, STAT family members are phosphorylated by the receptor associated kinases, and then form homo- or heterodimers that translocate to the cell nucleus where they act as transcription activators. This protein is activated through phosphorylation in response to various cytokines and growth factors including IFNs, EGF, IL5, IL6, HGF, LIF and BMP2. This protein mediates the expression of a variety of genes in response to cell stimuli, and thus plays a key role in many cellular processes such as cell growth and apoptosis. The small GTPase Rac1 has been shown to bind and regulate the activity of this protein. PIAS3 protein is a specific inhibitor of this protein. Mutations in this gene are associated with infantile-onset multisystem autoimmune disease and hyper-immunoglobulin E syndrome. Alternative splicing results in multiple transcript variants encoding distinct isoforms. [provided by RefSeq, Sep 2015]
抗原信息
免疫原
A synthesized peptide: human STAT3
抗原种属
Human
基因名称
STAT3
基因ID
蛋白名称
Signal transducer and activator of transcription 3
Uniprot ID
研究领域
STAT family,Transcription factors/regulators,Transcription factors,Surface molecules,STATs,Other factors,SARS Coronavirus,STATs,Intracellular
功能
Transcription factor that binds to the interleukin-6 (IL-6)-responsive elements identified in the promoters of various acute-phase protein genes. Activated by IL31 through IL31RA.
化学信息
分子量Theoretical: 88 kDa. Actual: 85 kDa.
储存&溶解度
储存方式Store at -20°C or -80°C for 12 months. Avoid repeated freeze-thaw cycles.
运输方式Shipping with blue ice.

计算器

  • 稀释 计算器
  • 配液 计算器
Related Tags: buy Anti-STAT3 Antibody (3R504) | purchase Anti-STAT3 Antibody (3R504) | Anti-STAT3 Antibody (3R504) cost | order Anti-STAT3 Antibody (3R504) | Anti-STAT3 Antibody (3R504) molecular weight