购物车
  • TargetMol
    您的购物车当前为空

Anti-Securin Antibody (7P480)

Synonyms: TUTR1, TUTR 1, Tumor-transforming protein 1, Tumor transforming protein 1, Tumor transforming 1, Securin, Pttg3, PTTG1_HUMAN, PTTG1 protein, PTTG1, PTTG 1, PTTG, Pituitary tumor-transforming gene 1 protein, Pituitary tumor-transforming gene 1, Pituitary tumor-transforming 1, isoform CRA_b, Pituitary tumor-transforming 1, isoform CRA_a, Pituitary tumor transforming protein 1, Pituitary tumor transforming 1, Pds1, MGC138276, MGC126883, hPTTG, Esp1-associated protein, ESP1 associated protein 1, EAP1, EAP 1, Cut2, C87862, AW555095
货号 TMAC-03701 一键复制产品信息
Rating icon 还可以

Anti-Securin Antibody (7P480) 是一种 Rabbit 抗体,靶向 Securin。Anti-Securin Antibody (7P480) 可用于 FCM,ICC,IF,IHC,IP,WB。

Anti-Securin Antibody (7P480)

一键复制产品信息
Rating icon 还可以
货号 TMAC-03701

别名 TUTR1, TUTR 1, Tumor-transforming protein 1, Tumor transforming protein 1, Tumor transforming 1, Securin, Pttg3, PTTG1_HUMAN, PTTG1 protein, PTTG1, PTTG 1, PTTG, Pituitary tumor-transforming gene 1 protein, Pituitary tumor-transforming gene 1, Pituitary tumor-transforming 1, isoform CRA_b, Pituitary tumor-transforming 1, isoform CRA_a, Pituitary tumor transforming protein 1, Pituitary tumor transforming 1, Pds1, MGC138276, MGC126883, hPTTG, Esp1-associated protein, ESP1 associated protein 1, EAP1, EAP 1, Cut2, C87862, AW555095

Anti-Securin Antibody (7P480) 是一种 Rabbit 抗体,靶向 Securin。Anti-Securin Antibody (7P480) 可用于 FCM,ICC,IF,IHC,IP,WB。

Anti-Securin Antibody (7P480)
规格价格库存数量
50 μL
¥ 1,480
5日内发货
100 μL
¥ 2,485
5日内发货
库存状态实时更新,以官网显示为准,现货产品可直接加购物车下单
大包装 & 定制
加入购物车
TargetMol的所有产品仅用作科学研究或药证申报,不能被用于人体,我们不向个人提供产品和服务。请您遵守承诺用途,不得违反法律法规规定用于任何其他用途。
实验操作小课堂
常见问题解答
查看更多

资源下载:产品操作手册

产品介绍


生物活性
产品描述
Anti-Securin Antibody (7P480) is a Rabbit antibody targeting Securin. Anti-Securin Antibody (7P480) can be used in FCM,ICC,IF,IHC,IP,WB.
别名TUTR1, TUTR 1, Tumor-transforming protein 1, Tumor transforming protein 1, Tumor transforming 1, Securin, Pttg3, PTTG1_HUMAN, PTTG1 protein, PTTG1, PTTG 1, PTTG, Pituitary tumor-transforming gene 1 protein, Pituitary tumor-transforming gene 1, Pituitary tumor-transforming 1, isoform CRA_b, Pituitary tumor-transforming 1, isoform CRA_a, Pituitary tumor transforming protein 1, Pituitary tumor transforming 1, Pds1, MGC138276, MGC126883, hPTTG, Esp1-associated protein, ESP1 associated protein 1, EAP1, EAP 1, Cut2, C87862, AW555095
Ig Type
IgG
克隆号
7P480
反应种属
Human
验证活性
1. Western blot analysis of Securin on SiHa cell lysate using anti-Securin antibody at 1/500 dilution.
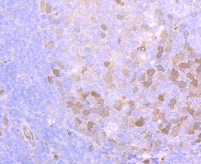
2. Immunohistochemical analysis of paraffin-embedded human tonsil tissue using anti-Securin antibody. Counter stained with hematoxylin.
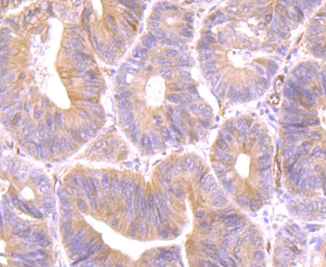
3. Immunohistochemical analysis of paraffin-embedded human colon cancer tissue using anti-Securin antibody. Counter stained with hematoxylin.
4. ICC staining Securin in A431 cells (green). The nuclear counter stain is DAPI (blue). Cells were fixed in paraformaldehyde, permeabilised with 0.25% Triton X100/PBS.
5. ICC staining Securin in HUVEC cells (green). The nuclear counter stain is DAPI (blue). Cells were fixed in paraformaldehyde, permeabilised with 0.25% Triton X100/PBS.
6. ICC staining Securin in PC-3M cells (green). The nuclear counter stain is DAPI (blue). Cells were fixed in paraformaldehyde, permeabilised with 0.25% Triton X100/PBS.
7. Flow cytometric analysis of A431 cells with Securin antibody at 1/100 dilution (red) compared with an unlabelled control (cells without incubation with primary antibody; black). Alexa Fluor 488-conjugated goat anti-rabbit IgG was used as the secondary antibody.
verifiedActivityverifiedActivityverifiedActivityverifiedActivityverifiedActivityverifiedActivityverifiedActivity
应用FCMICCIFIHCIPWB
推荐剂量
WB: 1:500; IHC: 1:50-200; ICC: 1:50-200; FCM: 1:50-100
抗体种类
Monoclonal
宿主来源Rabbit
构建方式Recombinant Antibody
纯化方式ProA affinity purified
性状Liquid
缓冲液1*TBS (pH7.4), 1%BSA, 40%Glycerol. Preservative: 0.05% Sodium Azide.
研究背景The product of the oncogene PTTG, pituitary tumor transforming gene, is a human homolog of the anaphase-inhibitor vertebrate protein, securin. PTTG contains a basic amino-terminal domain and an acidic carboxy-terminal domain, which acts as a transactivation domain when fused to a heterologous DNA binding domain. Human PTTG is overexpressed in Jurkat and is also detected in human thymus, testis and placenta. PTTG is mainly expressed in the cytoplasm and is also partially localized to the nucleus. Vertebrate PTTG regulates the separin Esp1, which promotes chromatid separation, to overcome the cohesive forces that hold sister chromatids together. This regulatory function of PTTG suggests that defective regulation of cohesion may contribute to cancer by promoting chromosome instability. Although vertebrate PTTG shares cell-cycle functions with its yeast securin counterparts Pds1p and Cut2, none share sequence homology.
偶联与修饰
偶联
Unconjugated
抗原信息
免疫原
Recombinant Protein
Uniprot ID
化学信息
分子量Theoretical: 22 kDa.
储存&溶解度
储存方式Store at -20°C or -80°C for 12 months. Avoid repeated freeze-thaw cycles.
运输方式Shipping with blue ice.

计算器

  • 稀释 计算器
  • 配液 计算器
Related Tags: buy Anti-Securin Antibody (7P480) | purchase Anti-Securin Antibody (7P480) | Anti-Securin Antibody (7P480) cost | order Anti-Securin Antibody (7P480) | Anti-Securin Antibody (7P480) molecular weight