购物车
  • TargetMol
    您的购物车当前为空

Anti-SNX1 Antibody (7Z490)

Synonyms: Vps5, Sorting nexin-1, Sorting nexin 1A, Sorting nexin 1, SNX1A, SNX1_HUMAN, Snx1, SNX 1a, SNX 1, MGC8664, HsT17379
货号 TMAC-03817 一键复制产品信息
Rating icon 还可以

Anti-SNX1 Antibody (7Z490) 是一种 Rabbit 抗体,靶向 SNX1。Anti-SNX1 Antibody (7Z490) 可用于 FCM,ICC,IF,IHC,WB。

Anti-SNX1 Antibody (7Z490)

一键复制产品信息
Rating icon 还可以
货号 TMAC-03817

别名 Vps5, Sorting nexin-1, Sorting nexin 1A, Sorting nexin 1, SNX1A, SNX1_HUMAN, Snx1, SNX 1a, SNX 1, MGC8664, HsT17379

Anti-SNX1 Antibody (7Z490) 是一种 Rabbit 抗体,靶向 SNX1。Anti-SNX1 Antibody (7Z490) 可用于 FCM,ICC,IF,IHC,WB。

Anti-SNX1 Antibody (7Z490)
规格价格库存数量
50 μL
¥ 1,495
5日内发货
100 μL
¥ 2,480
5日内发货
库存状态实时更新,以官网显示为准,现货产品可直接加购物车下单
大包装 & 定制
加入购物车

TargetMol的所有产品仅用作科学研究或药证申报,不能被用于人体,我们不向个人提供产品和服务。请您遵守承诺用途,不得违反法律法规规定用于任何其他用途。

实验操作小课堂
常见问题解答
查看更多

资源下载:产品操作手册

产品介绍


生物活性
产品描述
Anti-SNX1 Antibody (7Z490) is a Rabbit antibody targeting SNX1. Anti-SNX1 Antibody (7Z490) can be used in FCM,ICC,IF,IHC,WB.
别名
Vps5, Sorting nexin-1, Sorting nexin 1A, Sorting nexin 1, SNX1A, SNX1_HUMAN, Snx1, SNX 1a, SNX 1, MGC8664, HsT17379
Ig Type
IgG
克隆号
7Z490
反应种属
Human,Mouse,Rat
验证活性
1. Western blot analysis of SNX1 on human skin tissue lysate using anti-SNX1 antibody at 1/2,000 dilution.
2. Immunohistochemical analysis of paraffin-embedded rat epididymis tissue using anti-SNX1 antibody. Counter stained with hematoxylin.
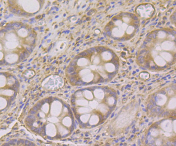
3. Immunohistochemical analysis of paraffin-embedded human colon tissue using anti-SNX1 antibody. Counter stained with hematoxylin.
4. Immunohistochemical analysis of paraffin-embedded human breast cancer tissue using anti-SNX1 antibody. Counter stained with hematoxylin.
5. ICC staining SNX1 in A549 cells (green). The nuclear counter stain is DAPI (blue). Cells were fixed in paraformaldehyde, permeabilised with 0.25% Triton X100/PBS.
6. ICC staining SNX1 in SH-SY-5Y cells (green). The nuclear counter stain is DAPI (blue). Cells were fixed in paraformaldehyde, permeabilised with 0.25% Triton X100/PBS.
7. ICC staining SNX1 in SiHa cells (green). The nuclear counter stain is DAPI (blue). Cells were fixed in paraformaldehyde, permeabilised with 0.25% Triton X100/PBS.
8. Flow cytometric analysis of SiHa cells with SNX1 antibody at 1/100 dilution (purple) compared with an unlabelled control (cells without incubation with primary antibody; yellow). Alexa Fluor 488-conjugated goat anti-rabbit IgG was used as the secondary antibody.
verifiedActivityverifiedActivityverifiedActivityverifiedActivityverifiedActivityverifiedActivityverifiedActivityverifiedActivity
应用FCMICCIFIHCWB
推荐剂量
WB: 1:1000-2000; IHC: 1:50-200; ICC:IF: 1:50-200; FCM: 1:50-100
抗体种类
Monoclonal
宿主来源Rabbit
构建方式Recombinant Antibody
纯化方式ProA affinity purified
性状Liquid
缓冲液1*TBS (pH7.4), 1%BSA, 40%Glycerol. Preservative: 0.05% Sodium Azide.
研究背景Sorting nexin 1 (SNX1) is a member of a large family of hydrophilic proteins that interact with a variety of receptor types and are involved in intracellular trafficking. SNX1 and the related splice variant, SNX1A, bind the epidermal growth factor (EGF) receptor, facilitate its transport to lysosome, and thereby contribute to the degradation of the receptor. SNX2 and SNX4 share a high degree of amino acid similarity with SNX1, as they all contain a characteristic phox homology (PX) domain. These proteins are all partially associated with cellular membranes, and they, likewise, associate with EGF, PDGF and insulin receptor tyrosine kinases. These nexins are widely expressed and yet have various tissue distribution patterns. Additionally, the sorting nexins can associate with each other and with a variety of other cellular proteins, suggesting that they exist as part of multisubunit complexes. The related protein, SNX3, comprises a distinct subgroup of nexins that share less sequence similarity outside of the PX domain and have dramatically different binding affinities for the tyrosine kinase receptors.
偶联与修饰
偶联
Unconjugated
抗原信息
免疫原
Recombinant Protein: human SNX1 aa 50-250
抗原种属
human
Uniprot ID
化学信息
分子量Theoretical: 63 kDa.
储存&溶解度
储存方式Store at -20°C or -80°C for 12 months. Avoid repeated freeze-thaw cycles.
运输方式Shipping with blue ice.

计算器

  • 稀释 计算器
  • 配液 计算器
Related Tags: buy Anti-SNX1 Antibody (7Z490) | purchase Anti-SNX1 Antibody (7Z490) | Anti-SNX1 Antibody (7Z490) cost | order Anti-SNX1 Antibody (7Z490) | Anti-SNX1 Antibody (7Z490) molecular weight