购物车
  • TargetMol
    您的购物车当前为空

Anti-SGK1 Antibody (8M491)

Synonyms: SGK1_HUMAN, Sgk1 variant i3, SGK 1, SGK, Serum/glucocorticoid-regulated kinase 1, Serum/glucocorticoid regulated kinase 1, Serum/glucocorticoid regulated kinase, Serum and glucocorticoid regulated kinase, Serine/threonine-protein kinase Sgk1, Serine/threonine protein kinase Sgk1, Serine/threonine protein kinase SGK, OTTHUMP00000017247
货号 TMAC-03727 一键复制产品信息
Rating icon 还可以

Anti-SGK1 Antibody (8M491) 是一种 Rabbit 抗体,靶向 SGK1。Anti-SGK1 Antibody (8M491) 可用于 FCM,IHC,IP,WB。

Anti-SGK1 Antibody (8M491)

一键复制产品信息
Rating icon 还可以
货号 TMAC-03727

别名 SGK1_HUMAN, Sgk1 variant i3, SGK 1, SGK, Serum/glucocorticoid-regulated kinase 1, Serum/glucocorticoid regulated kinase 1, Serum/glucocorticoid regulated kinase, Serum and glucocorticoid regulated kinase, Serine/threonine-protein kinase Sgk1, Serine/threonine protein kinase Sgk1, Serine/threonine protein kinase SGK, OTTHUMP00000017247

Anti-SGK1 Antibody (8M491) 是一种 Rabbit 抗体,靶向 SGK1。Anti-SGK1 Antibody (8M491) 可用于 FCM,IHC,IP,WB。

Anti-SGK1 Antibody (8M491)
规格价格库存数量
50 μL
¥ 1,490
5日内发货
100 μL
¥ 2,495
5日内发货
库存状态实时更新,以官网显示为准,现货产品可直接加购物车下单
大包装 & 定制
加入购物车

TargetMol的所有产品仅用作科学研究或药证申报,不能被用于人体,我们不向个人提供产品和服务。请您遵守承诺用途,不得违反法律法规规定用于任何其他用途。

实验操作小课堂
常见问题解答
查看更多

资源下载:产品操作手册

产品介绍


生物活性
产品描述
Anti-SGK1 Antibody (8M491) is a Rabbit antibody targeting SGK1. Anti-SGK1 Antibody (8M491) can be used in FCM,IHC,IP,WB.
别名
SGK1_HUMAN, Sgk1 variant i3, SGK 1, SGK, Serum/glucocorticoid-regulated kinase 1, Serum/glucocorticoid regulated kinase 1, Serum/glucocorticoid regulated kinase, Serum and glucocorticoid regulated kinase, Serine/threonine-protein kinase Sgk1, Serine/threonine protein kinase Sgk1, Serine/threonine protein kinase SGK, OTTHUMP00000017247
Ig Type
IgG
克隆号
8M491
反应种属
Human,Mouse,Rat
验证活性
1. Western blot analysis of SGK1 on human kidney lysates using anti-SGK1 antibody at 1/1,000 dilution.
2. Immunohistochemical analysis of paraffin-embedded human liver tissue using anti-SGK1 antibody. Counter stained with hematoxylin.
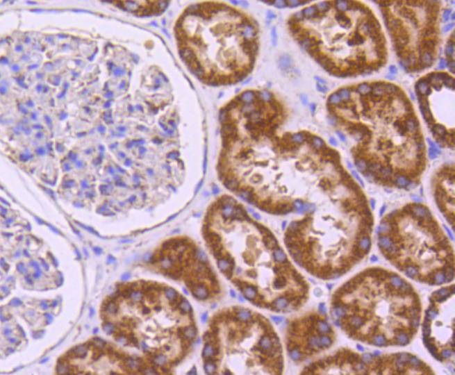
3. Immunohistochemical analysis of paraffin-embedded human kidney tissue using anti-SGK1 antibody. Counter stained with hematoxylin.
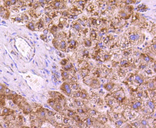
4. Immunohistochemical analysis of paraffin-embedded mouse liver tissue using anti-SGK1 antibody. Counter stained with hematoxylin.
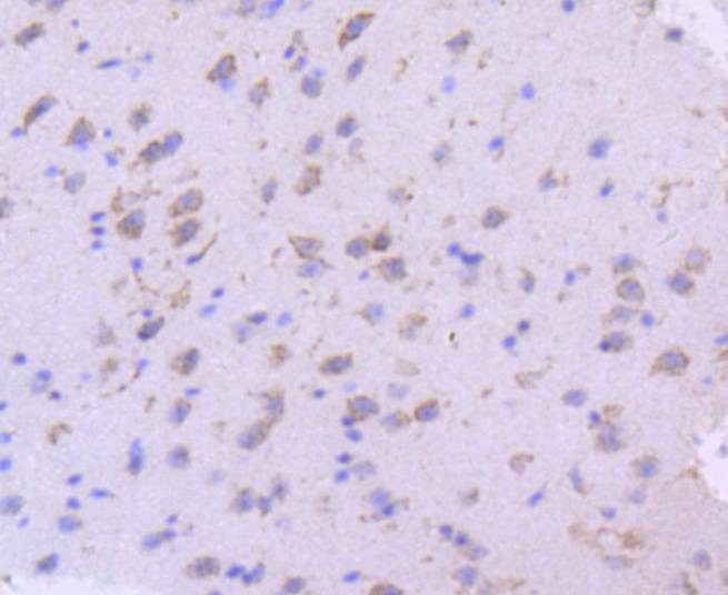
5. Immunohistochemical analysis of paraffin-embedded mouse brain tissue using anti-SGK1 antibody. Counter stained with hematoxylin.
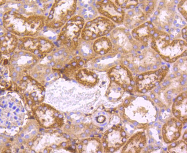
6. Immunohistochemical analysis of paraffin-embedded mouse kidney tissue using anti-SGK1 antibody. Counter stained with hematoxylin.
7. Flow cytometric analysis of 293 cells with SGK1 antibody at 1/50 dilution (red) compared with an unlabelled control (cells without incubation with primary antibody; black). Alexa Fluor 488-conjugated goat anti rabbit IgG was used as the secondary antibody.
verifiedActivityverifiedActivityverifiedActivityverifiedActivityverifiedActivityverifiedActivityverifiedActivity
应用FCMIHCIPWB
推荐剂量
WB: 1:1000; IHC: 1:50-200; FCM: 1:50-100
抗体种类
Monoclonal
宿主来源Rabbit
构建方式Recombinant Antibody
纯化方式ProA affinity purified
性状Liquid
缓冲液1*TBS (pH7.4), 1%BSA, 40%Glycerol. Preservative: 0.05% Sodium Azide.
研究背景Serum- and glucocorticoid-regulated kinase (SGK), also known as SGK1, is a serine/threonine protein kinase and a member of the "AGC" subfamily, which includes protein kinases A, G, and C. SGK plays an important role in activating certain potassium, sodium, and chloride channels, suggesting an involvement in the regulation of processes such as cell survival, neuronal excitability, and renal sodium excretion. SGK contains a catalytic domain, which is most similar to Akt1 (also known as protein kinase B or PKB). SGK is a downstream target of PI 3-kinase-stimulated growth factor signaling, with 3-phosphoinositide-dependent protein kinase 1 (PDK1) capable of phosphorylating the activation-loop of SGK at Threonine-256. The adrenal corticosteroid hormone, Aldosterone, induces the transcription of SGK, which mediates Na + transport by stimulating epithelial sodium channel activity. The SGK promoter contains a glucocorticoid response element and an SP-1 regulatory element, and is a transcriptional target for p53. SGK is also a component of the p38 MAPK-mediated response to hyperosmotic stress. The human SGK gene maps to chromosome 6q23 and encodes the 431-amino acid SGK protein.
偶联与修饰
偶联
Unconjugated
抗原信息
免疫原
Recombinant Protein
Uniprot ID
化学信息
分子量Theoretical: 55 kDa.
储存&溶解度
储存方式Store at -20°C or -80°C for 12 months. Avoid repeated freeze-thaw cycles.
运输方式Shipping with blue ice.

计算器

  • 稀释 计算器
  • 配液 计算器
Related Tags: buy Anti-SGK1 Antibody (8M491) | purchase Anti-SGK1 Antibody (8M491) | Anti-SGK1 Antibody (8M491) cost | order Anti-SGK1 Antibody (8M491) | Anti-SGK1 Antibody (8M491) molecular weight