购物车
  • TargetMol
    您的购物车当前为空

Anti-SF3B1 Antibody (5W363)

Synonyms: Splicing factor 3B subunit 1, Spliceosome-associated protein 155, SF3b155, SAP155, SAP 155, Pre-mRNA-splicing factor SF3b 155 kDa subunit
货号 TMAC-03717 一键复制产品信息
Rating icon 还可以

Anti-SF3B1 Antibody (5W363) 是一种 Rabbit 抗体,靶向 SF3B1。Anti-SF3B1 Antibody (5W363) 可用于 FCM,ICC,IF,IHC,WB。

Anti-SF3B1 Antibody (5W363)

一键复制产品信息
Rating icon 还可以
货号 TMAC-03717

别名 Splicing factor 3B subunit 1, Spliceosome-associated protein 155, SF3b155, SAP155, SAP 155, Pre-mRNA-splicing factor SF3b 155 kDa subunit

Anti-SF3B1 Antibody (5W363) 是一种 Rabbit 抗体,靶向 SF3B1。Anti-SF3B1 Antibody (5W363) 可用于 FCM,ICC,IF,IHC,WB。

Anti-SF3B1 Antibody (5W363)
规格价格库存数量
50 μL
¥ 1,495
5日内发货
100 μL
¥ 2,485
5日内发货
库存状态实时更新,以官网显示为准,现货产品可直接加购物车下单
大包装 & 定制
加入购物车
TargetMol的所有产品仅用作科学研究或药证申报,不能被用于人体,我们不向个人提供产品和服务。请您遵守承诺用途,不得违反法律法规规定用于任何其他用途。
实验操作小课堂
常见问题解答
查看更多

资源下载:产品操作手册

产品介绍


生物活性
产品描述
Anti-SF3B1 Antibody (5W363) is a Rabbit antibody targeting SF3B1. Anti-SF3B1 Antibody (5W363) can be used in FCM,ICC,IF,IHC,WB.
别名Splicing factor 3B subunit 1, Spliceosome-associated protein 155, SF3b155, SAP155, SAP 155, Pre-mRNA-splicing factor SF3b 155 kDa subunit
Ig Type
IgG
克隆号
5W363
反应种属
Human,Mouse,Rat
验证活性
1. Western blot analysis of SF3B1 on different lysates using anti-SF3B1 antibody at 1/500 dilution. Positive control: Lane 1: Mouse thymus, Lane 2: Hela.
2. Immunohistochemical analysis of paraffin-embedded rat brain tissue using anti-SF3B1 antibody. Counter stained with hematoxylin.
3. Immunohistochemical analysis of paraffin-embedded human colon cancer tissue using anti-SF3B1 antibody. Counter stained with hematoxylin.
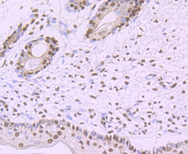
4. Immunohistochemical analysis of paraffin-embedded human skin tissue using anti-SF3B1 antibody. Counter stained with hematoxylin.
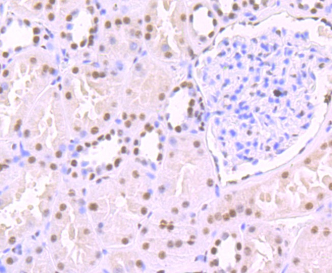
5. Immunohistochemical analysis of paraffin-embedded human kidney tissue using anti-SF3B1 antibody. Counter stained with hematoxylin.
6. Immunohistochemical analysis of paraffin-embedded mouse small intestine tissue using anti-SF3B1 antibody. Counter stained with hematoxylin.
verifiedActivityverifiedActivityverifiedActivityverifiedActivityverifiedActivityverifiedActivity
应用FCMICCIFIHCWB
推荐剂量
WB: 1:500-2000; IHC: 1:50-200; ICC: 1:50; FCM: 1:50-200
抗体种类
Monoclonal
宿主来源Rabbit
构建方式Recombinant Antibody
纯化方式ProA affinity purified
性状Liquid
缓冲液1*TBS (pH7.4), 1%BSA, 40%Glycerol. Preservative: 0.05% Sodium Azide.
研究背景Involved in pre-mRNA splicing as a component of the splicing factor SF3B complex. SF3B complex is required for 'A' complex assembly formed by the stable binding of U2 snRNP to the branchpoint sequence (BPS) in pre-mRNA. Sequence independent binding of SF3A/SF3B complex upstream of the branch site is essential, it may anchor U2 snRNP to the pre-mRNA. May also be involved in the assembly of the 'E' complex. Belongs also to the minor U12-dependent spliceosome, which is involved in the splicing of rare class of nuclear pre-mRNA intron.
偶联与修饰
偶联
Unconjugated
抗原信息
免疫原
Recombinant Protein
Uniprot ID
化学信息
分子量Theoretical: 146 kDa.
储存&溶解度
储存方式Store at -20°C or -80°C for 12 months. Avoid repeated freeze-thaw cycles.
运输方式Shipping with blue ice.

计算器

  • 稀释 计算器
  • 配液 计算器
Related Tags: buy Anti-SF3B1 Antibody (5W363) | purchase Anti-SF3B1 Antibody (5W363) | Anti-SF3B1 Antibody (5W363) cost | order Anti-SF3B1 Antibody (5W363) | Anti-SF3B1 Antibody (5W363) molecular weight