购物车
  • TargetMol
    您的购物车当前为空

Anti-S1PR1 Antibody (9T480)

Synonyms: Sphingosine 1-phosphate receptor Edg-1, Sphingosine 1-phosphate receptor 1, S1PR 1, S1P1, S1P receptor Edg-1, S1P receptor 1, Endothelial differentiation G-protein coupled receptor 1, EDG1, CHEDG1, CD antigen CD363
货号 TMAC-01227 一键复制产品信息
Rating icon 还可以

Anti-S1PR1 Antibody (9T480) 是一种 Rabbit 抗体,靶向 S1PR1。Anti-S1PR1 Antibody (9T480) 可用于 FCM,ICC/IF,IHC,WB。

Anti-S1PR1 Antibody (9T480)

一键复制产品信息
Rating icon 还可以
货号 TMAC-01227

别名 Sphingosine 1-phosphate receptor Edg-1, Sphingosine 1-phosphate receptor 1, S1PR 1, S1P1, S1P receptor Edg-1, S1P receptor 1, Endothelial differentiation G-protein coupled receptor 1, EDG1, CHEDG1, CD antigen CD363

Anti-S1PR1 Antibody (9T480) 是一种 Rabbit 抗体,靶向 S1PR1。Anti-S1PR1 Antibody (9T480) 可用于 FCM,ICC/IF,IHC,WB。

Anti-S1PR1 Antibody (9T480)
规格价格库存数量
50 μL
¥ 1,495
5日内发货
100 μL
¥ 2,480
5日内发货
库存状态实时更新,以官网显示为准,现货产品可直接加购物车下单
大包装 & 定制
加入购物车
TargetMol的所有产品仅用作科学研究或药证申报,不能被用于人体,我们不向个人提供产品和服务。请您遵守承诺用途,不得违反法律法规规定用于任何其他用途。
实验操作小课堂
常见问题解答
查看更多

资源下载:产品操作手册

产品介绍


生物活性
产品描述
Anti-S1PR1 Antibody (9T480) is a Rabbit antibody targeting S1PR1. Anti-S1PR1 Antibody (9T480) can be used in FCM,ICC/IF,IHC,WB.
别名Sphingosine 1-phosphate receptor Edg-1, Sphingosine 1-phosphate receptor 1, S1PR 1, S1P1, S1P receptor Edg-1, S1P receptor 1, Endothelial differentiation G-protein coupled receptor 1, EDG1, CHEDG1, CD antigen CD363
Ig Type
IgG
克隆号
9T480
反应种属
Human,Mouse,Rat
验证活性
1. Western blot analysis of EDG1 on SH-SY5Y cells lysates using anti-EDG1 antibody at 1/1,000 dilution.
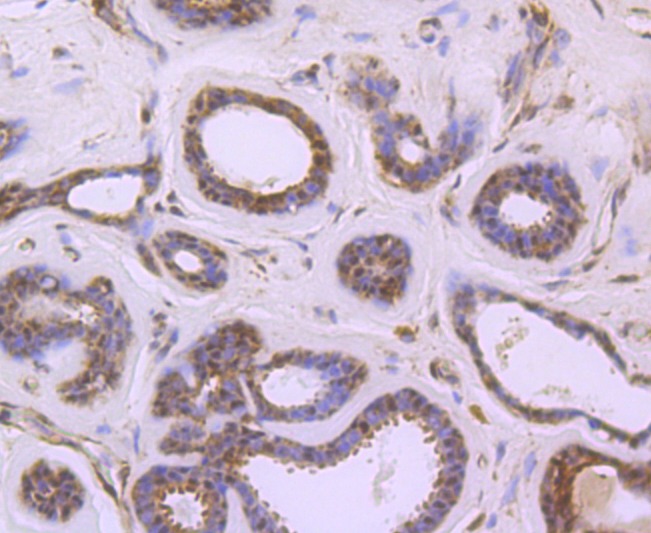
2. Immunohistochemical analysis of paraffin-embedded human breast carcinoma tissue using anti-EDG1 antibody. Counter stained with hematoxylin.
3. Immunohistochemical analysis of paraffin-embedded human liver tissue using anti-EDG1 antibody. Counter stained with hematoxylin.
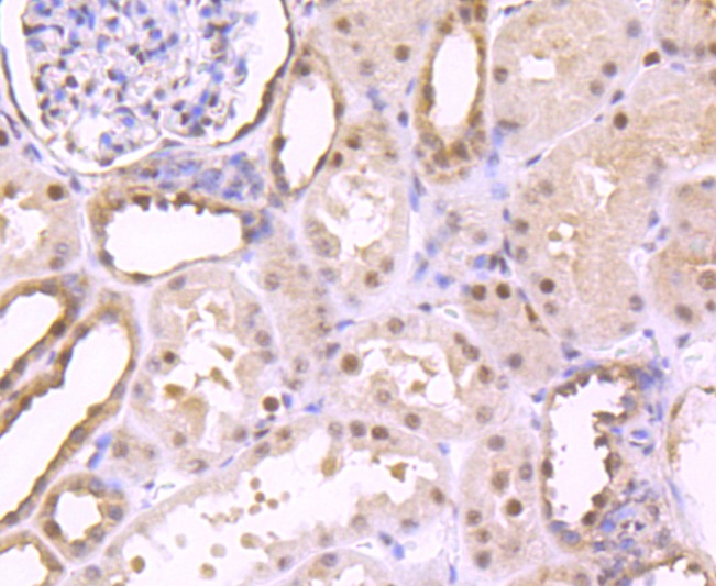
4. Immunohistochemical analysis of paraffin-embedded human kidney tissue using anti-EDG1 antibody. Counter stained with hematoxylin.
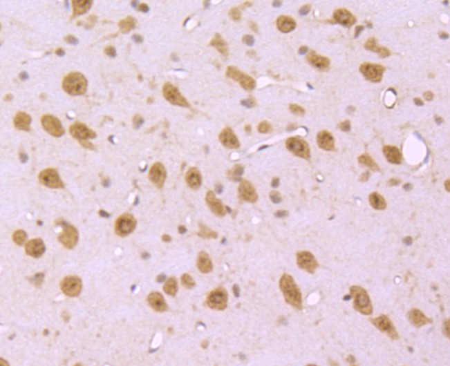
5. Immunohistochemical analysis of paraffin-embedded mouse brain tissue using anti-EDG1 antibody. Counter stained with hematoxylin.
6. Immunohistochemical analysis of paraffin-embedded mouse herat tissue using anti-EDG1 antibody. Counter stained with hematoxylin.
7. ICC staining EDG1 in HepG2 cells (red). The nuclear counter stain is DAPI (blue). Cells were fixed in paraformaldehyde, permeabilised with 0.25% Triton X100/PBS.
8. ICC staining EDG1 in HUVEC cells (red). The nuclear counter stain is DAPI (blue). Cells were fixed in paraformaldehyde, permeabilised with 0.25% Triton X100/PBS.
9. ICC staining EDG1 in SH-SY5Y cells (red). The nuclear counter stain is DAPI (blue). Cells were fixed in paraformaldehyde, permeabilised with 0.25% Triton X100/PBS.
10. Flow cytometric analysis of Jurkat cells with EDG1 antibody at 1/50 dilution (red) compared with an unlabelled control (cells without incubation with primary antibody; black). Alexa Fluor 488-conjugated goat anti rabbit IgG was used as the secondary antibody.
11. All lanes: EDG1 Rabbit mAb at 1/1000 dilution, Lane 1: HUVEC whole cell lysates, Lane 2: JK whole cell lysates, Lane 3: HT29 whole cell lysates, Lane 4: Rat brain lysates Lysates at 20 μg per lane. Secondary All lanes: Goat Anti-Rabbit IgG H&L (HRP) at 1/10000 dilution, Predicted band size: 43 kDa, Observed band size: 43-50 kDa, Exposure time: 5 seconds.
verifiedActivityverifiedActivityverifiedActivityverifiedActivityverifiedActivityverifiedActivityverifiedActivityverifiedActivityverifiedActivityverifiedActivityverifiedActivity
应用FCMICC/IFIHCWB
推荐剂量
WB: 1:1000-5000; IHC: 1:50-200; ICC/IF: 1:100-500; FCM: 1:50-100
抗体种类
Monoclonal
宿主来源Rabbit
构建方式Recombinant Antibody
纯化方式ProA affinity purified
性状Liquid
缓冲液1*TBS (pH7.4), 1%BSA, 40%Glycerol. Preservative: 0.05% Sodium Azide.
研究背景The EDG (endothelial differentiation gene) family of G protein coupled receptors consists of eight family members that bind lysophospholipid (LPL) mediators, including sphingosine-1-phosphate (SPP) and lysophosphatidic acid (LPA). EDG-1, EDG-3, EDG-5 (also designated H218 and AGR16) and EDG-8 bind SPP with high affinity. EDG-6 is a low affinity receptor for SPP. LPA preferentially binds to EDG-2, EDG-4 and EDG-7. The EDG receptors couple to multiple G proteins to signal through Ras, MAP kinase, Rho, Phospholipase C or other tyrosine kinases, which lead to cell survival, growth, migration and differentiation. EDG-1 signals through Gi proteins to activate Akt and is expressed in glioma cells. EDG-2 is expressed in brain, especially in white matter tract regions, while EDG-3 is expressed in cardiovascular tissue and in cerebellum. EDG-4 is highly expressed on leukocytes and brain, and EDG-5 has wide tissue distribution, including cardiovascular tissue and brain. EDG-6, which is expressed in lymphoid and hematopoietic tissues and in lung, signals through G(i/o) proteins, which activate growth related pathways
偶联与修饰
偶联
Unconjugated
抗原信息
免疫原
Recombinant Protein
Uniprot ID
化学信息
分子量Theoretical: 43 kDa.
储存&溶解度
储存方式Store at -20°C or -80°C for 12 months. Avoid repeated freeze-thaw cycles.
运输方式Shipping with blue ice.

计算器

  • 稀释 计算器
  • 配液 计算器
Related Tags: buy Anti-S1PR1 Antibody (9T480) | purchase Anti-S1PR1 Antibody (9T480) | Anti-S1PR1 Antibody (9T480) cost | order Anti-S1PR1 Antibody (9T480) | Anti-S1PR1 Antibody (9T480) molecular weight