购物车
  • TargetMol
    您的购物车当前为空

Anti-SPI1 Antibody (2J454)

Synonyms: Transcription factor PU.1, SPI1, 31 kDa-transforming protein
货号 TMAC-03470 一键复制产品信息
Rating icon 还可以

Anti-SPI1 Antibody (2J454) 是一种 Rabbit 抗体,靶向 SPI1。Anti-SPI1 Antibody (2J454) 可用于 FCM,IHC,WB。

Anti-SPI1 Antibody (2J454)

一键复制产品信息
Rating icon 还可以
货号 TMAC-03470

别名 Transcription factor PU.1, SPI1, 31 kDa-transforming protein

Anti-SPI1 Antibody (2J454) 是一种 Rabbit 抗体,靶向 SPI1。Anti-SPI1 Antibody (2J454) 可用于 FCM,IHC,WB。

Anti-SPI1 Antibody (2J454)
规格价格库存数量
50 μL
¥ 1,485
5日内发货
100 μL
¥ 2,495
5日内发货
库存状态实时更新,以官网显示为准,现货产品可直接加购物车下单
大包装 & 定制
加入购物车
TargetMol的所有产品仅用作科学研究或药证申报,不能被用于人体,我们不向个人提供产品和服务。请您遵守承诺用途,不得违反法律法规规定用于任何其他用途。
实验操作小课堂
常见问题解答
查看更多

选择批次:
纯度: /
颜色: 无色透明
性状: Liquid

产品介绍


生物活性
产品描述
Anti-SPI1 Antibody (2J454) is a Rabbit antibody targeting SPI1. Anti-SPI1 Antibody (2J454) can be used in FCM,IHC,WB.
别名Transcription factor PU.1, SPI1, 31 kDa-transforming protein
Ig Type
IgG
克隆号
2J454
反应种属
Human
验证活性
1. Western blot analysis of PU.1/Spi1 on THP-1 cell using anti-PU.1/Spi1 antibody at 1/500 dilution.
2. Immunohistochemical analysis of paraffin-embedded human spleen tissue using anti-PU.1/Spi1 antibody. Counter stained with hematoxylin.
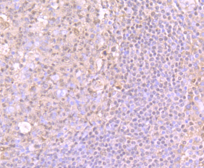
3. Immunohistochemical analysis of paraffin-embedded human tonsil tissue using anti-PU.1/Spi1 antibody. Counter stained with hematoxylin.
4. Flow cytometric analysis of K562 cells with PU.1/Spi1 antibody at 1/100 dilution (red) compared with an unlabelled control (cells without incubation with primary antibody; black). Alexa Fluor 488-conjugated goat anti rabbit IgG was used as the secondary antibody.
verifiedActivityverifiedActivityverifiedActivityverifiedActivity
应用FCMIHCWB
推荐剂量
WB: 1:500-1000; IHC: 1:50-200; FCM: 1:50-100
抗体种类
Monoclonal
宿主来源Rabbit
构建方式Recombinant Antibody
纯化方式ProA affinity purified
性状Liquid
缓冲液1*TBS (pH7.4), 1%BSA, 40%Glycerol. Preservative: 0.05% Sodium Azide.
研究背景The Ets transcription factor family (Ets-1, Ets-2, Erg-1-3, Elk-1, Elf-1, Elf-5, NERF, PU.1, PEA3, ERM, FEV, ER8l, Fli-1, TEL, Spi-B, ESE-1, ESE-3A, Net, ABT1 and ERF) are DNA-binding proteins that influence lymphoid development and activity. The Ets family monomeric proteins bind the consensus DNA site GGA(A/T) through a unique winged helix-turn-helix motif known as the Ets domain. PU.1 (Spi-1/Spi-A), Spi-B and Spi-C are closely related Ets family members which share a conserved divergent sequence within the Ets domain that enables their binding to the non-canonical AGAA sites. PU.1 transactivates a large number of B cell genes, such as those encoding CD72, CD20 and Btk, and Spi-B enhances expression of many of these same target genes. PU.1 is expressed in a wide variety of hematopoetic cells, including B cells, early T-cells, megakaryocytes, granulocytes, mast cells, immature erythrocytes and myeloid cells. Alternatively, Spi-B expression is limited to B cells and immature T cells, where expression accumulates through T-lineage commitment and then is dramatically absent following the beta-selection checkpoint.
偶联与修饰
偶联
Unconjugated
抗原信息
免疫原
Recombinant Protein
Uniprot ID
化学信息
分子量Theoretical: 31 kDa.
储存&溶解度
储存方式Store at -20°C or -80°C for 12 months. Avoid repeated freeze-thaw cycles.
运输方式Shipping with blue ice.

计算器

  • 稀释 计算器
  • 配液 计算器

关键词

Related Tags: buy Anti-SPI1 Antibody (2J454) | purchase Anti-SPI1 Antibody (2J454) | Anti-SPI1 Antibody (2J454) cost | order Anti-SPI1 Antibody (2J454) | Anti-SPI1 Antibody (2J454) molecular weight