购物车
  • TargetMol
    您的购物车当前为空

Anti-SMC3 Antibody (2D413)

Synonyms: wu:fc30d07, u:fb22e01, Structural maintenance of chromosomes protein 3, Structural maintenance of chromosomes 3, Structural maintenance of chromosome 3, SMC3L1, SMC3_HUMAN, SMC-3, SMC protein 3, SMC 3, im:7142991, Human chromosome associated polypeptide, hCAP, CSPG6, CSPG 6, Chromosome-associated polypeptide, Chromosome associated polypeptide, chondroitin sulfate proteoglycan 6 (bamacan), Chondroitin sulfate proteoglycan 6, CDLS3, BMH, Basement membrane-associated chondroitin proteoglycan, Basement membrane associated chondroitin proteoglycan, Bamacan, BAM
货号 TMAC-03806 一键复制产品信息
Rating icon 还可以

Anti-SMC3 Antibody (2D413) 是一种 Rabbit 抗体,靶向 SMC3。Anti-SMC3 Antibody (2D413) 可用于 FCM,ICC/IF,IHC,WB。

Anti-SMC3 Antibody (2D413)

一键复制产品信息
Rating icon 还可以
货号 TMAC-03806

别名 wu:fc30d07, u:fb22e01, Structural maintenance of chromosomes protein 3, Structural maintenance of chromosomes 3, Structural maintenance of chromosome 3, SMC3L1, SMC3_HUMAN, SMC-3, SMC protein 3, SMC 3, im:7142991, Human chromosome associated polypeptide, hCAP, CSPG6, CSPG 6, Chromosome-associated polypeptide, Chromosome associated polypeptide, chondroitin sulfate proteoglycan 6 (bamacan), Chondroitin sulfate proteoglycan 6, CDLS3, BMH, Basement membrane-associated chondroitin proteoglycan, Basement membrane associated chondroitin proteoglycan, Bamacan, BAM

Anti-SMC3 Antibody (2D413) 是一种 Rabbit 抗体,靶向 SMC3。Anti-SMC3 Antibody (2D413) 可用于 FCM,ICC/IF,IHC,WB。

Anti-SMC3 Antibody (2D413)
规格价格库存数量
50 μL
¥ 1,485
5日内发货
100 μL
¥ 2,495
5日内发货
库存状态实时更新,以官网显示为准,现货产品可直接加购物车下单
大包装 & 定制
加入购物车
TargetMol的所有产品仅用作科学研究或药证申报,不能被用于人体,我们不向个人提供产品和服务。请您遵守承诺用途,不得违反法律法规规定用于任何其他用途。
实验操作小课堂
常见问题解答
查看更多

资源下载:产品操作手册

产品介绍


生物活性
产品描述
Anti-SMC3 Antibody (2D413) is a Rabbit antibody targeting SMC3. Anti-SMC3 Antibody (2D413) can be used in FCM,ICC/IF,IHC,WB.
别名wu:fc30d07, u:fb22e01, Structural maintenance of chromosomes protein 3, Structural maintenance of chromosomes 3, Structural maintenance of chromosome 3, SMC3L1, SMC3_HUMAN, SMC-3, SMC protein 3, SMC 3, im:7142991, Human chromosome associated polypeptide, hCAP, CSPG6, CSPG 6, Chromosome-associated polypeptide, Chromosome associated polypeptide, chondroitin sulfate proteoglycan 6 (bamacan), Chondroitin sulfate proteoglycan 6, CDLS3, BMH, Basement membrane-associated chondroitin proteoglycan, Basement membrane associated chondroitin proteoglycan, Bamacan, BAM
Ig Type
IgG
克隆号
2D413
反应种属
Human,Mouse,Rat
验证活性
1. Western blot analysis of SMC3 on different cells lysates using anti-SMC3 antibody at 1/1,000 dilution. Positive control: Line1: HepG2, Line2: NIH-3T3, Line3:PC12.
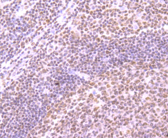
2. Immunohistochemical analysis of paraffin-embedded human tonsil tissue using anti-SMC3 antibody. Counter stained with hematoxylin.
3. Immunohistochemical analysis of paraffin-embedded human colon cancer tissue using anti-SMC3 antibody. Counter stained with hematoxylin.
4. Immunohistochemical analysis of paraffin-embedded mouse colon tissue using anti-SMC3 antibody. Counter stained with hematoxylin.
5. Immunohistochemical analysis of paraffin-embedded zebrafish tissue using anti-SMC3 antibody. Counter stained with hematoxylin.
6. ICC staining SMC3 in Hela cells (red). The nuclear counter stain is DAPI (blue). Cells were fixed in paraformaldehyde, permeabilised with 0.25% Triton X100/PBS.
7. ICC staining SMC3 in HepG2 cells (red). The nuclear counter stain is DAPI (blue). Cells were fixed in paraformaldehyde, permeabilised with 0.25% Triton X100/PBS.
8. ICC staining SMC3 in NIH-3T3 cells (red). The nuclear counter stain is DAPI (blue). Cells were fixed in paraformaldehyde, permeabilised with 0.25% Triton X100/PBS.
9. Flow cytometric analysis of Hela cells with SMC3 antibody at 1/50 dilution (red) compared with an unlabelled control (cells without incubation with primary antibody; black). Alexa Fluor 488-conjugated goat anti rabbit IgG was used as the secondary antibody.
verifiedActivityverifiedActivityverifiedActivityverifiedActivityverifiedActivityverifiedActivityverifiedActivityverifiedActivityverifiedActivity
应用FCMICC/IFIHCWB
推荐剂量
WB: 1:1000-5000; IHC: 1:50-200; ICC/IF: 1:100-500; FCM: 1:50-100
抗体种类
Monoclonal
宿主来源Rabbit
构建方式Recombinant Antibody
纯化方式ProA affinity purified
性状Liquid
缓冲液1*TBS (pH7.4), 1%BSA, 40%Glycerol. Preservative: 0.05% Sodium Azide.
研究背景The SMC (structural maintenance of chromosomes) family of proteins form heterodimeric complexes that modulate sister chromatid cohesion and chromosome condensation for mitosis. The two distinct classes of SMC protein complexes are comprised of SMC1 (also designated SB1.8) with SMC3 (also designated HCAP for human chromosome-associated protein and Bamacan for the secreted proteoglycan), and SMC2 (also designated hCAP-E) with SMC4 (also designated hCAP-C). The SMC1/SMC3 complex is required for metaphase progression in mitotic cells and functions independently of the SMC2/SMC4 complex during the cell cycle. SMC1 is ubiqitiously expressed in various human tissues, including thymus, testis, and colon. SMC3 is expressed as a nuclear protein in the colon, but can also occur as a secreted proteoglycan expressed in testis and brain. The secreted proteoglycan contains several glycosylation sites and is thought to play a role in basement membrane physiology.
偶联与修饰
偶联
Unconjugated
抗原信息
免疫原
Recombinant Protein
Uniprot ID
化学信息
分子量Theoretical: 141 kDa.
储存&溶解度
储存方式Store at -20°C or -80°C for 12 months. Avoid repeated freeze-thaw cycles.
运输方式Shipping with blue ice.

计算器

  • 稀释 计算器
  • 配液 计算器
Related Tags: buy Anti-SMC3 Antibody (2D413) | purchase Anti-SMC3 Antibody (2D413) | Anti-SMC3 Antibody (2D413) cost | order Anti-SMC3 Antibody (2D413) | Anti-SMC3 Antibody (2D413) molecular weight