购物车
  • TargetMol
    您的购物车当前为空

Anti-SMARCC1 Antibody (6J524)

Synonyms: SWI/SNF-related matrix-associated actin-dependent regulator of chromatin subfamily C member 1, SWI/SNF complex subunit SMARCC1, SWI/SNF complex 155 kDa subunit, SMARCC1, BRG1-associated factor 155 (BAF155), BAF155
货号 TMAC-03801 一键复制产品信息
Rating icon 还可以

Anti-SMARCC1 Antibody (6J524) 是一种 Rabbit 抗体,靶向 SMARCC1。Anti-SMARCC1 Antibody (6J524) 可用于 FCM,ICC,IF,IP,WB。

Anti-SMARCC1 Antibody (6J524)

一键复制产品信息
Rating icon 还可以
货号 TMAC-03801

别名 SWI/SNF-related matrix-associated actin-dependent regulator of chromatin subfamily C member 1, SWI/SNF complex subunit SMARCC1, SWI/SNF complex 155 kDa subunit, SMARCC1, BRG1-associated factor 155 (BAF155), BAF155

Anti-SMARCC1 Antibody (6J524) 是一种 Rabbit 抗体,靶向 SMARCC1。Anti-SMARCC1 Antibody (6J524) 可用于 FCM,ICC,IF,IP,WB。

Anti-SMARCC1 Antibody (6J524)
规格价格库存数量
50 μL
¥ 1,490
5日内发货
100 μL
¥ 2,480
5日内发货
库存状态实时更新,以官网显示为准,现货产品可直接加购物车下单
大包装 & 定制
加入购物车
TargetMol的所有产品仅用作科学研究或药证申报,不能被用于人体,我们不向个人提供产品和服务。请您遵守承诺用途,不得违反法律法规规定用于任何其他用途。
实验操作小课堂
常见问题解答
查看更多

资源下载:产品操作手册

产品介绍


生物活性
产品描述
Anti-SMARCC1 Antibody (6J524) is a Rabbit antibody targeting SMARCC1. Anti-SMARCC1 Antibody (6J524) can be used in FCM,ICC,IF,IP,WB.
别名SWI/SNF-related matrix-associated actin-dependent regulator of chromatin subfamily C member 1, SWI/SNF complex subunit SMARCC1, SWI/SNF complex 155 kDa subunit, SMARCC1, BRG1-associated factor 155 (BAF155), BAF155
Ig Type
IgG
克隆号
6J524
反应种属
Human,Rat
验证活性
1. Western blot analysis of SMARCC1 on different cell lysates using anti-SMARCC1 at 1/500 dilution. Positive control: Line 1: Mouse thymus tissue, Line 2: HL-60.
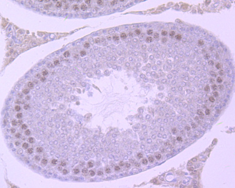
2. Immunohistochemical analysis of paraffin-embedded mouse testis tissue using anti-SMARCC1 antibody. Counter stained with hematoxylin.
3. ICC staining SMARCC1 in 293T cells (green). The nuclear counter stain is DAPI (blue). Cells were fixed in paraformaldehyde, permeabilised with 0.25% Triton X100/PBS.
4. Flow cytometric analysis of K562 cells with SMARCC1 antibody at 1/50 dilution (red) compared with an unlabelled control (cells without incubation with primary antibody; black). Alexa Fluor 488-conjugated goat anti-rabbit IgG was used as the secondary antibody.
verifiedActivityverifiedActivityverifiedActivityverifiedActivity
应用FCMICCIFIPWB
推荐剂量
WB: 1:500-1000; ICC: 1:50-200; IP: 1:10-50; FCM: 1:50-100
抗体种类
Monoclonal
宿主来源Rabbit
构建方式Recombinant Antibody
纯化方式ProA affinity purified
性状Liquid
缓冲液1*TBS (pH7.4), 1%BSA, 40%Glycerol. Preservative: 0.05% Sodium Azide.
研究背景Involved in transcriptional activation and repression of select genes by chromatin remodeling (alteration of DNA-nucleosome topology). Component of SWI/SNF chromatin remodeling complexes that carry out key enzymatic activities, changing chromatin structure by altering DNA-histone contacts within a nucleosome in an ATP-dependent manner. May stimulate the ATPase activity of the catalytic subunit of the complex. Belongs to the neural progenitors-specific chromatin remodeling complex (npBAF complex) and the neuron-specific chromatin remodeling complex (nBAF complex). During neural development a switch from a stem/progenitor to a postmitotic chromatin remodeling mechanism occurs as neurons exit the cell cycle and become committed to their adult state. The transition from proliferating neural stem/progenitor cells to postmitotic neurons requires a switch in subunit composition of the npBAF and nBAF complexes.
偶联与修饰
偶联
Unconjugated
抗原信息
免疫原
Recombinant Protein
Uniprot ID
化学信息
分子量Theoretical: 123 (Observed: 150) kDa.
储存&溶解度
储存方式Store at -20°C or -80°C for 12 months. Avoid repeated freeze-thaw cycles.
运输方式Shipping with blue ice.

计算器

  • 稀释 计算器
  • 配液 计算器

关键词

Related Tags: buy Anti-SMARCC1 Antibody (6J524) | purchase Anti-SMARCC1 Antibody (6J524) | Anti-SMARCC1 Antibody (6J524) cost | order Anti-SMARCC1 Antibody (6J524) | Anti-SMARCC1 Antibody (6J524) molecular weight