购物车
  • TargetMol
    您的购物车当前为空

Anti-SMAD2 Antibody (4E423)

Synonyms: SMAD2, MADR2, MADH2, LDS6, JV18-1, JV18, hSMAD2, hMAD-2, CHTD8
货号 TMAC-03786 一键复制产品信息
Rating icon 还可以
202603开学季活动

Anti-SMAD2 Antibody (4E423) 是一种 Rabbit 抗体,靶向 SMAD2。Anti-SMAD2 Antibody (4E423) 可用于 FCM,ICC,IHC,IP,WB。

Anti-SMAD2 Antibody (4E423)

一键复制产品信息
Rating icon 还可以
202603开学季活动
货号 TMAC-03786

别名 SMAD2, MADR2, MADH2, LDS6, JV18-1, JV18, hSMAD2, hMAD-2, CHTD8

Anti-SMAD2 Antibody (4E423) 是一种 Rabbit 抗体,靶向 SMAD2。Anti-SMAD2 Antibody (4E423) 可用于 FCM,ICC,IHC,IP,WB。

Anti-SMAD2 Antibody (4E423)
规格价格库存数量
50 μL
¥ 1,495
5日内发货
100 μL
¥ 2,490
5日内发货
库存状态实时更新,以官网显示为准,现货产品可直接加购物车下单
大包装 & 定制
加入购物车

TargetMol的所有产品仅用作科学研究或药证申报,不能被用于人体,我们不向个人提供产品和服务。请您遵守承诺用途,不得违反法律法规规定用于任何其他用途。

实验操作小课堂
常见问题解答
查看更多

资源下载:产品操作手册

产品介绍


生物活性
产品描述
Anti-SMAD2 Antibody (4E423) is a Rabbit antibody targeting SMAD2. Anti-SMAD2 Antibody (4E423) can be used in FCM,ICC,IHC,IP,WB.
别名
SMAD2, MADR2, MADH2, LDS6, JV18-1, JV18, hSMAD2, hMAD-2, CHTD8
Ig Type
IgG
克隆号
4E423
反应种属
Human,Mouse,Rat
验证活性
1. Western blot analysis of Smad2 on different lysates using anti-Smad2 antibody at 1/1,000 dilution. Positive control: Lane 1: Hela, Lane 2: A431, Lane 3: PC12.
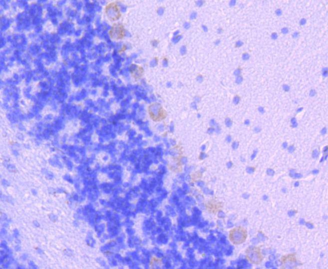
2. Immunohistochemical analysis of paraffin-embedded rat cerebellum tissue using anti-Smad2 antibody. Counter stained with hematoxylin.
3. ICC staining Smad2 in Hela cells (green). The nuclear counter stain is DAPI (blue). Cells were fixed in paraformaldehyde, permeabilised with 0.25% Triton X100/PBS.
4. ICC staining Smad2 in HepG2 cells (green). The nuclear counter stain is DAPI (blue). Cells were fixed in paraformaldehyde, permeabilised with 0.25% Triton X100/PBS.
5. ICC staining Smad2 in NIH/3T3 cells (green). The nuclear counter stain is DAPI (blue). Cells were fixed in paraformaldehyde, permeabilised with 0.25% Triton X100/PBS.
6. Flow cytometric analysis of NIH/3T3 cells with Smad2 antibody at 1/50 dilution (red) compared with an unlabelled control (cells without incubation with primary antibody; black). Alexa Fluor 488-conjugated goat anti rabbit IgG was used as the secondary antibody.
verifiedActivityverifiedActivityverifiedActivityverifiedActivityverifiedActivityverifiedActivity
应用FCMICCIHCIPWB
推荐剂量
WB: 1:1000-2000; IHC: 1:50-200; ICC: 1:50-200; FCM: 1:50-100
抗体种类
Monoclonal
宿主来源Rabbit
构建方式Recombinant Antibody
纯化方式ProA affinity purified
性状Liquid
缓冲液1*TBS (pH7.4), 1%BSA, 40%Glycerol. Preservative: 0.05% Sodium Azide.
研究背景Smad proteins, the mammalian homologs of the Drosophila mothers against decapentaplegic (Mad), have been implicated as downstream effectors of TGFβ/BMP signaling. Smad1 (also designated Madr1 or JV4-1) and Smad5 are effectors of BMP-2 and BMP-4 function, while Smad2 (also designated Madr2 or JV18-1) and Smad3 are involved in TGFβ and Activin-mediated growth modulation. Smad4 (also designated DPC4) has been shown to mediate all of the above activities through interaction with various Smad family members. Smad6 and Smad7 regulate the response to Activin/TGFβ signaling by interfering with TGFβ-mediated phosphorylation of other Smad proteins.
偶联与修饰
偶联
Unconjugated
抗原信息
免疫原
Recombinant Protein
Uniprot ID
化学信息
分子量Theoretical: 58 kDa.
储存&溶解度
储存方式Store at -20°C or -80°C for 12 months. Avoid repeated freeze-thaw cycles.
运输方式Shipping with blue ice.

计算器

  • 稀释 计算器
  • 配液 计算器
Related Tags: buy Anti-SMAD2 Antibody (4E423) | purchase Anti-SMAD2 Antibody (4E423) | Anti-SMAD2 Antibody (4E423) cost | order Anti-SMAD2 Antibody (4E423) | Anti-SMAD2 Antibody (4E423) molecular weight