购物车
  • TargetMol
    您的购物车当前为空

Anti-SP1 Polyclonal Antibody

Synonyms: TSFP1, TSFP 1, Transcription factor Sp1, Specificity protein 1, Sp1 transcription factor isoform a, SP 1
货号 TMAB-01762Cas号 一键复制产品信息纯度:
Rating icon 还可以

Anti-SP1 Polyclonal Antibody 是一种 Rabbit 抗体,靶向 SP1。Anti-SP1 Polyclonal Antibody 可用于 FCM,IF,IHC-Fr,IHC-P,WB。

Anti-SP1 Polyclonal Antibody

一键复制产品信息
Rating icon 还可以
货号 TMAB-01762

别名 TSFP1, TSFP 1, Transcription factor Sp1, Specificity protein 1, Sp1 transcription factor isoform a, SP 1

Anti-SP1 Polyclonal Antibody 是一种 Rabbit 抗体,靶向 SP1。Anti-SP1 Polyclonal Antibody 可用于 FCM,IF,IHC-Fr,IHC-P,WB。

Anti-SP1 Polyclonal Antibody
规格价格库存数量
50 μL
¥ 1,175
5日内发货
100 μL
¥ 1,965
5日内发货
200 μL
¥ 2,780
5日内发货
库存状态实时更新,以官网显示为准,现货产品可直接加购物车下单
大包装 & 定制
加入购物车

TargetMol的所有产品仅用作科学研究或药证申报,不能被用于人体,我们不向个人提供产品和服务。请您遵守承诺用途,不得违反法律法规规定用于任何其他用途。

实验操作小课堂
常见问题解答
查看更多

资源下载:产品操作手册

产品介绍


生物活性
产品描述
Anti-SP1 Polyclonal Antibody is a Rabbit antibody targeting SP1. Anti-SP1 Polyclonal Antibody can be used in FCM,IF,IHC-Fr,IHC-P,WB.
别名
TSFP1, TSFP 1, Transcription factor Sp1, Specificity protein 1, Sp1 transcription factor isoform a, SP 1
Ig Type
IgG
反应种属
Human (predicted:Mouse,Rat,Chicken,Dog,Pig,Cow,Sheep)
验证活性
1. Sample:
A549 (Human) Cell Lysate at 30 μg
Primary: Anti-SP1 (TMAB-01762) at 1/300 dilution
Secondary: IRDye800CW Goat Anti-Rabbit IgG at 1/20000 dilution
Predicted band size: 81 kDa
Observed band size: 111 kDa
2. Blank control (Black line): Molt4 (Black).
Primary Antibody (green line): Rabbit Anti-SP1 antibody (TMAB-01762)
Dilution: 1 μg/10^6 cells;
Isotype Control Antibody (orange line): Rabbit IgG.
Secondary Antibody (white blue line): Goat anti-rabbit IgG-AF647
Dilution: 1 μg/test.
Protocol
The cells were fixed with 4% PFA (10 min at room temperature) and then permeabilized with 90% ice-cold methanol for 20 min at room temperature. The cells were then incubated in 5% BSA to block non-specific protein-protein interactions for 30 min at room temperature. Cells stained with Primary Antibody for 30 min at room temperature. The secondary antibody used for 40 min at room temperature.
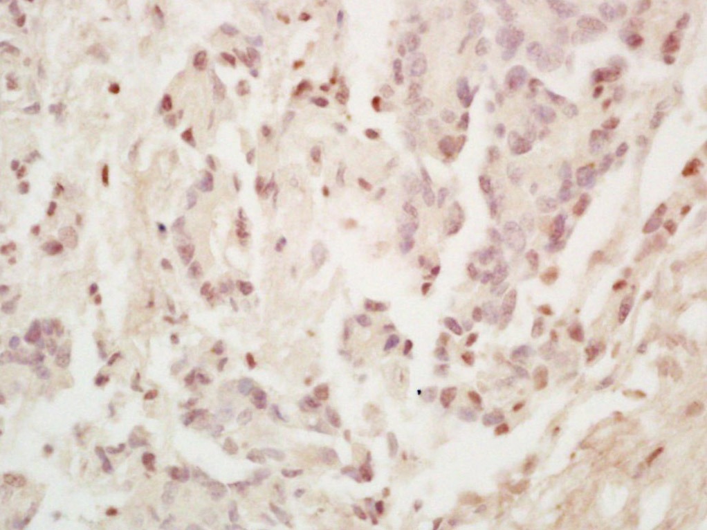
3. Paraformaldehyde-fixed, paraffin embedded (Human stomach cancer); Antigen retrieval by boiling in sodium citrate buffer (pH6.0) for 15 min; Block endogenous peroxidase by 3% hydrogen peroxide for 20 min; Blocking buffer (normal goat serum) at 37°C for 30 min; Antibody incubation with (TSFP1) Polyclonal Antibody, Unconjugated (TMAB-01762) at 1:200 overnight at 4°C, followed by operating according to SP Kit (Rabbit) instructionsand DAB staining.
verifiedActivityverifiedActivityverifiedActivity
应用FCMIFIHC-FrIHC-PWB
推荐剂量
WB: 1:500-2000; IHC-P: 1:100-500; IHC-Fr: 1:100-500; IF: 1:100-500; FCM: 1ug/Test
抗体种类
Polyclonal
宿主来源Rabbit
亚细胞定位Nucleus. Cytoplasm. Nuclear location is governed by glycosylated/phosphorylated states. Insulin promotes nuclear location, while glucagon favors cytoplasmic location.
组织特异性Up-regulated in adenocarcinomas of the stomach (at protein level).
构建方式Polyclonal Antibody
纯化方式Protein A purified
性状Liquid
缓冲液0.01M TBS (pH7.4) with 1% BSA, 0.02% Proclin300 and 50% Glycerol.
浓度1 mg/mL
研究背景Profound changes in patterns of gene expression can result from relatively small changes in the concentrations of sequence specific transcription factors. Synergistic interaction between factors bound to different sites within a transcriptional control region is supported by the work of Courey et al. (1989). Sp1 is a sequence specific transcription factor that recognizes GGGGCGGGGC and closely related sequences, which are often referred to as GC boxes. Sp1 binds to GC box promoters elements and selectively activates mRNA synthesis from genes that contain functional recognition sites. SP1 can interact with G/C rich motifs from serotonin receptor promoter. Kadonaga et al. (1987) cloned the human Sp1 cDNA and showed that it has contiguous zinc finger motifs and requires zinc for sequence specific binding to DNA. Altername:Sp1 transcription factor isoform a; TSFP1; TSFP 1; Specificity protein 1; Transcription factor Sp1.
抗原信息
免疫原
KLH conjugated synthetic peptide: human SP1
抗原种属
Human
基因名称
SP1
基因ID
蛋白名称
Transcription factor Sp1
Uniprot ID
研究领域
ChIP antibodies,Zinc Finger,Mitochondrial transcription,Mitochondrial Biogenesis,Nuclear
功能
Transcription factor that can activate or repress transcription in response to physiological and pathological stimuli. Binds with high affinity to GC-rich motifs and regulates the expression of a large number of genes involved in a variety of processes such as cell growth, apoptosis, differentiation and immune responses. Highly regulated by post-translational modifications (phosphorylations, sumoylation, proteolytic cleavage, glycosylation and acetylation). Binds also the PDGFR-alpha G-box promoter. May have a role in modulating the cellular response to DNA damage. Implicated in chromatin remodeling. Plays a role in the recruitment of SMARCA4/BRG1 on the c-FOS promoter. Plays an essential role in the regulation of FE65 gene expression. In complex with ATF7IP, maintains telomerase activity in cancer cells by inducing TERT and TERC gene expression.
化学信息
分子量Theoretical: 81 kDa. Actual: 111 kDa.
储存&溶解度
储存方式Store at -20°C or -80°C for 12 months. Avoid repeated freeze-thaw cycles.
运输方式Shipping with blue ice.

计算器

  • 稀释 计算器
  • 配液 计算器
Related Tags: buy Anti-SP1 Polyclonal Antibody | purchase Anti-SP1 Polyclonal Antibody | Anti-SP1 Polyclonal Antibody cost | order Anti-SP1 Polyclonal Antibody | Anti-SP1 Polyclonal Antibody molecular weight