购物车
  • 全部删除
  • TargetMol
    您的购物车当前为空

Anti-SMAD5 Antibody (9J928)

Rating icon 还可以
产品编号 TMAC-03799
别名 SMAD family member 5, SMAD 5, SMAD, SMA and MAD related protein 5, MusMLP, mothers against DPP homolog 5, Mothers against DPP homolog 5, mothers against decapentaplegic homolog 5, MADH5, MADH 5, MAD homolog 5, MAD, JV5 1, hSmad5, Dwfc, DKFZp781O1323, DKFZp781C1895

Anti-SMAD5 Antibody (9J928) 是一种 Rabbit 抗体,靶向 SMAD5。Anti-SMAD5 Antibody (9J928) 可用于 FCM,ICC,IHC,WB。

Anti-SMAD5 Antibody (9J928)

Anti-SMAD5 Antibody (9J928)

一键复制产品信息
Rating icon 还可以
产品编号 TMAC-03799 别名 SMAD family member 5, SMAD 5, SMAD, SMA and MAD related protein 5, MusMLP, mothers against DPP homolog 5, Mothers against DPP homolog 5, mothers against decapentaplegic homolog 5, MADH5, MADH 5, MAD homolog 5, MAD, JV5 1, hSmad5, Dwfc, DKFZp781O1323, DKFZp781C1895

Anti-SMAD5 Antibody (9J928) 是一种 Rabbit 抗体,靶向 SMAD5。Anti-SMAD5 Antibody (9J928) 可用于 FCM,ICC,IHC,WB。

规格价格库存数量
50 μL
¥ 1,495
5日内发货
100 μL
¥ 2,485
5日内发货
大包装 & 定制
加入购物车
TargetMol 的所有产品仅用作科学研究或药证申报,不能被用于人体,我们不向个人提供产品和服务。请您遵守承诺用途,不得违反法律法规规定用于任何其他用途。
实验操作小课堂
常见问题解答
查看更多
联系我们获取更多批次信息
资源下载

产品介绍

生物活性
产品描述
Anti-SMAD5 Antibody (9J928) is a Rabbit antibody targeting SMAD5. Anti-SMAD5 Antibody (9J928) can be used in FCM,ICC,IHC,WB.
别名SMAD family member 5, SMAD 5, SMAD, SMA and MAD related protein 5, MusMLP, mothers against DPP homolog 5, Mothers against DPP homolog 5, mothers against decapentaplegic homolog 5, MADH5, MADH 5, MAD homolog 5, MAD, JV5 1, hSmad5, Dwfc, DKFZp781O1323, DKFZp781C1895
Ig Type
IgG
克隆号
9J928
交叉反应
Human,Rat
验证活性
1. Western blot analysis of Smad5 on PC-3M cell lysates using anti-Smad5 antibody at 1/1,000 dilution.
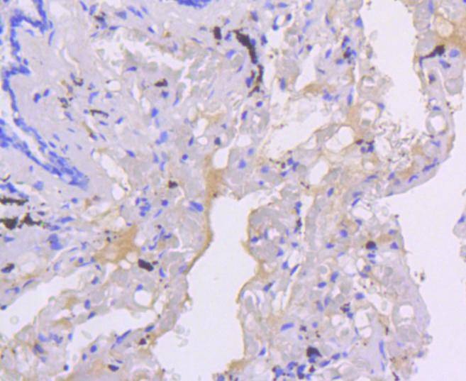
2. Immunohistochemical analysis of paraffin-embedded human lung tissue using anti-Smad5 antibody. Counter stained with hematoxylin.
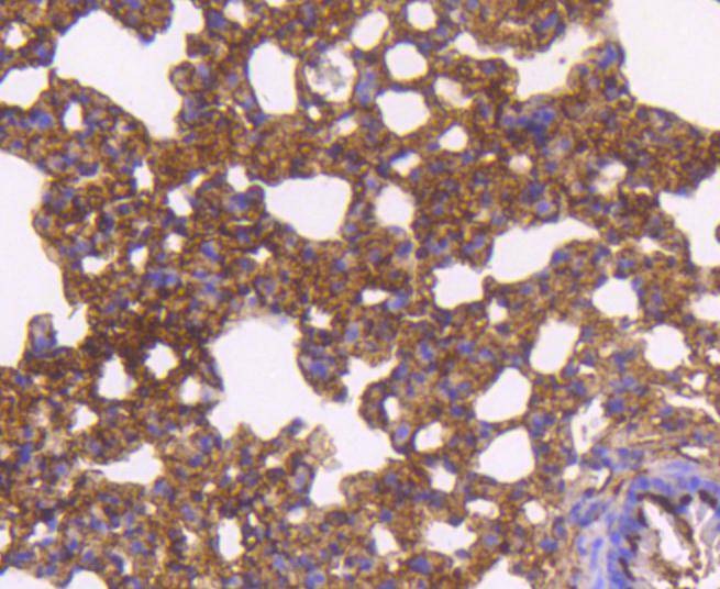
3. Immunohistochemical analysis of paraffin-embedded mouse lung tissue using anti-Smad5 antibody. Counter stained with hematoxylin.
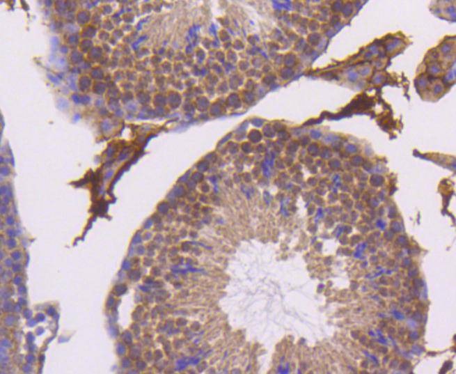
4. Immunohistochemical analysis of paraffin-embedded mouse testis tissue using anti-Smad5 antibody. Counter stained with hematoxylin.
5. ICC staining Smad5 in Hela cells (green). The nuclear counter stain is DAPI (blue). Cells were fixed in paraformaldehyde, permeabilised with 0.25% Triton X100/PBS.
6. ICC staining Smad5 in A549 cells (green). Cells were fixed in paraformaldehyde, permeabilised with 0.25% Triton X100/PBS.
7. ICC staining Smad5 in PC-3M cells (green). Cells were fixed in paraformaldehyde, permeabilised with 0.25% Triton X100/PBS.
8. Flow cytometric analysis of Hela cells with Smad5 antibody at 1/50 dilution (red) compared with an unlabelled control (cells without incubation with primary antibody; black). Alexa Fluor 488-conjugated goat anti rabbit IgG was used as the secondary antibody.
verifiedActivityverifiedActivityverifiedActivityverifiedActivityverifiedActivityverifiedActivityverifiedActivityverifiedActivity
应用FCMICCIHCWB
推荐剂量
WB: 1:1000-2000; IHC: 1:50-200; ICC: 1:50-200; FCM: 1:50-100
抗体种类
Monoclonal
宿主来源Rabbit
构建方式Recombinant Antibody
纯化方式ProA affinity purified
性状Liquid
缓冲液1*TBS (pH7.4), 1%BSA, 40%Glycerol. Preservative: 0.05% Sodium Azide.
研究背景Smad proteins, the mammalian homologs of the Drosophila Mothers against dpp (Mad) have been implicated as downstream effectors of TGFβ/BMP signaling. Smad1 (also designated Madr1 or JV4-1), Smad5 and mammalian Smad8 (also designated Smad9 or MADH6) are effectors of BMP2 and BMP4 function while Smad2 (also designated Madr2 or JV18-1) and Smad3 are involved in TGFβ and activin-mediated growth modulation. Smad4 (also designated DPC4) has been shown to mediate all of the above activities through interaction with various Smad family members. Smad6 and Smad7 regulate the response to activin/TGFβ signaling by interfering with TGFβ-mediated phosphorylation of other Smad family members.
偶联与修饰
偶联
Unconjugated
抗原信息
免疫原
Recombinant Protein
Uniprot ID
化学信息
分子量Theoretical: 52 kDa.
存储&运输
储存方式Store at -20°C or -80°C for 12 months. Avoid repeated freeze-thaw cycles.
运输方式Shipping with blue ice.

计算器

  • 稀释 计算器

评论列表

4个月前
5.0
Rating icon 很棒

评论内容

Related Tags: buy Anti-SMAD5 Antibody (9J928) | purchase Anti-SMAD5 Antibody (9J928) | Anti-SMAD5 Antibody (9J928) cost | order Anti-SMAD5 Antibody (9J928) | Anti-SMAD5 Antibody (9J928) molecular weight