购物车
  • TargetMol
    您的购物车当前为空

Anti-SMYD3 Antibody (2M615)

Synonyms: ZNFN3A1, ZMYND1, SET and MYND domain containing 3, KMT3E, bA74P14.1
货号 TMAC-03811 一键复制产品信息
Rating icon 还可以

Anti-SMYD3 Antibody (2M615) 是一种 Rabbit 抗体,靶向 SMYD3。Anti-SMYD3 Antibody (2M615) 可用于 FCM,ICC/IF,IHC,IP,WB。

Anti-SMYD3 Antibody (2M615)

一键复制产品信息
Rating icon 还可以
货号 TMAC-03811

别名 ZNFN3A1, ZMYND1, SET and MYND domain containing 3, KMT3E, bA74P14.1

Anti-SMYD3 Antibody (2M615) 是一种 Rabbit 抗体,靶向 SMYD3。Anti-SMYD3 Antibody (2M615) 可用于 FCM,ICC/IF,IHC,IP,WB。

Anti-SMYD3 Antibody (2M615)
规格价格库存数量
50 μL
¥ 1,495
5日内发货
100 μL
¥ 2,485
5日内发货
库存状态实时更新,以官网显示为准,现货产品可直接加购物车下单
大包装 & 定制
加入购物车
TargetMol的所有产品仅用作科学研究或药证申报,不能被用于人体,我们不向个人提供产品和服务。请您遵守承诺用途,不得违反法律法规规定用于任何其他用途。
实验操作小课堂
常见问题解答
查看更多

资源下载:产品操作手册

产品介绍


生物活性
产品描述
Anti-SMYD3 Antibody (2M615) is a Rabbit antibody targeting SMYD3. Anti-SMYD3 Antibody (2M615) can be used in FCM,ICC/IF,IHC,IP,WB.
别名ZNFN3A1, ZMYND1, SET and MYND domain containing 3, KMT3E, bA74P14.1
Ig Type
IgG
克隆号
2M615
反应种属
Human,Mouse,Rat
验证活性
1. Western blot analysis of SMYD3 on different cell/tissue lysate using anti-Profilin 1 antibody at 1/1,000 dilution. Positive control: Lane1: Rat kidney, Lane2: PC-12, Lane3: Hela, Lane4: Mouse spleen, Lane5: NIH-3T3, Lane6: Rat spleen.
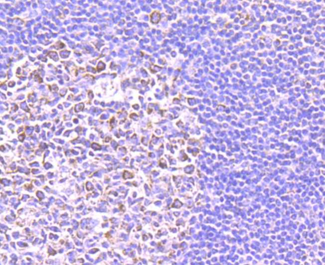
2. Immunohistochemical analysis of paraffin-embedded human tonsil tissue using anti-SMYD3 antibody. Counter stained with hematoxylin.
3. Immunohistochemical analysis of paraffin-embedded human colon cancer tissue using anti-SMYD3 antibody. Counter stained with hematoxylin.
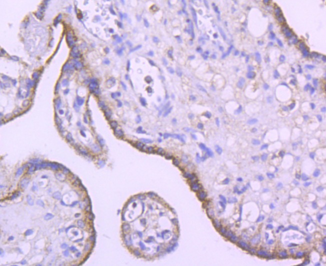
4. Immunohistochemical analysis of paraffin-embedded human placenta tissue using anti-SMYD3 antibody. Counter stained with hematoxylin.
5. Immunohistochemical analysis of paraffin-embedded mouse stomach tissue using anti-SMYD3 antibody. Counter stained with hematoxylin.
6. ICC staining SMYD3 in Hela cells (green). The nuclear counter stain is DAPI (blue). Cells were fixed in paraformaldehyde, permeabilised with 0.25% Triton X100/PBS.
7. ICC staining SMYD3 in HepG2 cells (green). The nuclear counter stain is DAPI (blue). Cells were fixed in paraformaldehyde, permeabilised with 0.25% Triton X100/PBS.
8. ICC staining SMYD3 in LOVO cells (green). The nuclear counter stain is DAPI (blue). Cells were fixed in paraformaldehyde, permeabilised with 0.25% Triton X100/PBS.
9. Flow cytometric analysis of Hela cells with SMYD3 antibody at 1/100 dilution (red) compared with an unlabelled control (cells without incubation with primary antibody; black).
verifiedActivityverifiedActivityverifiedActivityverifiedActivityverifiedActivityverifiedActivityverifiedActivityverifiedActivityverifiedActivity
应用FCMICC/IFIHCIPWB
推荐剂量
WB: 1:500-2000; IHC: 1:50-200; ICC/IF: 1:50-200; FCM: 1:50-100
抗体种类
Monoclonal
宿主来源Rabbit
构建方式Recombinant Antibody
纯化方式ProA affinity purified
性状Liquid
缓冲液1*TBS (pH7.4), 1%BSA, 40%Glycerol. Preservative: 0.05% Sodium Azide.
研究背景Belongs to the histone-lysine methyltransferase family. Contains 1 MYND-type zinc finger. Contains 1 SET domain. Histanes methyltransferase. Methylans 'Lys-4' of histone H3, inducing di- and tri-methylation, but not monomethylation. Plays an important role in transcriptional activation as a member of an RNA polymerase complex. Binds DNA containing 5'-CCCTCC- 3 'or 5'-GAGGGG-3'.
偶联与修饰
偶联
Unconjugated
抗原信息
免疫原
Recombinant Protein
Uniprot ID
储存&溶解度
储存方式Store at -20°C or -80°C for 12 months. Avoid repeated freeze-thaw cycles.
运输方式Shipping with blue ice.

计算器

  • 稀释 计算器
  • 配液 计算器

关键词

Related Tags: buy Anti-SMYD3 Antibody (2M615) | purchase Anti-SMYD3 Antibody (2M615) | Anti-SMYD3 Antibody (2M615) cost | order Anti-SMYD3 Antibody (2M615)