购物车
  • 全部删除
  • TargetMol
    您的购物车当前为空

Anti-SR-BI/SCARB1 Antibody (1A957)

Rating icon 还可以
产品编号 TMAC-03690
别名 SR-BI, SRBI, SR-B1, Srb1, scavenger receptor class B, member 1, mSR-BI, Hlb398, Hdlq1, D5Ertd460e, Cla-1, Cla1, Cd36l1, CD36, AI120173

Anti-SR-BI/SCARB1 Antibody (1A957) 是一种 Rabbit 抗体,靶向 SR-BI/SCARB1。Anti-SR-BI/SCARB1 Antibody (1A957) 可用于 FCM,ICC,IHC,WB。

Anti-SR-BI/SCARB1 Antibody (1A957)

Anti-SR-BI/SCARB1 Antibody (1A957)

一键复制产品信息
Rating icon 还可以
产品编号 TMAC-03690 别名 SR-BI, SRBI, SR-B1, Srb1, scavenger receptor class B, member 1, mSR-BI, Hlb398, Hdlq1, D5Ertd460e, Cla-1, Cla1, Cd36l1, CD36, AI120173

Anti-SR-BI/SCARB1 Antibody (1A957) 是一种 Rabbit 抗体,靶向 SR-BI/SCARB1。Anti-SR-BI/SCARB1 Antibody (1A957) 可用于 FCM,ICC,IHC,WB。

规格价格库存数量
50 μL
¥ 1,480
5日内发货
100 μL
¥ 2,485
5日内发货
大包装 & 定制
加入购物车
TargetMol 的所有产品仅用作科学研究或药证申报,不能被用于人体,我们不向个人提供产品和服务。请您遵守承诺用途,不得违反法律法规规定用于任何其他用途。
实验操作小课堂
常见问题解答
查看更多
联系我们获取更多批次信息
资源下载

产品介绍

生物活性
产品描述
Anti-SR-BI/SCARB1 Antibody (1A957) is a Rabbit antibody targeting SR-BI/SCARB1. Anti-SR-BI/SCARB1 Antibody (1A957) can be used in FCM,ICC,IHC,WB.
别名SR-BI, SRBI, SR-B1, Srb1, scavenger receptor class B, member 1, mSR-BI, Hlb398, Hdlq1, D5Ertd460e, Cla-1, Cla1, Cd36l1, CD36, AI120173
Ig Type
IgG
克隆号
1A957
交叉反应
Human,Mouse,Rat
验证活性
1. Western blot analysis of Scavenging Receptor SR-BI on different lysates using anti-Scavenging Receptor SR-BI antibody at 1/1,000 dilution. Positive control: Lane 1: Human liver, Lane 2: Mouse liver.
2. Immunohistochemical analysis of paraffin-embedded human liver tissue using anti-Scavenging Receptor SR-BI antibody. Counter stained with hematoxylin.
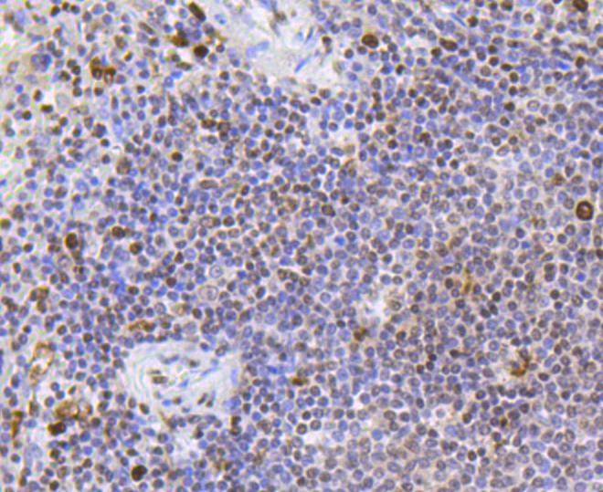
3. Immunohistochemical analysis of paraffin-embedded human spleen tissue using anti-Scavenging Receptor SR-BI antibody. Counter stained with hematoxylin.
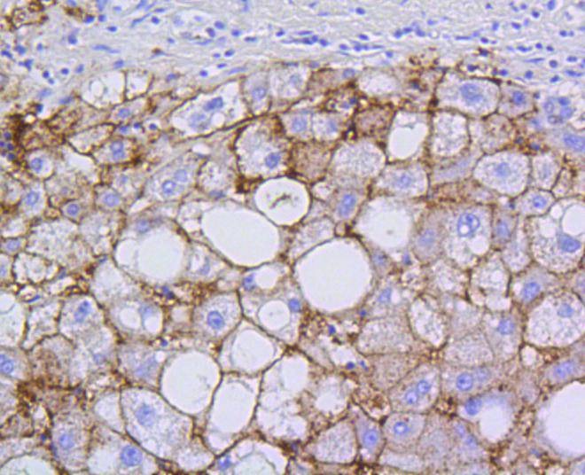
4. Immunohistochemical analysis of paraffin-embedded mouse liver tissue using anti-Scavenging Receptor SR-BI antibody. Counter stained with hematoxylin.
5. ICC staining Scavenging Receptor SR-BI in CRC cells (green). The nuclear counter stain is DAPI (blue). Cells were fixed in paraformaldehyde, permeabilised with 0.25% Triton X100/PBS.
6. ICC staining Scavenging Receptor SR-BI in PC-12 cells (green). The nuclear counter stain is DAPI (blue). Cells were fixed in paraformaldehyde, permeabilised with 0.25% Triton X100/PBS.
verifiedActivityverifiedActivityverifiedActivityverifiedActivityverifiedActivityverifiedActivity
应用FCMICCIHCWB
推荐剂量
WB: 1:1000-5000; IHC: 1:50-200; ICC: 1:50-200; FCM: 1:50-200
抗体种类
Monoclonal
宿主来源Rabbit
构建方式Recombinant Antibody
纯化方式ProA affinity purified
性状Liquid
缓冲液1*TBS (pH7.4), 1%BSA, 40%Glycerol. Preservative: 0.05% Sodium Azide.
研究背景The macrophage class A scavenger receptors (SR-A) type I and II mediate the uptake of modified low density lipoprotein (LDL), while the scavenger receptor class B type 1 (SR-B1) mediates the selective uptake of cholesterol and cholesterol esters (CE) from HDLs into cells. SREC, Ox-LDL-R1, SR-A and SR-B1 may all be involved in the early development of atherosclerosis. SR-B1, an integral membrane protein, acts as a receptor for various ligands, including apoptotic cells, cholesterol ester, phospholipids, lipoproteins and phosphatidyl-serine. SR-B1, which may be involved in phagocytosis of apoptotic cells, enables the movement of cholesterol between the cell surface and extracellular donors and acceptors. Although it is widely expressed, SR-B1 localizes primarily to cholesterol and sphingomyelin-enriched domains within the plasma membrane, called caveolae.
偶联与修饰
偶联
Unconjugated
抗原信息
免疫原
Recombinant Protein
Uniprot ID
化学信息
分子量Theoretical: 80 kDa.
存储&运输
储存方式Store at -20°C or -80°C for 12 months. Avoid repeated freeze-thaw cycles.
运输方式Shipping with blue ice.

计算器

  • 稀释 计算器

关键词

评论列表

4个月前
5.0
Rating icon 很棒

评论内容

Related Tags: buy Anti-SR-BI/SCARB1 Antibody (1A957) | purchase Anti-SR-BI/SCARB1 Antibody (1A957) | Anti-SR-BI/SCARB1 Antibody (1A957) cost | order Anti-SR-BI/SCARB1 Antibody (1A957) | Anti-SR-BI/SCARB1 Antibody (1A957) molecular weight