购物车
  • TargetMol
    您的购物车当前为空

Anti-SOX9 Polyclonal Antibody 2

Synonyms: Transcription factor SOX-9
货号 TMAB-01761 一键复制产品信息
Rating icon 还可以

Anti-SOX9 Polyclonal Antibody 2 是一种 Rabbit 抗体,靶向 SOX9。Anti-SOX9 Polyclonal Antibody 2 可用于 FCM,IF,IHC-Fr,IHC-P。

Anti-SOX9 Polyclonal Antibody 2

一键复制产品信息
Rating icon 还可以
货号 TMAB-01761

别名 Transcription factor SOX-9

Anti-SOX9 Polyclonal Antibody 2 是一种 Rabbit 抗体,靶向 SOX9。Anti-SOX9 Polyclonal Antibody 2 可用于 FCM,IF,IHC-Fr,IHC-P。

Anti-SOX9 Polyclonal Antibody 2
规格价格库存数量
50 μL
¥ 1,165
5日内发货
100 μL
¥ 1,970
5日内发货
200 μL
¥ 2,790
5日内发货
库存状态实时更新,以官网显示为准,现货产品可直接加购物车下单
大包装 & 定制
加入购物车
TargetMol的所有产品仅用作科学研究或药证申报,不能被用于人体,我们不向个人提供产品和服务。请您遵守承诺用途,不得违反法律法规规定用于任何其他用途。
实验操作小课堂
常见问题解答
查看更多

资源下载:产品操作手册

产品介绍


生物活性
产品描述
Anti-SOX9 Polyclonal Antibody 2 is a Rabbit antibody targeting SOX9. Anti-SOX9 Polyclonal Antibody 2 can be used in FCM,IF,IHC-Fr,IHC-P.
别名Transcription factor SOX-9
Ig Type
IgG
反应种属
Human,Mouse,Rat (predicted:Pig,Horse,Rabbit)
验证活性
1. Blank control (blue line): U251 (fixed with 2% paraformaldehyde (10 min , then permeabilized) with 90% ice-cold methanol for 20 min on ice).
Primary Antibody (green line): Rabbit Anti-SOX9 antibody (TMAB-01761), Dilution: 1 μg/10^6 cells;
Isotype Control Antibody (orange line): Rabbit IgG.
Secondary Antibody (white blue line): Goat anti-rabbit IgG-PE, Dilution: 1 μg/test.
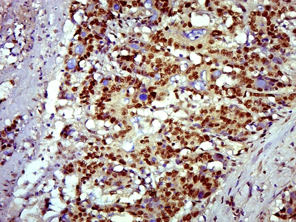
2. Paraformaldehyde-fixed, paraffin embedded (Human colon carcinoma); Antigen retrieval by boiling in sodium citrate buffer (pH6.0) for 15 min; Block endogenous peroxidase by 3% hydrogen peroxide for 20 min; Blocking buffer (normal goat serum) at 37°C for 30 min; Antibody incubation with (SOX9) Polyclonal Antibody, Unconjugated (TMAB-01761) at 1:500 overnight at 4°C, followed by a conjugated secondary for 20 min and DAB staining.
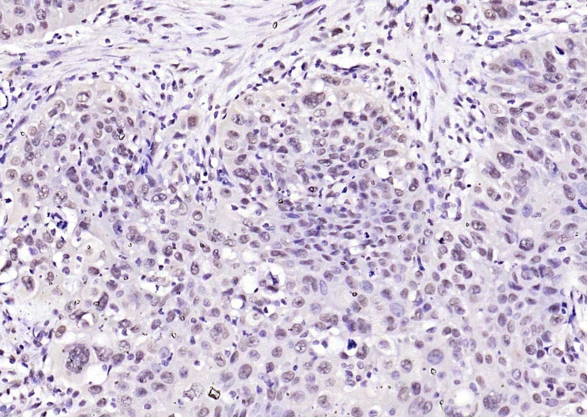
3. Paraformaldehyde-fixed, paraffin embedded (human gastric carcinoma); Antigen retrieval by boiling in sodium citrate buffer (pH6.0) for 15 min; Block endogenous peroxidase by 3% hydrogen peroxide for 20 min; Blocking buffer (normal goat serum) at 37°C for 30 min; Antibody incubation with (SOX9) Polyclonal Antibody, Unconjugated (TMAB-01761) at 1:200 overnight at 4°C, followed by operating according to SP Kit (Rabbit) instructionsand DAB staining.
4. Blank control: 293T.
Primary Antibody (green line): Rabbit Anti-SOX9 antibody (TMAB-01761)
Dilution: 1 μg/10^6 cells;
Isotype Control Antibody (orange line): Rabbit IgG.
Secondary Antibody: Goat anti-rabbit IgG-AF488
Dilution: 1 μg/test.
Protocol
The cells were fixed with 4% PFA (10 min at room temperature) and then permeabilized with 90% ice-cold methanol for 20 min at-20°C. The cells were then incubated in 5% BSA to block non-specific protein-protein interactions for 30 min at room temperature. Cells stained with Primary Antibody for 30 min at room temperature. The secondary antibody used for 40 min at room temperature.
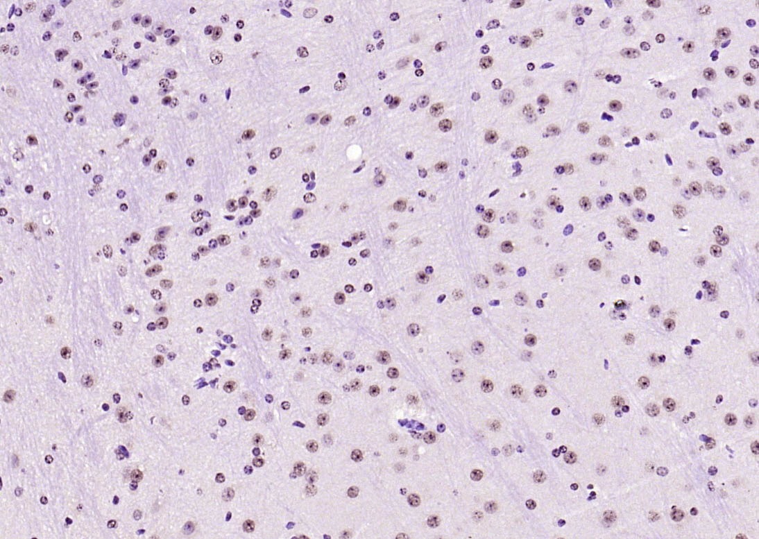
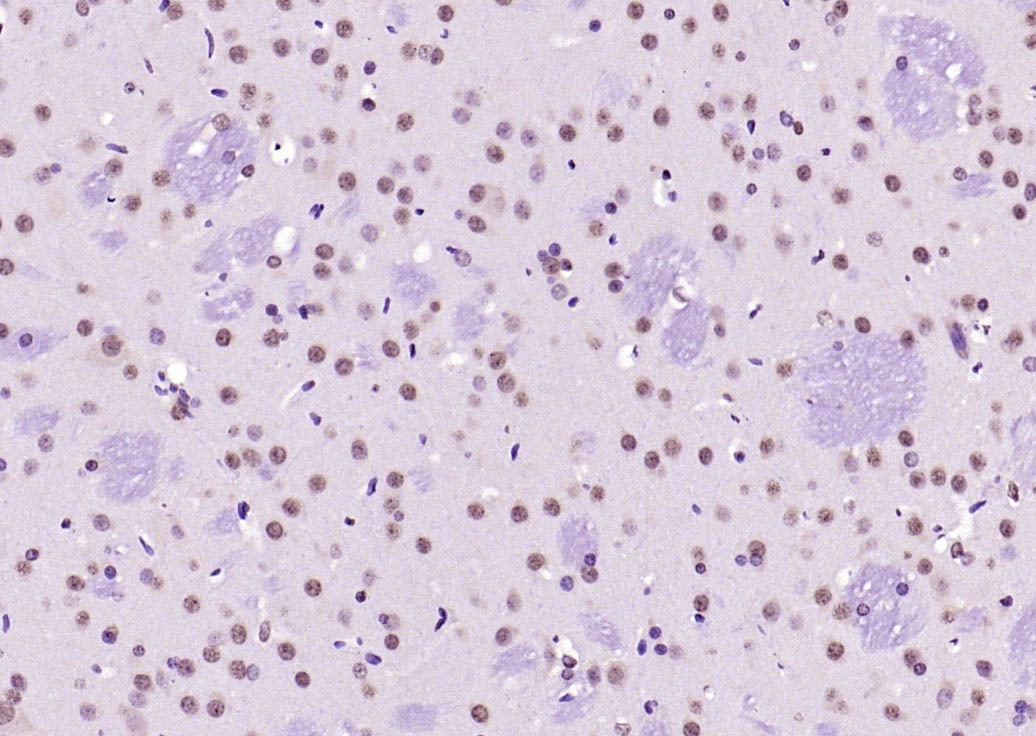
5. Paraformaldehyde-fixed, paraffin embedded (mouse brain); Antigen retrieval by boiling in sodium citrate buffer (pH6.0) for 15 min; Block endogenous peroxidase by 3% hydrogen peroxide for 20 min; Blocking buffer (normal goat serum) at 37°C for 30 min; Antibody incubation with (SOX9) Polyclonal Antibody, Unconjugated (TMAB-01761) at 1:200 overnight at 4°C, followed by operating according to SP Kit (Rabbit) instructionsand DAB staining.
6. Paraformaldehyde-fixed, paraffin embedded (rat brain); Antigen retrieval by boiling in sodium citrate buffer (pH6.0) for 15 min; Block endogenous peroxidase by 3% hydrogen peroxide for 20 min; Blocking buffer (normal goat serum) at 37°C for 30 min; Antibody incubation with (SOX9) Polyclonal Antibody, Unconjugated (TMAB-01761) at 1:200 overnight at 4°C, followed by operating according to SP Kit (Rabbit) instructionsand DAB staining.
verifiedActivityverifiedActivityverifiedActivityverifiedActivityverifiedActivityverifiedActivity
应用FCMIFIHC-FrIHC-P
推荐剂量
IHC-P: 1:100-500; IHC-Fr: 1:100-500; IF: 1:100-500; FCM: 1ug/test
抗体种类
Polyclonal
宿主来源Rabbit
亚细胞定位Nucleus. Cytoplasm (By similarity). Note=Restricted to the nucleus of Sertoli-like cells in the testis, but localizes to the cytoplasm of previtellogenic oocytes in the ovary before being translocated into the nucleus of vitellogenic oocytes (By similarity).
组织特异性From mid-gastrula (stage 10.5-11), expressed in a ring around the blastopore, with expression decreasing toward the dorsal side. At stage 12, expression around the blastopore decreases and begins to increase lateral to the neural plate in the presumptive
构建方式Polyclonal Antibody
纯化方式Protein A purified
性状Liquid
缓冲液0.01M TBS (pH7.4) with 1% BSA, 0.02% Proclin300 and 50% Glycerol.
浓度1 mg/mL
研究背景May be involved in chondrogenesis (cartilage development) during bone formation. Unlikely to play a role in sex determination but may function during testicular and ovarian differentiation (By similarity). Transcriptional activator. Acts early in neural crest formation, functioning redundantly with the other group E Sox factors sox8 and sox10 to induce neural crest progenitors. Induces sox10 expression downstream of wnt-signaling. Principally involved in development of the cranial neural crest, which is fated to form skeletal elements. Also required for otic placode specification during inner ear development.
抗原信息
免疫原
KLH conjugated synthetic peptide: human SOX9
抗原种属
Human
基因名称
SOX9
基因ID
蛋白名称
Transcription factor SOX-9
功能
Plays an important role in the normal skeletal development. May regulate the expression of other genes involved in chondrogenesis by acting as a transcription factor for these genes.
化学信息
分子量Theoretical: 56 kDa.
储存&溶解度
储存方式Store at -20°C or -80°C for 12 months. Avoid repeated freeze-thaw cycles.
运输方式Shipping with blue ice.

计算器

  • 稀释 计算器
  • 配液 计算器
Related Tags: buy Anti-SOX9 Polyclonal Antibody 2 | purchase Anti-SOX9 Polyclonal Antibody 2 | Anti-SOX9 Polyclonal Antibody 2 cost | order Anti-SOX9 Polyclonal Antibody 2 | Anti-SOX9 Polyclonal Antibody 2 molecular weight