购物车
  • 全部删除
  • TargetMol
    您的购物车当前为空

Anti-SMARCB1 Antibody (3I885)

Rating icon 还可以
产品编号 TMAC-03816
别名 SWI/SNF-related matrix-associated actin-dependent regulator of chromatin subfamily B member 1, SNF5L1, SNF5 homolog (hSNF5), SMARCB1, Integrase interactor 1 protein, INI1, BRG1-associated factor 47 (BAF47), BAF47

Anti-SMARCB1 Antibody (3I885) 是一种 Rabbit 抗体,靶向 SMARCB1。Anti-SMARCB1 Antibody (3I885) 可用于 FCM,IHC,WB。

Anti-SMARCB1 Antibody (3I885)

Anti-SMARCB1 Antibody (3I885)

一键复制产品信息
Rating icon 还可以
产品编号 TMAC-03816 别名 SWI/SNF-related matrix-associated actin-dependent regulator of chromatin subfamily B member 1, SNF5L1, SNF5 homolog (hSNF5), SMARCB1, Integrase interactor 1 protein, INI1, BRG1-associated factor 47 (BAF47), BAF47

Anti-SMARCB1 Antibody (3I885) 是一种 Rabbit 抗体,靶向 SMARCB1。Anti-SMARCB1 Antibody (3I885) 可用于 FCM,IHC,WB。

规格价格库存数量
50 μL
¥ 1,490
5日内发货
100 μL
¥ 2,495
5日内发货
大包装 & 定制
加入购物车
TargetMol 的所有产品仅用作科学研究或药证申报,不能被用于人体,我们不向个人提供产品和服务。请您遵守承诺用途,不得违反法律法规规定用于任何其他用途。
实验操作小课堂
常见问题解答
查看更多
联系我们获取更多批次信息
资源下载

产品介绍

生物活性
产品描述
Anti-SMARCB1 Antibody (3I885) is a Rabbit antibody targeting SMARCB1. Anti-SMARCB1 Antibody (3I885) can be used in FCM,IHC,WB.
别名SWI/SNF-related matrix-associated actin-dependent regulator of chromatin subfamily B member 1, SNF5L1, SNF5 homolog (hSNF5), SMARCB1, Integrase interactor 1 protein, INI1, BRG1-associated factor 47 (BAF47), BAF47
Ig Type
IgG
克隆号
3I885
交叉反应
Human,Mouse,Rat
验证活性
1. Western blot analysis of SNF5 on Daudi cell and mouse lymph node tissue lysates using anti-SNF5 antibody at 1/500 dilution.
2. Immunohistochemical analysis of paraffin-embedded rat kidney tissue using anti-SNF5 antibody. Counter stained with hematoxylin.
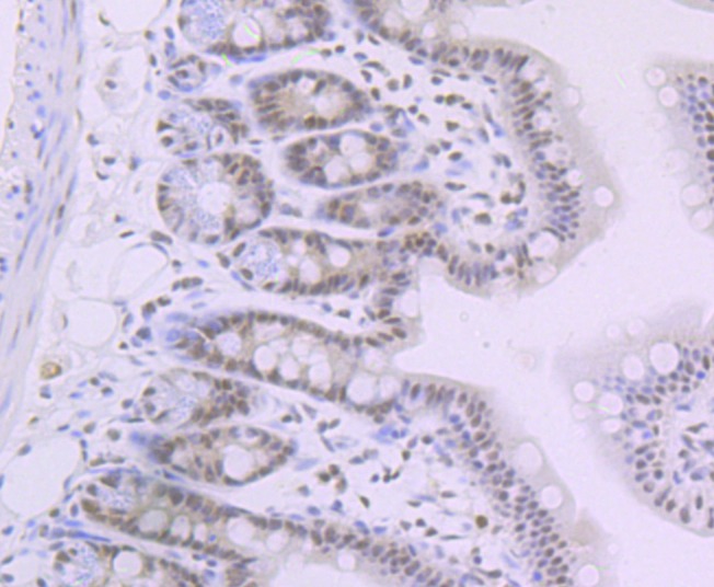
3. Immunohistochemical analysis of paraffin-embedded mouse colon tissue using anti-SNF5 antibody. Counter stained with hematoxylin.
4. Flow cytometric analysis of SH-SY-5Y cells with SNF5 antibody at 1/100 dilution (red) compared with an unlabelled control (cells without incubation with primary antibody; black). Alexa Fluor 488-conjugated goat anti-rabbit IgG was used as the secondary antibody.
verifiedActivityverifiedActivityverifiedActivityverifiedActivity
应用FCMIHCWB
推荐剂量
WB: 1:500-1000; IHC: 1:50-100; FCM: 1:50-100
抗体种类
Monoclonal
宿主来源Rabbit
构建方式Recombinant Antibody
纯化方式ProA affinity purified
性状Liquid
缓冲液1*TBS (pH7.4), 1%BSA, 40%Glycerol. Preservative: 0.05% Sodium Azide.
研究背景The SWI-SNF complex is involved in the activation of transcription via the remodeling of nucleosome structure in an ATP-dependent manner. Brm (also designated SNF2α) and Brg-1 (also designated SNF2β) are the ATPase subunits of the mammalian SWI-SNF complex. Brm, Brg-1, Ini1 (integrase interactor 1, also designated SNF5), BAF155 (also designated SRG3) and BAF170 are thought to comprise the functional core of the SWI-SNF complex. Addition of Ini1, BAF155 and BAF170 to Brg-1 appears to increase remodeling activity. Other complex subunits are thought to play regulatory roles. hSNF2L and hSNF2H both appear to be homologs of Drosophila ISWI, a Brm related ATPase that is present in chromatin remodeling complexes other than SWI/SNF, including the NURF (nucleosome remodeling factor).
偶联与修饰
偶联
Unconjugated
抗原信息
免疫原
A synthesized peptide: C terminal Human SNF5
抗原种属
human
Uniprot ID
化学信息
分子量Theoretical: 44 kDa.
存储&运输
储存方式Store at -20°C or -80°C for 12 months. Avoid repeated freeze-thaw cycles.
运输方式Shipping with blue ice.

计算器

  • 稀释 计算器

关键词

评论列表

4个月前
5.0
Rating icon 很棒

评论内容

Related Tags: buy Anti-SMARCB1 Antibody (3I885) | purchase Anti-SMARCB1 Antibody (3I885) | Anti-SMARCB1 Antibody (3I885) cost | order Anti-SMARCB1 Antibody (3I885) | Anti-SMARCB1 Antibody (3I885) molecular weight