购物车
  • TargetMol
    您的购物车当前为空

Anti-SAMHD1 Antibody (8T611)

Synonyms: SBBI88, Samhd 1, SAMH1_HUMAN, SAM domain and HD domain-containing protein 1, SAM domain and HD domain containing protein 1, SAM domain and HD domain 1, OTTHUMP00000030889, MOP-5, MOP5, MOP 5, Monocyte protein 5, Mg11, HDDC1, HD domain containing 1, dNTPase, Deoxynucleoside triphosphate triphosphohydrolase SAMHD1, Dendritic cell-derived IFNG-induced protein, Dendritic cell derived IFNG induced protein, DCIP, CHBL2
货号 TMAC-03684 一键复制产品信息
Rating icon 还可以
202603开学季活动

Anti-SAMHD1 Antibody (8T611) 是一种 Rabbit 抗体,靶向 SAMHD1。Anti-SAMHD1 Antibody (8T611) 可用于 FCM,ICC,IHC,WB。

Anti-SAMHD1 Antibody (8T611)

一键复制产品信息
Rating icon 还可以
202603开学季活动
货号 TMAC-03684

别名 SBBI88, Samhd 1, SAMH1_HUMAN, SAM domain and HD domain-containing protein 1, SAM domain and HD domain containing protein 1, SAM domain and HD domain 1, OTTHUMP00000030889, MOP-5, MOP5, MOP 5, Monocyte protein 5, Mg11, HDDC1, HD domain containing 1, dNTPase, Deoxynucleoside triphosphate triphosphohydrolase SAMHD1, Dendritic cell-derived IFNG-induced protein, Dendritic cell derived IFNG induced protein, DCIP, CHBL2

Anti-SAMHD1 Antibody (8T611) 是一种 Rabbit 抗体,靶向 SAMHD1。Anti-SAMHD1 Antibody (8T611) 可用于 FCM,ICC,IHC,WB。

Anti-SAMHD1 Antibody (8T611)
规格价格库存数量
50 μL
¥ 1,490
5日内发货
100 μL
¥ 2,495
5日内发货
库存状态实时更新,以官网显示为准,现货产品可直接加购物车下单
大包装 & 定制
加入购物车

TargetMol的所有产品仅用作科学研究或药证申报,不能被用于人体,我们不向个人提供产品和服务。请您遵守承诺用途,不得违反法律法规规定用于任何其他用途。

实验操作小课堂
常见问题解答
查看更多

资源下载:产品操作手册

产品介绍


生物活性
产品描述
Anti-SAMHD1 Antibody (8T611) is a Rabbit antibody targeting SAMHD1. Anti-SAMHD1 Antibody (8T611) can be used in FCM,ICC,IHC,WB.
别名
SBBI88, Samhd 1, SAMH1_HUMAN, SAM domain and HD domain-containing protein 1, SAM domain and HD domain containing protein 1, SAM domain and HD domain 1, OTTHUMP00000030889, MOP-5, MOP5, MOP 5, Monocyte protein 5, Mg11, HDDC1, HD domain containing 1, dNTPase, Deoxynucleoside triphosphate triphosphohydrolase SAMHD1, Dendritic cell-derived IFNG-induced protein, Dendritic cell derived IFNG induced protein, DCIP, CHBL2
Ig Type
IgG
克隆号
8T611
反应种属
Human
验证活性
1. Western blot analysis of SAMHD1 on THP-1 cell lysate using anti-SAMHD1 antibody at 1/1,000 dilution.
2. Immunohistochemical analysis of paraffin-embedded human tonsil tissue using anti-SAMHD1 antibody. Counter stained with hematoxylin.
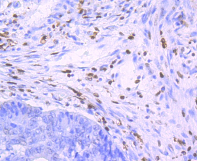
3. Immunohistochemical analysis of paraffin-embedded human colon cancer tissue using anti-SAMHD1 antibody. Counter stained with hematoxylin.
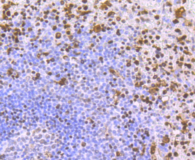
4. Immunohistochemical analysis of paraffin-embedded human spleen tissue using anti-SAMHD1 antibody. Counter stained with hematoxylin.
5. ICC staining SAMHD1 in HepG2 cells (green). The nuclear counter stain is DAPI (blue). Cells were fixed in paraformaldehyde, permeabilised with 0.25% Triton X100/PBS.
6. ICC staining SAMHD1 in HUVEC cells (green). The nuclear counter stain is DAPI (blue). Cells were fixed in paraformaldehyde, permeabilised with 0.25% Triton X100/PBS.
7. ICC staining SAMHD1 in LOVO cells (green). The nuclear counter stain is DAPI (blue). Cells were fixed in paraformaldehyde, permeabilised with 0.25% Triton X100/PBS.
8. Flow cytometric analysis of K562 cells with SAMHD1 antibody at 1/100 dilution (red) compared with an unlabelled control (cells without incubation with primary antibody; black).
verifiedActivityverifiedActivityverifiedActivityverifiedActivityverifiedActivityverifiedActivityverifiedActivityverifiedActivity
应用FCMICCIHCWB
推荐剂量
WB: 1:500-2000; IHC: 1:50-200; ICC: 1:100-500; FCM: 1:50-100
抗体种类
Monoclonal
宿主来源Rabbit
构建方式Recombinant Antibody
纯化方式ProA affinity purified
性状Liquid
缓冲液1*TBS (pH7.4), 1%BSA, 40%Glycerol. Preservative: 0.05% Sodium Azide.
研究背景SAM domain and HD domain-containing protein 1 is a protein that in humans is encoded by the SAMHD1 gene. SAMHD1 is a cellular enzyme, responsible for blocking replication of HIV in dendritic cells, macrophages and monocytes. It is an enzyme that exhibits phosphohydrolase activity, converting deoxynucleoside triphosphates (dNTPs) to inorganic phosphate (iPPP) and a 2'-deoxynucleoside (i.e. deoxynucleosides without a phosphate group). In doing so, SAMHD1 depletes the pool of dNTPs available to a reverse transcriptase for viral cDNA synthesis and thus prevents viral replication. SAMHD1 has also shown nuclease activity. Although a ribonuclease activity was described to be required for HIV-1 restriction, recent data confirmed that SAMHD1-mediated HIV-1 restriction in cells does not involve ribonuclease activity.
偶联与修饰
偶联
Unconjugated
抗原信息
免疫原
Recombinant Protein
Uniprot ID
化学信息
分子量Theoretical: 72 kDa.
储存&溶解度
储存方式Store at -20°C or -80°C for 12 months. Avoid repeated freeze-thaw cycles.
运输方式Shipping with blue ice.

计算器

  • 稀释 计算器
  • 配液 计算器
Related Tags: buy Anti-SAMHD1 Antibody (8T611) | purchase Anti-SAMHD1 Antibody (8T611) | Anti-SAMHD1 Antibody (8T611) cost | order Anti-SAMHD1 Antibody (8T611) | Anti-SAMHD1 Antibody (8T611) molecular weight