购物车
  • TargetMol
    您的购物车当前为空

Anti-SK2 Antibody (4K957)

Synonyms: Sulfurylase kinase 2, SK 2, PHOSPHOADENOSINE-PHOSPHOSULFATE SYNTHETASE 2, PAPSS 2, PAPS synthetase 2, PAPS synthase 2, Bifunctional 3' phosphoadenosine 5' phosphosulfate synthethase 2, Bifunctional 3' phosphoadenosine 5' phosphosulfate synthase 2, ATPSK2, ATP sulfurylase/APS kinase 2, ATP SULFURYLASE/ADENOSINE 5-PRIME PHOSPHOSULFATE KINASE 2, ATP sulfurylase/adenosine 5' phosphosulfate kinase, 3 prime phosphoadenosine 5 prime phosphosulfate synthase 2, 3' phosphoadenosine 5' phosphosulfate synthase 2
货号 TMAC-03766 一键复制产品信息
Rating icon 还可以
202603开学季活动

Anti-SK2 Antibody (4K957) 是一种 Mouse 抗体,靶向 SK2。Anti-SK2 Antibody (4K957) 可用于 FCM,ICC,IHC。

Anti-SK2 Antibody (4K957)

一键复制产品信息
Rating icon 还可以
202603开学季活动
货号 TMAC-03766

别名 Sulfurylase kinase 2, SK 2, PHOSPHOADENOSINE-PHOSPHOSULFATE SYNTHETASE 2, PAPSS 2, PAPS synthetase 2, PAPS synthase 2, Bifunctional 3' phosphoadenosine 5' phosphosulfate synthethase 2, Bifunctional 3' phosphoadenosine 5' phosphosulfate synthase 2, ATPSK2, ATP sulfurylase/APS kinase 2, ATP SULFURYLASE/ADENOSINE 5-PRIME PHOSPHOSULFATE KINASE 2, ATP sulfurylase/adenosine 5' phosphosulfate kinase, 3 prime phosphoadenosine 5 prime phosphosulfate synthase 2, 3' phosphoadenosine 5' phosphosulfate synthase 2

Anti-SK2 Antibody (4K957) 是一种 Mouse 抗体,靶向 SK2。Anti-SK2 Antibody (4K957) 可用于 FCM,ICC,IHC。

Anti-SK2 Antibody (4K957)
规格价格库存数量
50 μL
¥ 1,995
5日内发货
100 μL
¥ 2,980
5日内发货
库存状态实时更新,以官网显示为准,现货产品可直接加购物车下单
大包装 & 定制
加入购物车

TargetMol的所有产品仅用作科学研究或药证申报,不能被用于人体,我们不向个人提供产品和服务。请您遵守承诺用途,不得违反法律法规规定用于任何其他用途。

实验操作小课堂
常见问题解答
查看更多

资源下载:产品操作手册

产品介绍


生物活性
产品描述
Anti-SK2 Antibody (4K957) is a Mouse antibody targeting SK2. Anti-SK2 Antibody (4K957) can be used in FCM,ICC,IHC.
别名
Sulfurylase kinase 2, SK 2, PHOSPHOADENOSINE-PHOSPHOSULFATE SYNTHETASE 2, PAPSS 2, PAPS synthetase 2, PAPS synthase 2, Bifunctional 3' phosphoadenosine 5' phosphosulfate synthethase 2, Bifunctional 3' phosphoadenosine 5' phosphosulfate synthase 2, ATPSK2, ATP sulfurylase/APS kinase 2, ATP SULFURYLASE/ADENOSINE 5-PRIME PHOSPHOSULFATE KINASE 2, ATP sulfurylase/adenosine 5' phosphosulfate kinase, 3 prime phosphoadenosine 5 prime phosphosulfate synthase 2, 3' phosphoadenosine 5' phosphosulfate synthase 2
克隆号
4K957
反应种属
Human
验证活性
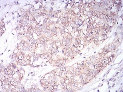
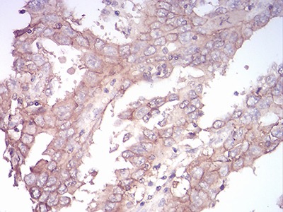
1. Immunohistochemical analysis of paraffin-embedded human bladder cancer tissue using anti- SPHK2 antibody. Counter stained with hematoxylin.
2. Immunohistochemical analysis of paraffin-embedded human endometrial cancer tissue using anti- SPHK2 antibody. Counter stained with hematoxylin.
3. ICC staining SPHK2 (green) and Actin filaments (red) in Hela cells. The nuclear counter stain is DAPI (blue). Cells were fixed in paraformaldehyde, permeabilised with 0.25% Triton X100/PBS.
4. Flow cytometric analysis of Hela cells with SPHK2 antibody at 1/100 dilution (green) compared with an unlabelled control (cells without incubation with primary antibody; red).
verifiedActivityverifiedActivityverifiedActivityverifiedActivity
应用FCMICCIHC
推荐剂量
IHC: 1:200-1000; ICC: 1:200-1000; FCM: 1:50-100
抗体种类
Monoclonal
宿主来源Mouse
构建方式Hybridoma Monoclonal Antibody
纯化方式ProA affinity purified
性状Liquid
缓冲液1*TBS (pH7.4), 1%BSA, 40%Glycerol. Preservative: 0.05% Sodium Azide.
研究背景This gene encodes one of two sphingosine kinase isozymes that catalyze the phosphorylation of sphingosine into sphingosine 1-phosphate. Sphingosine 1-phosphate mediates many cellular processes including migration, proliferation and apoptosis, and also plays a role in several types of cancer by promoting angiogenesis and tumorigenesis. The encoded protein may play a role in breast cancer proliferation and chemoresistance. Alternatively spliced transcript variants encoding multiple isoforms have been observed for this gene.
偶联与修饰
偶联
Unconjugated
抗原信息
免疫原
Recombinant Protein
Uniprot ID
化学信息
分子量Theoretical: 69 kDa.
储存&溶解度
储存方式Store at -20°C or -80°C for 12 months. Avoid repeated freeze-thaw cycles.
运输方式Shipping with blue ice.

计算器

  • 稀释 计算器
  • 配液 计算器
Related Tags: buy Anti-SK2 Antibody (4K957) | purchase Anti-SK2 Antibody (4K957) | Anti-SK2 Antibody (4K957) cost | order Anti-SK2 Antibody (4K957) | Anti-SK2 Antibody (4K957) molecular weight