购物车
  • TargetMol
    您的购物车当前为空

Anti-SMAD2 Antibody (4E515)

Synonyms: SMAD2, SMAD family member 2 (SMAD 2;Smad2;hSMAD2), Mothers against DPP homolog 2, Mothers against decapentaplegic homolog 2, Mad-related protein 2 (hMAD-2), MADR2, MADH2, MAD homolog 2, JV18-1
货号 TMAB-01737 一键复制产品信息
Rating icon 还可以
202603开学季活动

Anti-SMAD2 Antibody (4E515) 是一种 Rabbit 抗体,靶向 SMAD2。Anti-SMAD2 Antibody (4E515) 可用于 FCM,ICC/IF,IF,IHC-Fr,IHC-P,WB。

Anti-SMAD2 Antibody (4E515)

一键复制产品信息
Rating icon 还可以
202603开学季活动
货号 TMAB-01737

别名 SMAD2, SMAD family member 2 (SMAD 2;Smad2;hSMAD2), Mothers against DPP homolog 2, Mothers against decapentaplegic homolog 2, Mad-related protein 2 (hMAD-2), MADR2, MADH2, MAD homolog 2, JV18-1

Anti-SMAD2 Antibody (4E515) 是一种 Rabbit 抗体,靶向 SMAD2。Anti-SMAD2 Antibody (4E515) 可用于 FCM,ICC/IF,IF,IHC-Fr,IHC-P,WB。

Anti-SMAD2 Antibody (4E515)
规格价格库存数量
50 μL
¥ 1,380
5日内发货
100 μL
¥ 2,495
5日内发货
库存状态实时更新,以官网显示为准,现货产品可直接加购物车下单
大包装 & 定制
加入购物车

TargetMol的所有产品仅用作科学研究或药证申报,不能被用于人体,我们不向个人提供产品和服务。请您遵守承诺用途,不得违反法律法规规定用于任何其他用途。

实验操作小课堂
常见问题解答
查看更多

资源下载:产品操作手册

产品介绍


生物活性
产品描述
Anti-SMAD2 Antibody (4E515) is a Rabbit antibody targeting SMAD2. Anti-SMAD2 Antibody (4E515) can be used in FCM,ICC/IF,IF,IHC-Fr,IHC-P,WB.
别名
SMAD2, SMAD family member 2 (SMAD 2;Smad2;hSMAD2), Mothers against DPP homolog 2, Mothers against decapentaplegic homolog 2, Mad-related protein 2 (hMAD-2), MADR2, MADH2, MAD homolog 2, JV18-1
Ig Type
IgG
克隆号
4E515
反应种属
Human,Mouse,Rat
验证活性
1. Blank control: A431. Primary Antibody (green line): Rabbit Anti-Smad2 antibody (TMAB-01737)
Dilution: 1 μg/10^6 cells;
Isotype Control Antibody (orange line): Rabbit IgG.
Secondary Antibody: Goat anti-rabbit IgG-AF488
Dilution: 1 μg/test.
Protocol
The cells were fixed with 4% PFA (10 min at room temperature) and then permeabilized with 90% ice-cold methanol for 20 min at-20°C. The cells were then incubated in 5% BSA to block non-specific protein-protein interactions for 30 min at at room temperature. Cells stained with Primary Antibody for 30 min at room temperature. The secondary antibody used for 40 min at room temperature.
2. The Hela (H) cells were fixed with 4% PFA (10 min at room temperature) and then permeabilized with 90% ice-cold methanol for 20 min at-20°C,the cells then were incubated in 5% BSA to block non-specific protein-protein interactions (30 min at room temperature). Primary Antibody (green): Rabbit Anti-Smad2 antibody (TMAB-01737): 1 μg/10^6 cells; Secondary Antibody (white blue): Goat anti-Rabbit IgG-FITC: 1 μg/test. Isotype Control (orange): Rabbit IgG. Blank control (black): PBS.
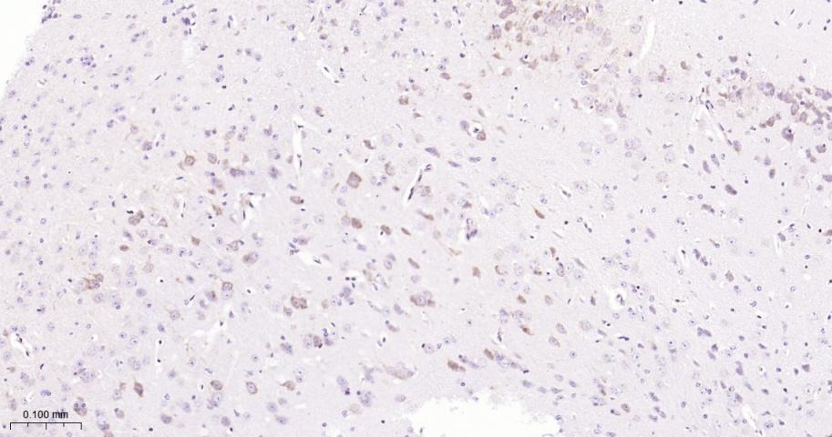
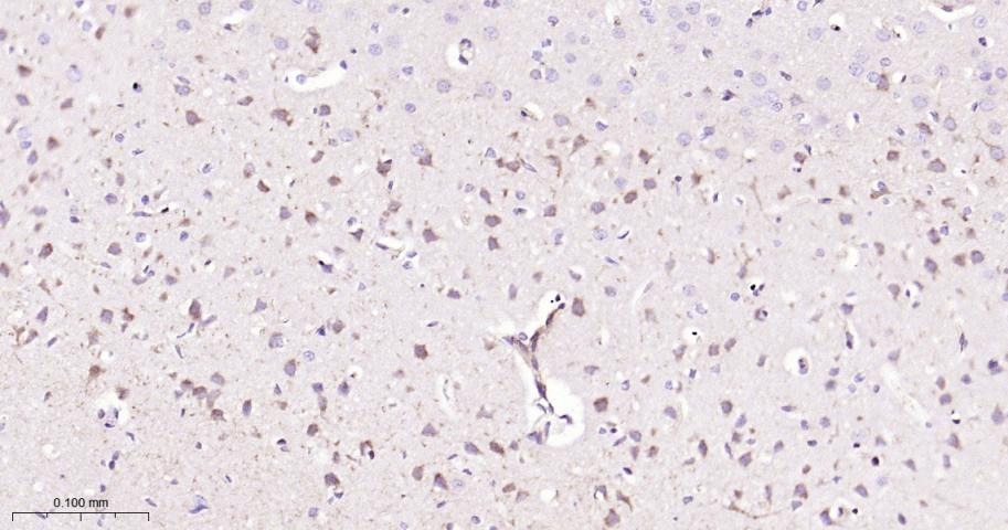
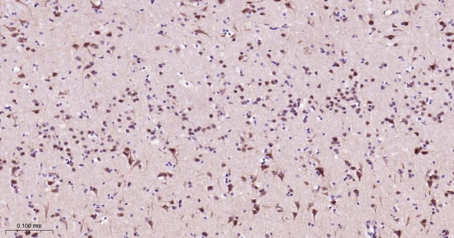
3. Paraformaldehyde-fixed, paraffin embedded Mouse Cerebrum; Antigen retrieval by boiling in sodium citrate buffer (pH6.0) for 15 min; Antibody incubation with Smad2 Monoclonal Antibody, Unconjugated (TMAB-01737) at 1:200 overnight at 4°C, followed by conjugation to the secondary antibody and DAB staining.
4. Paraformaldehyde-fixed, paraffin embedded Rat Cerebrum; Antigen retrieval by boiling in sodium citrate buffer (pH6.0) for 15 min; Antibody incubation with Smad2 Monoclonal Antibody, Unconjugated (TMAB-01737) at 1:200 overnight at 4°C, followed by conjugation to the secondary antibody and DAB staining.
5. Paraformaldehyde-fixed, paraffin embedded Human Cerebrum; Antigen retrieval by boiling in sodium citrate buffer (pH6.0) for 15 min; Antibody incubation with Smad2 Monoclonal Antibody, Unconjugated (TMAB-01737) at 1:200 overnight at 4°C, followed by conjugation to the secondary antibody and DAB staining.
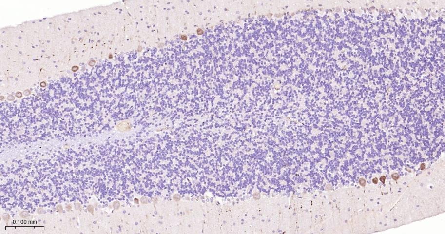
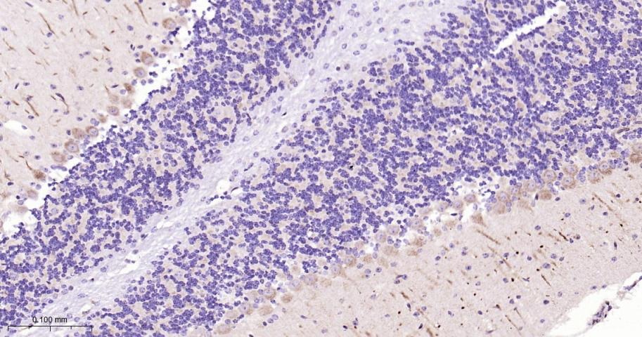
6. Paraformaldehyde-fixed, paraffin embedded Mouse Cerebellum; Antigen retrieval by boiling in sodium citrate buffer (pH6.0) for 15 min; Antibody incubation with Smad2 Monoclonal Antibody, Unconjugated (TMAB-01737) at 1:200 overnight at 4°C, followed by conjugation to the secondary antibody and DAB staining.
7. Paraformaldehyde-fixed, paraffin embedded Rat Cerebellum; Antigen retrieval by boiling in sodium citrate buffer (pH6.0) for 15 min; Antibody incubation with Smad2 Monoclonal Antibody, Unconjugated (TMAB-01737) at 1:200 overnight at 4°C, followed by conjugation to the secondary antibody and DAB staining.
8. 25 μg total protein per Lane of various lysates probed with Smad2 monoclonal antibody, unconjugated (TMAB-01737) at 1:1000 dilution and 4°C overnight incubation. Followed by conjugated secondary antibody incubation at RT for 60 min.
9. 25 μg total protein per Lane of various lysates probed with SMAD2 monoclonal antibody, unconjugated (TMAB-01737) at 1:1000 dilution and 4°C overnight incubation. Followed by conjugated secondary antibody incubation at RT for 60 min.
verifiedActivityverifiedActivityverifiedActivityverifiedActivityverifiedActivityverifiedActivityverifiedActivityverifiedActivityverifiedActivity
应用FCMICC/IFIFIHC-FrIHC-PWB
推荐剂量
WB: 1:500-2000; IHC-P: 1:50-200; IHC-Fr: 1:50-200; ICC/IF: 1:50-200; IF: 1:50-200; FCM: 1ug/Test
抗体种类
Monoclonal
宿主来源Rabbit
亚细胞定位Cytoplasm. Nucleus. Note=Cytoplasmic and nuclear in the absence of TGF-beta. On TGF-beta stimulation, migrates to the nucleus when complexed with SMAD4. On dephosphorylation by phosphatase PPM1A, released from the SMAD2/SMAD4 complex, and exported out of the nucleus by interaction with RANBP1.
组织特异性Expressed at high levels in skeletal muscle, heart and placenta.
构建方式Recombinant Antibody
纯化方式Protein A purified
性状Liquid
缓冲液0.01M TBS (pH7.4) with 1% BSA, 0.02% Proclin300 and 50% Glycerol.
浓度1 mg/mL
研究背景The protein encoded by this gene belongs to the SMAD, a family of proteins similar to the gene products of the Drosophila gene 'mothers against decapentaplegic' (Mad) and the C. elegans gene Sma. SMAD proteins are signal transducers and transcriptional modulators that mediate multiple signaling pathways. This protein mediates the signal of the transforming growth factor (TGF)-beta, and thus regulates multiple cellular processes, such as cell proliferation, apoptosis, and differentiation. This protein is recruited to the TGF-beta receptors through its interaction with the SMAD anchor for receptor activation (SARA) protein. In response to TGF-beta signal, this protein is phosphorylated by the TGF-beta receptors. The phosphorylation induces the dissociation of this protein with SARA and the association with the family member SMAD4. The association with SMAD4 is important for the translocation of this protein into the nucleus, where it binds to target promoters and forms a transcription repressor complex with other cofactors. This protein can also be phosphorylated by activin type 1 receptor kinase, and mediates the signal from the activin. Alternatively spliced transcript variants have been observed for this gene. [provided by RefSeq, May 2012]
抗原信息
免疫原
A synthesized peptide: human SMAD2
抗原种属
Human
基因名称
SMAD2
基因ID
蛋白名称
Mothers against decapentaplegic homolog 2
Uniprot ID
研究领域
TGF,SMADs,SMADs,Cytoplasmic
功能
Receptor-regulated SMAD (R-SMAD) that is an intracellular signal transducer and transcriptional modulator activated by TGF-beta (transforming growth factor) and activin type 1 receptor kinases. Binds the TRE element in the promoter region of many genes that are regulated by TGF-beta and, on formation of the SMAD2/SMAD4 complex, activates transcription. May act as a tumor suppressor in colorectal carcinoma. Positively regulates PDPK1 kinase activity by stimulating its dissociation from the 14-3-3 protein YWHAQ which acts as a negative regulator.
化学信息
分子量Theoretical: 52 kDa. Actual: 60 kDa.
储存&溶解度
储存方式Store at -20°C or -80°C for 12 months. Avoid repeated freeze-thaw cycles.
运输方式Shipping with blue ice.

计算器

  • 稀释 计算器
  • 配液 计算器
Related Tags: buy Anti-SMAD2 Antibody (4E515) | purchase Anti-SMAD2 Antibody (4E515) | Anti-SMAD2 Antibody (4E515) cost | order Anti-SMAD2 Antibody (4E515) | Anti-SMAD2 Antibody (4E515) molecular weight