购物车
  • TargetMol
    您的购物车当前为空

Anti-SF3B3 Antibody (4H951)

Synonyms: Splicing factor 3B subunit 3, Spliceosome-associated protein 130 (SAP 130), SF3B3, Pre-mRNA-splicing factor SF3b 130 kDa subunit (SF3b130)
货号 TMAC-03718Cas号 一键复制产品信息纯度:
Rating icon 还可以

Anti-SF3B3 Antibody (4H951) 是一种 Rabbit 抗体,靶向 SF3B3。Anti-SF3B3 Antibody (4H951) 可用于 FCM,ICC,IHC,WB。

Anti-SF3B3 Antibody (4H951)

一键复制产品信息
Rating icon 还可以
货号 TMAC-03718

别名 Splicing factor 3B subunit 3, Spliceosome-associated protein 130 (SAP 130), SF3B3, Pre-mRNA-splicing factor SF3b 130 kDa subunit (SF3b130)

Anti-SF3B3 Antibody (4H951) 是一种 Rabbit 抗体,靶向 SF3B3。Anti-SF3B3 Antibody (4H951) 可用于 FCM,ICC,IHC,WB。

Anti-SF3B3 Antibody (4H951)
规格价格库存数量
50 μL
¥ 1,485
5日内发货
100 μL
¥ 2,490
5日内发货
库存状态实时更新,以官网显示为准,现货产品可直接加购物车下单
大包装 & 定制
加入购物车

TargetMol的所有产品仅用作科学研究或药证申报,不能被用于人体,我们不向个人提供产品和服务。请您遵守承诺用途,不得违反法律法规规定用于任何其他用途。

实验操作小课堂
常见问题解答
查看更多

资源下载:产品操作手册

产品介绍


生物活性
产品描述
Anti-SF3B3 Antibody (4H951) is a Rabbit antibody targeting SF3B3. Anti-SF3B3 Antibody (4H951) can be used in FCM,ICC,IHC,WB.
别名
Splicing factor 3B subunit 3, Spliceosome-associated protein 130 (SAP 130), SF3B3, Pre-mRNA-splicing factor SF3b 130 kDa subunit (SF3b130)
Ig Type
IgG
克隆号
4H951
反应种属
Human,Mouse,Rat
验证活性
1. Western blot analysis of SF3B3 on Jurkat and Hela cells lysates using anti-SF3B3 antibody at 1/1,000 dilution.
2. Immunohistochemical analysis of paraffin-embedded human colon cancer tissue using anti-SF3B3 antibody. Counter stained with hematoxylin.
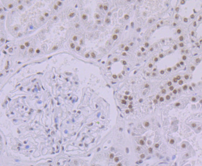
3. Immunohistochemical analysis of paraffin-embedded human kidney tissue using anti-SF3B3 antibody. Counter stained with hematoxylin.
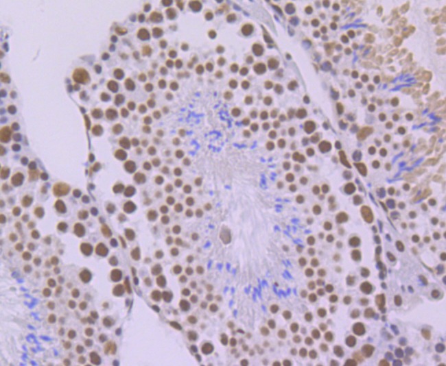
4. Immunohistochemical analysis of paraffin-embedded mouse testis tissue using anti-SF3B3 antibody. Counter stained with hematoxylin.
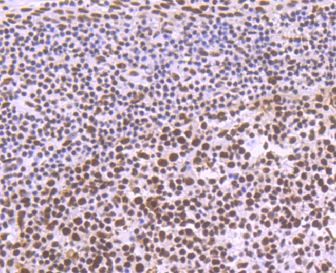
5. Immunohistochemical analysis of paraffin-embedded human tonsil tissue using anti-SF3B3 antibody. Counter stained with hematoxylin.
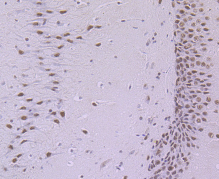
6. Immunohistochemical analysis of paraffin-embedded rat brain tissue using anti-SF3B3 antibody. Counter stained with hematoxylin.
7. ICC staining SF3B3 (green) in A549 cells. The nuclear counter stain is DAPI (blue). Cells were fixed in paraformaldehyde, permeabilised with 0.25% Triton X100/PBS.
8. Flow cytometric analysis of LOVO cells with SF3B3 antibody at 1/100 dilution (yellow) compared with an unlabelled control (cells without incubation with primary antibody; purple). Alexa Fluor 488-conjugated goat anti-rabbit IgG was used as the secondary antibody.
verifiedActivityverifiedActivityverifiedActivityverifiedActivityverifiedActivityverifiedActivityverifiedActivityverifiedActivity
应用FCMICCIHCWB
推荐剂量
WB: 1:500-1000; IHC: 1:50-200; ICC: 1:50-100; FCM: 1:50-100
抗体种类
Monoclonal
宿主来源Rabbit
构建方式Recombinant Antibody
纯化方式ProA affinity purified
性状Liquid
缓冲液1*TBS (pH7.4), 1%BSA, 40%Glycerol. Preservative: 0.05% Sodium Azide.
研究背景SF3B is a U2 snRNP-associated protein complex essential for spliceosome assembly. SF3B contains the spliceosomal proteins SAP 49, SAP 130 (also known as SF3B3), SAP 145 and SAP 155. SF3B3, SAP 145 and SAP 155 are present in a protein complex in HeLa nuclear extracts and associate with one another. While SF3B3 and SAP 155 interact with each other (directly or indirectly) within this complex, SAP 49 and SAP 145 are known to interact directly with each other. Unexpectedly, the SAP 49-SAP 145 protein-protein interaction requires the amino-terminus of SAP 49, which contains two RNA-recognition motifs. The observation that SAP 49 and SAP 145 interact directly with both U2 snRNP and the pre-mRNA suggests that this protein complex plays a role in tethering U2 snRNP to the branch site.
偶联与修饰
偶联
Unconjugated
抗原信息
免疫原
Recombinant Protein: within the C-terminus of human SF3B3
抗原种属
human
Uniprot ID
化学信息
分子量Theoretical: 136 kDa.
储存&溶解度
储存方式Store at -20°C or -80°C for 12 months. Avoid repeated freeze-thaw cycles.
运输方式Shipping with blue ice.

计算器

  • 稀释 计算器
  • 配液 计算器
Related Tags: buy Anti-SF3B3 Antibody (4H951) | purchase Anti-SF3B3 Antibody (4H951) | Anti-SF3B3 Antibody (4H951) cost | order Anti-SF3B3 Antibody (4H951) | Anti-SF3B3 Antibody (4H951) molecular weight