购物车
  • TargetMol
    您的购物车当前为空

Anti-SLC16A1 Polyclonal Antibody

一键复制产品信息
Rating icon 还可以
货号 TMAB-01702

别名 Solute carrier family 16 member 1, Monocarboxylate transporter 1, MCT1, MCT 1

Anti-SLC16A1 Polyclonal Antibody 是一种 Rabbit 抗体,靶向 SLC16A1。Anti-SLC16A1 Polyclonal Antibody 可用于 FCM,IF,IHC-Fr,IHC-P,WB。

Anti-SLC16A1 Polyclonal Antibody

Anti-SLC16A1 Polyclonal Antibody

一键复制产品信息
Rating icon 还可以
货号 TMAB-01702 别名 Solute carrier family 16 member 1, Monocarboxylate transporter 1, MCT1, MCT 1

Anti-SLC16A1 Polyclonal Antibody 是一种 Rabbit 抗体,靶向 SLC16A1。Anti-SLC16A1 Polyclonal Antibody 可用于 FCM,IF,IHC-Fr,IHC-P,WB。

规格价格库存数量
50 μL
¥ 1,160
5日内发货
100 μL
¥ 1,960
5日内发货
200 μL
¥ 2,780
5日内发货
库存状态实时更新,以官网显示为准,现货产品可直接加购物车下单
大包装 & 定制
加入购物车
TargetMol的所有产品仅用作科学研究或药证申报,不能被用于人体,我们不向个人提供产品和服务。请您遵守承诺用途,不得违反法律法规规定用于任何其他用途。
实验操作小课堂
常见问题解答
查看更多
资源下载:

产品介绍


生物活性
产品描述
Anti-SLC16A1 Polyclonal Antibody is a Rabbit antibody targeting SLC16A1. Anti-SLC16A1 Polyclonal Antibody can be used in FCM,IF,IHC-Fr,IHC-P,WB.
别名Solute carrier family 16 member 1, Monocarboxylate transporter 1, MCT1, MCT 1
Ig Type
IgG
反应种属
Human,Mouse,Rat (predicted:Dog,Pig,Cow,Horse,Rabbit,GuineaPig)
验证活性
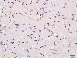
1. Paraformaldehyde-fixed, paraffin embedded (rat brain); Antigen retrieval by boiling in sodium citrate buffer (pH6.0) for 15 min; Block endogenous peroxidase by 3% hydrogen peroxide for 20 min; Blocking buffer (normal goat serum) at 37°C for 30 min; Antibody incubation with (MCT1) Polyclonal Antibody, Unconjugated (TMAB-01702) at 1:400 overnight at 4°C, followed by operating according to SP Kit (Rabbit) instructionsand DAB staining.
2. Blank control: MCF7 Cells (blue). Primary Antibody: Rabbit Anti-MCT1/AF647 Conjugated antibody (TMAB-01702-AF647), Dilution: 1 μg in 100 μL 1X PBS containing 0.5% BSA; Isotype Control Antibody: Rabbit IgG/FITC (orange),used under the same conditions.
3. Sample: HepG2 (Human) cell Lysate at 40 μg
Primary: Anti-MCT1 (TMAB-01702) at 1/300 dilution
Secondary: IRDye800CW Goat Anti-RabbitIgG at 1/20000 dilution
Predicted band size: 55 kDa
Observed band size: 55 kDa
4. Sample:
Lane 1: Liver (Mouse) Lysate at 40 μg
Lane 2: Stomach (Mouse) Lysate at 40 μg
Lane 3: Heart (Mouse) Lysate at 40 μg
Lane 4: Liver (Rat) Lysate at 40 μg
Lane 5: Stomach (Rat) Lysate at 40 μg
Lane 6: Heart (Rat) Lysate at 40 μg
Primary: Anti-MCT1 (TMAB-01702) at 1/1000 dilution
Secondary: IRDye800CW Goat Anti-Rabbit IgG at 1/20000 dilution
Predicted band size: 48 kDa
Observed band size: 48 kDa
5. Blank control: K562. Primary Antibody (green line): Rabbit Anti-MCT1 antibody (TMAB-01702)
Dilution: 1 μg/10^6 cells;
Isotype Control Antibody (orange line): Rabbit IgG.
Secondary Antibody: Goat anti-rabbit IgG-FITC
Dilution: 0.5 μg/test.
Protocol
The cells were incubated in 5% BSA to block non-specific protein-protein interactions for 30 min at room temperature. Cells stained with Primary Antibody for 30 min at room temperature. The secondary antibody used for 40 min at room temperature.
verifiedActivityverifiedActivityverifiedActivityverifiedActivityverifiedActivity
应用FCMIFIHC-FrIHC-PWB
推荐剂量
WB: 1:500-2000; IHC-P: 1:100-500; IHC-Fr: 1:100-500; IF: 1:100-500; FCM: 1μg/Test
抗体种类
Polyclonal
宿主来源Rabbit
亚细胞定位Cell membrane; Multi-pass membrane protein.
组织特异性Widely expressed in normal and in cancer cells.
构建方式Polyclonal Antibody
纯化方式Protein A purified
性状Liquid
缓冲液0.01M TBS (pH7.4) with 1% BSA, 0.02% Proclin300 and 50% Glycerol.
浓度1 mg/mL
研究背景The protein encoded by this gene is a proton-linked monocarboxylate transporter that catalyzes the movement of many monocarboxylates, such as lactate and pyruvate, across the plasma membrane. Mutations in this gene are associated with erythrocyte lactate transporter defect. Alternatively spliced transcript variants have been found for this gene.[provided by RefSeq, Oct 2009]
抗原信息
免疫原
KLH conjugated synthetic peptide: human MCT1
抗原种属
Human
基因名称
SLC16A1
基因ID
蛋白名称
Monocarboxylate transporter 1
Uniprot ID
功能
Proton-linked monocarboxylate transporter. Catalyzes the rapid transport across the plasma membrane of many monocarboxylates such as lactate, pyruvate, branched-chain oxo acids derived from leucine, valine and isoleucine, and the ketone bodies acetoacetate, beta-hydroxybutyrate and acetate.
化学信息
分子量Theoretical: 55 kDa.
储存&溶解度
储存方式Store at -20°C or -80°C for 12 months. Avoid repeated freeze-thaw cycles.
运输方式Shipping with blue ice.

计算器

  • 稀释 计算器
  • 配液 计算器
Related Tags: buy Anti-SLC16A1 Polyclonal Antibody | purchase Anti-SLC16A1 Polyclonal Antibody | Anti-SLC16A1 Polyclonal Antibody cost | order Anti-SLC16A1 Polyclonal Antibody | Anti-SLC16A1 Polyclonal Antibody molecular weight