购物车
  • TargetMol
    您的购物车当前为空

Anti-SDHB Antibody (3I144)

Synonyms: Succinate dehydrogenase [ubiquinone] iron-sulfur subunit, SDH1, SDH, mitochondrial, Iron-sulfur subunit of complex II, Ip, EC 1.3.5.1
货号 TMAC-03698 一键复制产品信息
Rating icon 还可以

Anti-SDHB Antibody (3I144) 是一种 Rabbit 抗体,靶向 SDHB。Anti-SDHB Antibody (3I144) 可用于 FCM,IHC,IP,WB。

Anti-SDHB Antibody (3I144)

一键复制产品信息
Rating icon 还可以
货号 TMAC-03698

别名 Succinate dehydrogenase [ubiquinone] iron-sulfur subunit, SDH1, SDH, mitochondrial, Iron-sulfur subunit of complex II, Ip, EC 1.3.5.1

Anti-SDHB Antibody (3I144) 是一种 Rabbit 抗体,靶向 SDHB。Anti-SDHB Antibody (3I144) 可用于 FCM,IHC,IP,WB。

Anti-SDHB Antibody (3I144)
规格价格库存数量
50 μL
¥ 1,490
5日内发货
100 μL
¥ 2,480
5日内发货
库存状态实时更新,以官网显示为准,现货产品可直接加购物车下单
大包装 & 定制
加入购物车
TargetMol的所有产品仅用作科学研究或药证申报,不能被用于人体,我们不向个人提供产品和服务。请您遵守承诺用途,不得违反法律法规规定用于任何其他用途。
实验操作小课堂
常见问题解答
查看更多

资源下载:产品操作手册

产品介绍


生物活性
产品描述
Anti-SDHB Antibody (3I144) is a Rabbit antibody targeting SDHB. Anti-SDHB Antibody (3I144) can be used in FCM,IHC,IP,WB.
别名Succinate dehydrogenase [ubiquinone] iron-sulfur subunit, SDH1, SDH, mitochondrial, Iron-sulfur subunit of complex II, Ip, EC 1.3.5.1
Ig Type
IgG
克隆号
3I144
反应种属
Human,Mouse,Rat
验证活性
1. Western blot analysis of SDHB on different lysates using anti-SDHB antibody at 1/500 dilution. Positive control: Lane 1: Human liver, Lane 2: Rat spleen, Lane 3: Rat liver, Lane 4: Mouse spleen, Lane 5: HepG2.
2. Immunohistochemical analysis of paraffin-embedded rat esophagus tissue using anti-SDHB antibody. Counter stained with hematoxylin.
3. Immunohistochemical analysis of paraffin-embedded human liver tissue using anti-SDHB antibody. Counter stained with hematoxylin.
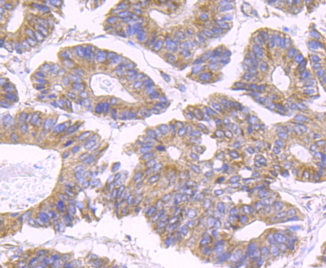
4. Immunohistochemical analysis of paraffin-embedded human colon cancer tissue using anti-SDHB antibody. Counter stained with hematoxylin.
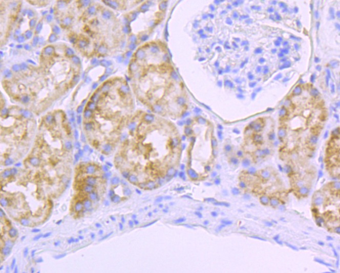
5. Immunohistochemical analysis of paraffin-embedded human kidney tissue using anti-SDHB antibody. Counter stained with hematoxylin.
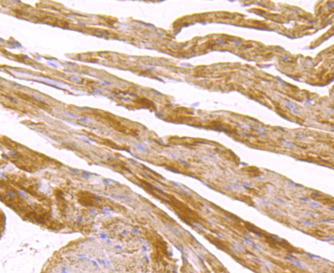
6. Immunohistochemical analysis of paraffin-embedded mouse heart tissue using anti-SDHB antibody. Counter stained with hematoxylin.
7. Flow cytometric analysis of Jurkat cells with SDHB antibody at 1/100 dilution (red) compared with an unlabelled control (cells without incubation with primary antibody; black). Alexa Fluor 488-conjugated goat anti-rabbit IgG was used as the secondary antibody.
verifiedActivityverifiedActivityverifiedActivityverifiedActivityverifiedActivityverifiedActivityverifiedActivity
应用FCMIHCIPWB
推荐剂量
WB: 1:500-2000; IHC: 1:50-200; IP: 1:10-50; FCM: 1:50-100
抗体种类
Monoclonal
宿主来源Rabbit
构建方式Recombinant Antibody
纯化方式ProA affinity purified
性状Liquid
缓冲液1*TBS (pH7.4), 1%BSA, 40%Glycerol. Preservative: 0.05% Sodium Azide.
研究背景In aerobic respiration reactions, succinate dehydrogenase (SDH) catalyzes the oxidation of succinate and ubiquinone to fumarate and ubiquinol. Four subunits comprise the SDH protein complex: a flavochrome subunit (SDHA), an iron-sulfur protein (SDHB) and two membrane-bound subunits (SDHC and SDHD) anchored to the inner mitochondrial membrane. Mutations to these subunits cause mitochondrial dysfunction, corresponding to several distinct disorders. Mutations in the membrane bound components may cause hereditary paraganglioma, while SDHA mutations associate with juvenile encephalopathy as well as Leigh syndrome, a severe neurological disorder. Inactivating mutations in SDHB correlate with inherited, but not necessarily sporadic, cases of pheochromocytoma.
偶联与修饰
偶联
Unconjugated
抗原信息
免疫原
Recombinant Protein
Uniprot ID
化学信息
分子量Theoretical: 32 kDa.
储存&溶解度
储存方式Store at -20°C or -80°C for 12 months. Avoid repeated freeze-thaw cycles.
运输方式Shipping with blue ice.

计算器

  • 稀释 计算器
  • 配液 计算器
Related Tags: buy Anti-SDHB Antibody (3I144) | purchase Anti-SDHB Antibody (3I144) | Anti-SDHB Antibody (3I144) cost | order Anti-SDHB Antibody (3I144) | Anti-SDHB Antibody (3I144) molecular weight