购物车
  • TargetMol
    您的购物车当前为空

Anti-SIRT1 Polyclonal Antibody 2

Synonyms: sirtuin 1, SIR2L1
货号 TMAB-01691 一键复制产品信息
Rating icon 还可以

Anti-SIRT1 Polyclonal Antibody 2 是一种 Rabbit 抗体,靶向 SIRT1。Anti-SIRT1 Polyclonal Antibody 2 可用于 FCM,IF,IHC-Fr,IHC-P,WB。

Anti-SIRT1 Polyclonal Antibody 2

一键复制产品信息
Rating icon 还可以
货号 TMAB-01691

别名 sirtuin 1, SIR2L1

Anti-SIRT1 Polyclonal Antibody 2 是一种 Rabbit 抗体,靶向 SIRT1。Anti-SIRT1 Polyclonal Antibody 2 可用于 FCM,IF,IHC-Fr,IHC-P,WB。

Anti-SIRT1 Polyclonal Antibody 2
规格价格库存数量
50 μL
¥ 1,165
5日内发货
100 μL
¥ 1,975
5日内发货
200 μL
¥ 2,790
5日内发货
库存状态实时更新,以官网显示为准,现货产品可直接加购物车下单
大包装 & 定制
加入购物车
TargetMol的所有产品仅用作科学研究或药证申报,不能被用于人体,我们不向个人提供产品和服务。请您遵守承诺用途,不得违反法律法规规定用于任何其他用途。
实验操作小课堂
常见问题解答
查看更多

资源下载:产品操作手册

产品介绍


生物活性
产品描述
Anti-SIRT1 Polyclonal Antibody 2 is a Rabbit antibody targeting SIRT1. Anti-SIRT1 Polyclonal Antibody 2 can be used in FCM,IF,IHC-Fr,IHC-P,WB.
别名sirtuin 1, SIR2L1
Ig Type
IgG
反应种属
Human,Mouse (predicted:Dog,Pig,Horse,Rabbit)
验证活性
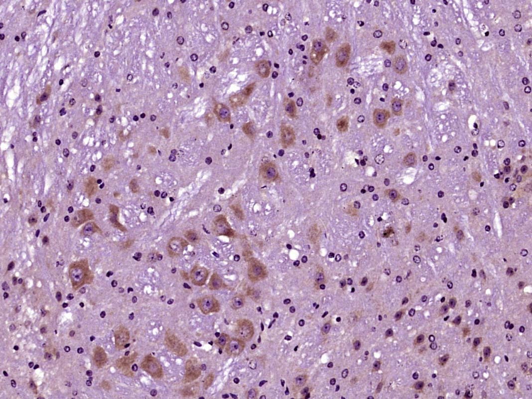
1. Tissue/cell: human glioma tissue; 4% Paraformaldehyde-fixed and paraffin-embedded;
Antigen retrieval: citrate buffer (0.01M, pH6.0), Boiling bathing for 15 min; Block endogenous peroxidase by 3% Hydrogen peroxide for 30 min; Blocking buffer (normal goat serum) at 37°C for 20 min;
Incubation: Anti-SIRT1/sirtuin 1 Polyclonal Antibody, Unconjugated (TMAB-01691) 1:200, overnight at 4°C, followed by conjugation to the secondary antibody and DAb staining.
2. Sample:
Lane 1: Hela (Human) Cell Lysate at 30 μg
Lane 2: NIH/3T3 (Mouse) Cell Lysate at 30 μg
Lane 3: HepG2 (Human) Cell Lysate at 30 μg
Lane 4: 293T (Human) Cell Lysate at 30 μg
Lane 5: Testis (Mouse) Lysate at 40 μg
Primary: Anti-SIRT1 (TMAB-01691) at 1/1000 dilution
Secondary: IRDye800CW Goat Anti-Rabbit IgG at 1/20000 dilution
Predicted band size: 116/95 kDa
Observed band size: 116 kDa
3. Blank control: HL-60. Primary Antibody (green line): Rabbit Anti-SIRT1 antibody (TMAB-01691)
Dilution: 1 μg/10^6 cells;
Isotype Control Antibody (orange line): Rabbit IgG.
Secondary Antibody: Goat anti-rabbit IgG-AF488
Dilution: 1 μg/test.
Protocol
The cells were fixed with 4% PFA (10 min at room temperature) and then permeabilized with 0.1% PBST for 20 min at room temperature. The cells were then incubated in 5% BSA to block non-specific protein-protein interactions for 30 min at room temperature. Cells stained with Primary Antibody for 30 min at room temperature. The secondary antibody used for 40 min at room temperature.
4. Sample:
U937 (Human) Cell Lysate at 30 μg
HL-60 (Human) Cell Lysate at 30 μg
Primary: Anti-SIRT1 (TMAB-01691) at 1/1000 dilution
Secondary: IRDye800CW Goat Anti-Rabbit IgG at 1/20000 dilution
Predicted band size: 81 kDa
Observed band size: 120 kDa
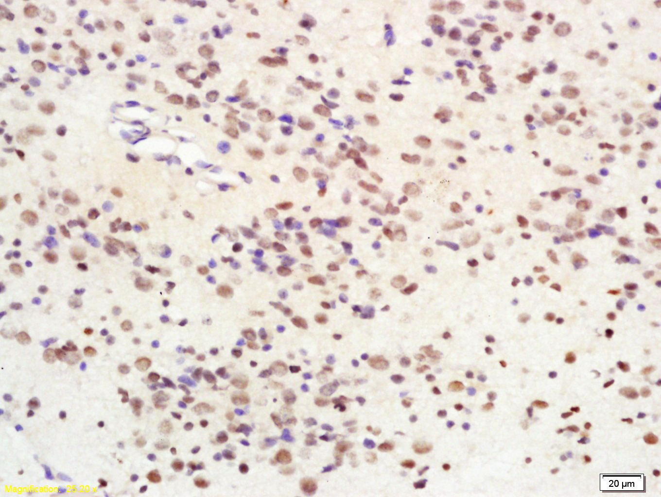
5. Paraformaldehyde-fixed, paraffin embedded (Mouse brain); Antigen retrieval by boiling in sodium citrate buffer (pH6.0) for 15 min; Block endogenous peroxidase by 3% hydrogen peroxide for 20 min; Blocking buffer (normal goat serum) at 37°C for 30 min; Antibody incubation with (SIRT1) Polyclonal Antibody, Unconjugated (TMAB-01691) at 1:400 overnight at 4°C, followed by operating according to SP Kit (Rabbit) instructionsand DAB staining.
verifiedActivityverifiedActivityverifiedActivityverifiedActivityverifiedActivity
应用FCMIFIHC-FrIHC-PWB
推荐剂量
WB: 1:500-2000; IHC-P: 1:100-500; IHC-Fr: 1:100-500; IF: 1:100-500; FCM: 1ug/Test
抗体种类
Polyclonal
宿主来源Rabbit
亚细胞定位Nucleus, PML body. Cytoplasm. Note=Recruited to the nuclear bodies via its interaction with PML. Colocalized with APEX1 in the nucleus. May be found in nucleolus, nuclear euchromatin, heterochromatin and inner membrane. Shuttles between nucleus and cytoplasm.SirtT1 75 kDa fragment: Cytoplasm. Mitochondrion.
组织特异性Widely expressed.
构建方式Polyclonal Antibody
纯化方式Protein A purified
性状Liquid
缓冲液0.01M TBS (pH7.4) with 1% BSA, 0.02% Proclin300 and 50% Glycerol.
浓度1 mg/mL
研究背景This gene encodes a member of the sirtuin family of proteins, homologs to the yeast Sir2 protein. Members of the sirtuin family are characterized by a sirtuin core domain and grouped into four classes. The functions of human sirtuins have not yet been determined; however, yeast sirtuin proteins are known to regulate epigenetic gene silencing and suppress recombination of rDNA. Studies suggest that the human sirtuins may function as intracellular regulatory proteins with mono-ADP-ribosyltransferase activity. The protein encoded by this gene is included in class I of the sirtuin family. Alternative splicing results in multiple transcript variants. Function : SirtT1 75 kDa fragment: catalytically inactive 75SirT1 may be involved in regulation of apoptosis. May be involved in protecting chondrocytes from apoptotic death by associating with cytochrome C and interfering with apoptosome assembly. Subunit : Found in a complex with PCAF and MYOD1. Component of the eNoSC complex, composed of SIRT1, SUV39H1 and RRP8. Interacts with HES1, HEY2 and PML. Interacts with RPS19BP1/AROS. Interacts with KIAA1967/DBC1 (via N-terminus); the interaction disrupts the interaction between SIRT1 and p53/TP53. Interacts with SETD7; the interaction induces the dissociation of SIRT1 from p53/TP53 and increases p53/TP53 activity. Interacts with MYCN, NR1I2, CREBZF, TSC2, TLE1, FOS, JUN, NR0B2, PPARG, NCOR, IRS1, IRS2 and NMNAT1. Interacts with HNF1A; the interaction occurs under nutrient restriction. Interacts with SUZ12; the interaction mediates the association with the PRC4 histone methylation complex which is specific as an association with PCR2 and PCR3 complex variants is not found. Interacts with HIV-1 tat. Subcellular Location : Nucleus, PML body. Cytoplasm. Note=Recruited to the nuclear bodies via its interaction with PML. Colocalized with APEX1 in the nucleus. May be found in nucleolus, nuclear euchromatin, heterochromatin and inner membrane. Shuttles between nucleus and cytoplasm. SirtT1 75 kDa fragment: Cytoplasm. Mitochondrion. Tissue Specificity : Widely expressed. Post-translational modifications : Methylated on multiple lysine residues; methylation is enhanced after DNA damage and is dispensable for deacetylase activity toward p53/TP53. Phosphorylated. Phosphorylated by STK4/MST1, resulting in inhibition of SIRT1-mediated p53/TP53 deacetylation. Phosphorylation by MAPK8/JNK1 at Ser-27, Ser-47, and Thr-530 leads to increased nuclear localization and enzymatic activity. Phosphorylation at Thr-530 by DYRK1A and DYRK3 acivates deacetylase activity and promotes cell survival. Phosphorylation by mammalian target of rapamycin complex 1 (mTORC1) at Ser-47 inhibits deacetylation activity. Phosphorylated by CaMK2, leading to increased p53/TP53 and NF-kappa-B p65/RELA deacetylation activity (By similarity). Phosphorylation at Ser-27 implicating MAPK9 is linked to protein stability. There is some ambiguity for some phosphosites: Ser-159/Ser-162 and Thr-544/Ser-545. Proteolytically cleaved by cathepsin B upon TNF-alpha treatment to yield catalytic inactive but stable SirtT1 75 kDa fragment (75SirT1). S-nitrosylated by GAPDH, leading to inhibit the NAD-dependent protein deacetylase activity (By similarity). Similarity : Belongs to the sirtuin family. Contains 1 deacetylase sirtuin-type domain.
抗原信息
免疫原
KLH conjugated synthetic peptide: human SIRT1
抗原种属
Human
基因名称
SIRT1
基因ID
蛋白名称
NAD-dependent protein deacetylase sirtuin-1
Uniprot ID
研究领域
p53 Pathway,Acetylation,Class III / Sir2 class,Obesity,Host Virus Interaction,Other Nuclear Bodies
功能
SirtT1 75 kDa fragment: catalytically inactive 75SirT1 may be involved in regulation of apoptosis. May be involved in protecting chondrocytes from apoptotic death by associating with cytochrome C and interfering with apoptosome assembly.
化学信息
分子量Theoretical: 81 kDa. Actual: 120 kDa.
储存&溶解度
储存方式Store at -20°C or -80°C for 12 months. Avoid repeated freeze-thaw cycles.
运输方式Shipping with blue ice.

计算器

  • 稀释 计算器
  • 配液 计算器
Related Tags: buy Anti-SIRT1 Polyclonal Antibody 2 | purchase Anti-SIRT1 Polyclonal Antibody 2 | Anti-SIRT1 Polyclonal Antibody 2 cost | order Anti-SIRT1 Polyclonal Antibody 2 | Anti-SIRT1 Polyclonal Antibody 2 molecular weight