购物车
  • TargetMol
    您的购物车当前为空

Anti-SOX9 Antibody (7W835)

Synonyms: Transcription factor SOX-9
货号 TMAC-03830 一键复制产品信息
Rating icon 还可以

Anti-SOX9 Antibody (7W835) 是一种 Rabbit 抗体,靶向 SOX9。Anti-SOX9 Antibody (7W835) 可用于 FCM,ICC/IF,IHC,IP,WB。

Anti-SOX9 Antibody (7W835)

一键复制产品信息
Rating icon 还可以
货号 TMAC-03830

别名 Transcription factor SOX-9

Anti-SOX9 Antibody (7W835) 是一种 Rabbit 抗体,靶向 SOX9。Anti-SOX9 Antibody (7W835) 可用于 FCM,ICC/IF,IHC,IP,WB。

Anti-SOX9 Antibody (7W835)
规格价格库存数量
50 μL
¥ 1,495
5日内发货
100 μL
¥ 2,480
5日内发货
库存状态实时更新,以官网显示为准,现货产品可直接加购物车下单
大包装 & 定制
加入购物车
TargetMol的所有产品仅用作科学研究或药证申报,不能被用于人体,我们不向个人提供产品和服务。请您遵守承诺用途,不得违反法律法规规定用于任何其他用途。
实验操作小课堂
常见问题解答
查看更多

资源下载:产品操作手册

产品介绍


生物活性
产品描述
Anti-SOX9 Antibody (7W835) is a Rabbit antibody targeting SOX9. Anti-SOX9 Antibody (7W835) can be used in FCM,ICC/IF,IHC,IP,WB.
别名Transcription factor SOX-9
Ig Type
IgG
克隆号
7W835
反应种属
Human,Mouse,Rat
验证活性
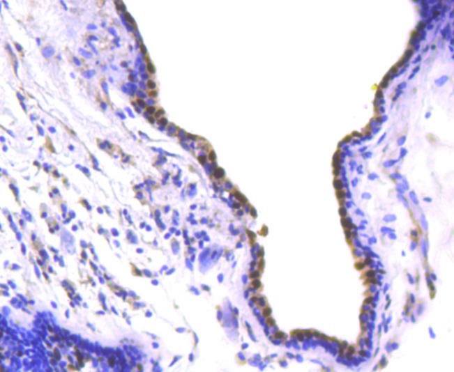
1. Immunohistochemical analysis of paraffin-embedded human tonsil tissue using anti-SOX9 antibody. Counter stained with hematoxylin.
2. Immunohistochemical analysis of paraffin-embedded human breast carcinoma tissue using anti-SOX9 antibody. Counter stained with hematoxylin.
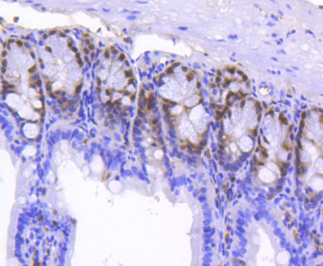
3. Immunohistochemical analysis of paraffin-embedded mouse colon tissue using anti-SOX9 antibody. Counter stained with hematoxylin.
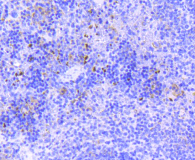
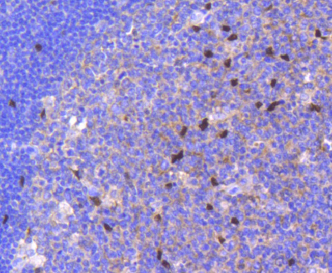
4. Immunohistochemical analysis of paraffin-embedded mouse spleen tissue using anti-SOX9 antibody. Counter stained with hematoxylin.
5. ICC staining SOX9 in MCF-7 cells (green). The nuclear counter stain is DAPI (blue). Cells were fixed in paraformaldehyde, permeabilised with 0.25% Triton X100/PBS.
6. ICC staining SOX9 in SW480 cells (green). The nuclear counter stain is DAPI (blue). Cells were fixed in paraformaldehyde, permeabilised with 0.25% Triton X100/PBS.
7. Flow cytometric analysis of Hela cells with SOX9 antibody at 1/50 dilution (red) compared with an unlabelled control (cells without incubation with primary antibody; black). Alexa Fluor 488-conjugated goat anti rabbit IgG was used as the secondary antibody.
verifiedActivityverifiedActivityverifiedActivityverifiedActivityverifiedActivityverifiedActivityverifiedActivity
应用FCMICC/IFIHCIPWB
推荐剂量
WB: 1:1000; IHC: 1:50-200; ICC/IF: 1:50-200; FCM: 1:50-100
抗体种类
Monoclonal
宿主来源Rabbit
构建方式Recombinant Antibody
纯化方式ProA affinity purified
性状Liquid
缓冲液1*TBS (pH7.4), 1%BSA, 40%Glycerol. Preservative: 0.05% Sodium Azide.
研究背景Sox genes comprise a family of genes that are related to the mammalian sex determining gene SRY. These genes similarly contain sequences that encode for the HMG-box domain, which is responsible for the sequence-specific DNA-binding activity. Sox genes encode putative transcriptional regulators implicated in the decision of cell fates during development and the control of diverse developmental processes. The highly complex group of Sox genes cluster at least 40 different loci that rapidly diverged in various animal lineages. At present, 30 Sox genes have been identified. Members of this family have been shown to be conserved during evolution and to play key roles during animal development. Some are involved in human diseases, including sex reversal.
偶联与修饰
偶联
Unconjugated
抗原信息
免疫原
Recombinant Protein
Uniprot ID
化学信息
分子量Theoretical: 56 kDa.
储存&溶解度
储存方式Store at -20°C or -80°C for 12 months. Avoid repeated freeze-thaw cycles.
运输方式Shipping with blue ice.

计算器

  • 稀释 计算器
  • 配液 计算器
Related Tags: buy Anti-SOX9 Antibody (7W835) | purchase Anti-SOX9 Antibody (7W835) | Anti-SOX9 Antibody (7W835) cost | order Anti-SOX9 Antibody (7W835) | Anti-SOX9 Antibody (7W835) molecular weight