购物车
  • TargetMol
    您的购物车当前为空

Anti-SIN3A Antibody (9Z567)

Synonyms: Transcriptional corepressor Sin3a, Paired amphipathic helix protein Sin3a, Histone deacetylase complex subunit Sin3a
货号 TMAC-02653Cas号 一键复制产品信息纯度:
Rating icon 还可以

Anti-SIN3A Antibody (9Z567) 是一种 Rabbit 抗体,靶向 SIN3A。Anti-SIN3A Antibody (9Z567) 可用于 FCM,ICC/IF,IHC,WB。

Anti-SIN3A Antibody (9Z567)

一键复制产品信息
Rating icon 还可以
货号 TMAC-02653

别名 Transcriptional corepressor Sin3a, Paired amphipathic helix protein Sin3a, Histone deacetylase complex subunit Sin3a

Anti-SIN3A Antibody (9Z567) 是一种 Rabbit 抗体,靶向 SIN3A。Anti-SIN3A Antibody (9Z567) 可用于 FCM,ICC/IF,IHC,WB。

Anti-SIN3A Antibody (9Z567)
规格价格库存数量
50 μL
¥ 1,485
5日内发货
100 μL
¥ 2,485
5日内发货
库存状态实时更新,以官网显示为准,现货产品可直接加购物车下单
大包装 & 定制
加入购物车

TargetMol的所有产品仅用作科学研究或药证申报,不能被用于人体,我们不向个人提供产品和服务。请您遵守承诺用途,不得违反法律法规规定用于任何其他用途。

实验操作小课堂
常见问题解答
查看更多

资源下载:产品操作手册

产品介绍


生物活性
产品描述
Anti-SIN3A Antibody (9Z567) is a Rabbit antibody targeting SIN3A. Anti-SIN3A Antibody (9Z567) can be used in FCM,ICC/IF,IHC,WB.
别名
Transcriptional corepressor Sin3a, Paired amphipathic helix protein Sin3a, Histone deacetylase complex subunit Sin3a
Ig Type
IgG
克隆号
9Z567
反应种属
Human,Mouse,Rat
验证活性
1. Western blot analysis of mSin3A on 293T cell using anti-mSin3A antibody at 1/1,000 dilution.
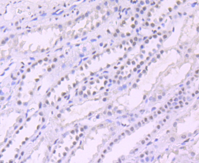
2. Immunohistochemical analysis of paraffin-embedded human kidney tissue using anti-mSin3A antibody. Counter stained with hematoxylin.
3. ICC staining mSin3A in Hela cells (green). The nuclear counter stain is DAPI (blue). Cells were fixed in paraformaldehyde, permeabilised with 0.25% Triton X100/PBS.
4. ICC staining mSin3A in MCF-7 cells (green). The nuclear counter stain is DAPI (blue). Cells were fixed in paraformaldehyde, permeabilised with 0.25% Triton X100/PBS.
5. ICC staining mSin3A in NIH-3T3 cells (green). The nuclear counter stain is DAPI (blue). Cells were fixed in paraformaldehyde, permeabilised with 0.25% Triton X100/PBS.
6. Flow cytometric analysis of MCF-7 cells with mSin3A antibody at 1/100 dilution (red) compared with an unlabelled control (cells without incubation with primary antibody; black).
verifiedActivityverifiedActivityverifiedActivityverifiedActivityverifiedActivityverifiedActivity
应用FCMICC/IFIHCWB
推荐剂量
WB: 1:500-2000; IHC: 1:50; ICC/IF: 1:50-200; FCM: 1:50-100
抗体种类
Monoclonal
宿主来源Rabbit
构建方式Recombinant Antibody
纯化方式ProA affinity purified
性状Liquid
缓冲液1*TBS (pH7.4), 1%BSA, 40%Glycerol. Preservative: 0.05% Sodium Azide.
研究背景It is now well established that Myc regulation of cell proliferation and differentiation involves a family of related transcription factors. One such factor, Max, is an obligate heterodimeric partner for Myc and can also form heterodimers with at least four related proteins designated Mad 1, Mxi1 (alternatively designated Mad 2), Mad 3 and Mad 4. Like Mad 1 and Mxi1, association of Mad 3 and Mad 4 with Max results in transcriptional repression. Both Myc and the Mad proteins have short half-lives and their synthesis is tightly regulated, while Max expression is constitutive and relatively stable. Two related mammalian cDNAs have been identified and shown to encode Mad-binding proteins. Both possess sequence homology with the yeast transcription repressor Sin3 including four conserved paired amphipathic helix (PAH) domains. mSin3A and mSin3B specifically interact with the Mad proteins via their second paired amphipathic helix domain (PAH2). It has been suggested that Mad-Max heterodimers repress transcription by tethering mSin3 to DNA as corepressors.
偶联与修饰
偶联
Unconjugated
抗原信息
免疫原
Recombinant Protein
Uniprot ID
化学信息
分子量Theoretical: 145 kDa.
储存&溶解度
储存方式Store at -20°C or -80°C for 12 months. Avoid repeated freeze-thaw cycles.
运输方式Shipping with blue ice.

计算器

  • 稀释 计算器
  • 配液 计算器
Related Tags: buy Anti-SIN3A Antibody (9Z567) | purchase Anti-SIN3A Antibody (9Z567) | Anti-SIN3A Antibody (9Z567) cost | order Anti-SIN3A Antibody (9Z567) | Anti-SIN3A Antibody (9Z567) molecular weight