购物车
  • TargetMol
    您的购物车当前为空

Anti-SHH Antibody (8Q785)

Synonyms: sonic hedgehog, M100081, Hxl3, Hx, Hhg1, Dsh, 9530036O11Rik
货号 TMAC-03822 一键复制产品信息
Rating icon 还可以

Anti-SHH Antibody (8Q785) 是一种 Rabbit 抗体,靶向 SHH。Anti-SHH Antibody (8Q785) 可用于 FCM,ICC/IF,IHC,WB。

Anti-SHH Antibody (8Q785)

一键复制产品信息
Rating icon 还可以
货号 TMAC-03822

别名 sonic hedgehog, M100081, Hxl3, Hx, Hhg1, Dsh, 9530036O11Rik

Anti-SHH Antibody (8Q785) 是一种 Rabbit 抗体,靶向 SHH。Anti-SHH Antibody (8Q785) 可用于 FCM,ICC/IF,IHC,WB。

Anti-SHH Antibody (8Q785)
规格价格库存数量
50 μL
¥ 1,495
5日内发货
100 μL
¥ 2,485
5日内发货
库存状态实时更新,以官网显示为准,现货产品可直接加购物车下单
大包装 & 定制
加入购物车

TargetMol的所有产品仅用作科学研究或药证申报,不能被用于人体,我们不向个人提供产品和服务。请您遵守承诺用途,不得违反法律法规规定用于任何其他用途。

实验操作小课堂
常见问题解答
查看更多

资源下载:产品操作手册

产品介绍


生物活性
产品描述
Anti-SHH Antibody (8Q785) is a Rabbit antibody targeting SHH. Anti-SHH Antibody (8Q785) can be used in FCM,ICC/IF,IHC,WB.
别名
sonic hedgehog, M100081, Hxl3, Hx, Hhg1, Dsh, 9530036O11Rik
Ig Type
IgG
克隆号
8Q785
反应种属
Human
验证活性
1. Western blot analysis of Sonic Hedgehog Protein on different lysates using anti-Sonic Hedgehog Protein antibody at 1/1,000 dilution. Positive control: Lane 1: Hela, Lane 2: HepG2.
2. Immunohistochemical analysis of paraffin-embedded human liver cancer tissue using anti-Sonic Hedgehog Protein antibody. Counter stained with hematoxylin.
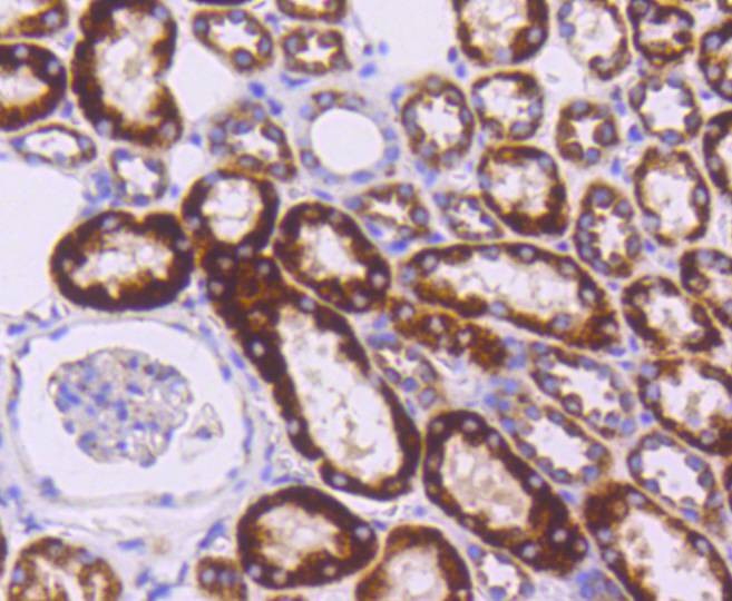
3. Immunohistochemical analysis of paraffin-embedded human kidney tissue using anti-Sonic Hedgehog Protein antibody. Counter stained with hematoxylin.
4. ICC staining Sonic Hedgehog Protein in Hela cells (green). The nuclear counter stain is DAPI (blue). Cells were fixed in paraformaldehyde, permeabilised with 0.25% Triton X100/PBS.
5. ICC staining Sonic Hedgehog Protein in A549 cells (green). The nuclear counter stain is DAPI (blue). Cells were fixed in paraformaldehyde, permeabilised with 0.25% Triton X100/PBS.
6. ICC staining Sonic Hedgehog Protein in 293 cells (green). The nuclear counter stain is DAPI (blue). Cells were fixed in paraformaldehyde, permeabilised with 0.25% Triton X100/PBS.
7. Flow cytometric analysis of Hela cells with Sonic Hedgehog Protein antibody at 1/50 dilution (red) compared with an unlabelled control (cells without incubation with primary antibody; black). Alexa Fluor 488-conjugated goat anti rabbit IgG was used as the secondary antibody.
verifiedActivityverifiedActivityverifiedActivityverifiedActivityverifiedActivityverifiedActivityverifiedActivity
应用FCMICC/IFIHCWB
推荐剂量
WB: 1:1000-2000; IHC: 1:200-500; ICC/IF: 1:50-200; FCM: 1:50-100
抗体种类
Monoclonal
宿主来源Rabbit
构建方式Recombinant Antibody
纯化方式ProA affinity purified
性状Liquid
缓冲液1*TBS (pH7.4), 1%BSA, 40%Glycerol. Preservative: 0.05% Sodium Azide.
研究背景The Drosophila segment polarity gene hedgehog (hh) encodes a precursor protein which undergoes autocleavage to generate amino- and carboxy-terminal peptides. Both proteins are secreted and appear to function in embryonic and imaginal disc patterning. Several vertebrate homologs of Drosophila hh have been identified. These include Sonic hedgehog (Shh) (alternatively designated Vhh-1), Desert hedgehog (Dhh) and Indian hedgehog (Ihh). Each contain amino-terminal signal peptides and apparently function as secreted proteins involved in the mediation of various cell-cell interactions. Shh resembles Drosophila hh in that it is processed to generate an amino-terminal secreted peptide that is retained at or near the cell surface and a carboxy-terminal glycosylated more diffusible peptide.
偶联与修饰
偶联
Unconjugated
抗原信息
免疫原
Recombinant Protein
Uniprot ID
化学信息
分子量Theoretical: 50 kDa.
储存&溶解度
储存方式Store at -20°C or -80°C for 12 months. Avoid repeated freeze-thaw cycles.
运输方式Shipping with blue ice.

计算器

  • 稀释 计算器
  • 配液 计算器
Related Tags: buy Anti-SHH Antibody (8Q785) | purchase Anti-SHH Antibody (8Q785) | Anti-SHH Antibody (8Q785) cost | order Anti-SHH Antibody (8Q785) | Anti-SHH Antibody (8Q785) molecular weight