购物车
  • TargetMol
    您的购物车当前为空

Anti-Sphingosine Kinase 1/SPHK1 Antibody (6L121)

Synonyms: SPK, SPHK1, SPHK, sphingosine kinase 1
货号 TMAC-03836 一键复制产品信息
Rating icon 还可以

Anti-Sphingosine Kinase 1/SPHK1 Antibody (6L121) 是一种 Rabbit 抗体,靶向 Sphingosine Kinase 1/SPHK1。Anti-Sphingosine Kinase 1/SPHK1 Antibody (6L121) 可用于 FCM,IHC,WB。

Anti-Sphingosine Kinase 1/SPHK1 Antibody (6L121)

一键复制产品信息
Rating icon 还可以
货号 TMAC-03836

别名 SPK, SPHK1, SPHK, sphingosine kinase 1

Anti-Sphingosine Kinase 1/SPHK1 Antibody (6L121) 是一种 Rabbit 抗体,靶向 Sphingosine Kinase 1/SPHK1。Anti-Sphingosine Kinase 1/SPHK1 Antibody (6L121) 可用于 FCM,IHC,WB。

Anti-Sphingosine Kinase 1/SPHK1 Antibody (6L121)
规格价格库存数量
50 μL
¥ 1,490
5日内发货
100 μL
¥ 2,490
5日内发货
库存状态实时更新,以官网显示为准,现货产品可直接加购物车下单
大包装 & 定制
加入购物车

TargetMol的所有产品仅用作科学研究或药证申报,不能被用于人体,我们不向个人提供产品和服务。请您遵守承诺用途,不得违反法律法规规定用于任何其他用途。

实验操作小课堂
常见问题解答
查看更多

资源下载:产品操作手册

产品介绍


生物活性
产品描述
Anti-Sphingosine Kinase 1/SPHK1 Antibody (6L121) is a Rabbit antibody targeting Sphingosine Kinase 1/SPHK1. Anti-Sphingosine Kinase 1/SPHK1 Antibody (6L121) can be used in FCM,IHC,WB.
别名
SPK, SPHK1, SPHK, sphingosine kinase 1
Ig Type
IgG
克隆号
6L121
反应种属
Human,Mouse,Rat
验证活性
1. Western blot analysis of SPHK1 on C2C12 lysates using anti-SPHK1 antibody at 1/1,000 dilution.
2. Immunohistochemical analysis of paraffin-embedded human kidney tissue using anti-SPHK1 antibody. Counter stained with hematoxylin.
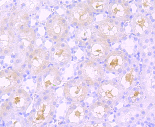
3. Immunohistochemical analysis of paraffin-embedded rat kidney tissue using anti-SPHK1 antibody. Counter stained with hematoxylin.
4. Flow cytometric analysis of Raji cells with SPHK1 antibody at 1/100 dilution (red) compared with an unlabelled control (cells without incubation with primary antibody; black).
verifiedActivityverifiedActivityverifiedActivityverifiedActivity
应用FCMIHCWB
推荐剂量
WB: 1:500-1000; IHC: 1:50-200; FCM: 1:50
抗体种类
Monoclonal
宿主来源Rabbit
构建方式Recombinant Antibody
纯化方式ProA affinity purified
性状Liquid
缓冲液1*TBS (pH7.4), 1%BSA, 40%Glycerol. Preservative: 0.05% Sodium Azide.
研究背景Sphingosine kinase (SphK or SphK1) is a key enzyme catalyzing the phosphorylation of sphingosine to form sphingosine 1-phosphate (SPP or S1P). Competitive inhibitors of SphK1 block formation of SPP and selectively inhibit cellular proliferation induced by a variety of factors. One potent inhibitor of SphK1 activity is DMS (N,N-dimethylsphingosine). SPP/SphK1 has been implicated as a signaling pathway that regulates diverse cellular functions, including cell growth, proliferation and survival. Specifically, SphK1 is involved in the signaling pathway(s) that protects human hepatocytes from the apoptotic action of TNFα. Furthermore, SPP/SphK1 may play an important role in neuronal survival by regulating activation of SAPKs and caspases. SphK1 is widely expressed with highest levels in adult liver, kidney, heart and skeletal muscle; however, activation of SphK1 disengages cells from their liver-specific phenotype.
偶联与修饰
偶联
Unconjugated
抗原信息
免疫原
Recombinant Protein
Uniprot ID
化学信息
分子量Theoretical: 51 kDa.
储存&溶解度
储存方式Store at -20°C or -80°C for 12 months. Avoid repeated freeze-thaw cycles.
运输方式Shipping with blue ice.

计算器

  • 稀释 计算器
  • 配液 计算器

关键词

Related Tags: buy Anti-Sphingosine Kinase 1/SPHK1 Antibody (6L121) | purchase Anti-Sphingosine Kinase 1/SPHK1 Antibody (6L121) | Anti-Sphingosine Kinase 1/SPHK1 Antibody (6L121) cost | order Anti-Sphingosine Kinase 1/SPHK1 Antibody (6L121) | Anti-Sphingosine Kinase 1/SPHK1 Antibody (6L121) molecular weight