购物车
  • TargetMol
    您的购物车当前为空

Anti-S100A6 Antibody (9N771)

Synonyms: S100 calcium binding protein A6, PRA, CACY, CABP, 5B10, 2A9
货号 TMAC-03669 一键复制产品信息
Rating icon 还可以

Anti-S100A6 Antibody (9N771) 是一种 Rabbit 抗体,靶向 S100A6。Anti-S100A6 Antibody (9N771) 可用于 FCM,ICC/IF,IHC,IP,WB。

Anti-S100A6 Antibody (9N771)

一键复制产品信息
Rating icon 还可以
货号 TMAC-03669

别名 S100 calcium binding protein A6, PRA, CACY, CABP, 5B10, 2A9

Anti-S100A6 Antibody (9N771) 是一种 Rabbit 抗体,靶向 S100A6。Anti-S100A6 Antibody (9N771) 可用于 FCM,ICC/IF,IHC,IP,WB。

Anti-S100A6 Antibody (9N771)
规格价格库存数量
50 μL
¥ 1,495
5日内发货
100 μL
¥ 2,490
5日内发货
库存状态实时更新,以官网显示为准,现货产品可直接加购物车下单
大包装 & 定制
加入购物车
TargetMol的所有产品仅用作科学研究或药证申报,不能被用于人体,我们不向个人提供产品和服务。请您遵守承诺用途,不得违反法律法规规定用于任何其他用途。
实验操作小课堂
常见问题解答
查看更多

资源下载:产品操作手册

产品介绍


生物活性
产品描述
Anti-S100A6 Antibody (9N771) is a Rabbit antibody targeting S100A6. Anti-S100A6 Antibody (9N771) can be used in FCM,ICC/IF,IHC,IP,WB.
别名S100 calcium binding protein A6, PRA, CACY, CABP, 5B10, 2A9
Ig Type
IgG
克隆号
9N771
反应种属
Human,Mouse,Rat
验证活性
1. Western blot analysis of S100 alpha 6 on different lysates using anti-S100 alpha 6 antibody at 1/1,000 dilution. Positive control: Lane 1: A431, Lane 2: Mouse lung.
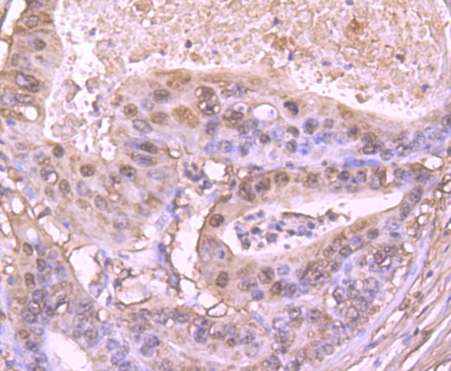
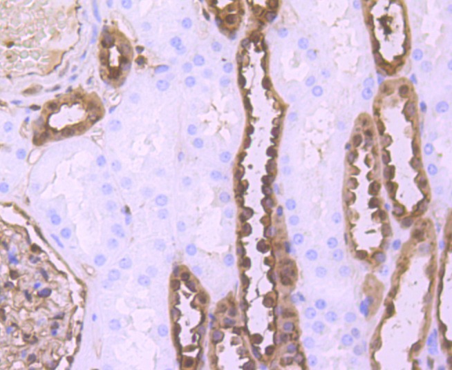
2. Immunohistochemical analysis of paraffin-embedded human kidney tissue using anti-S100 alpha 6 antibody. Counter stained with hematoxylin.
3. Immunohistochemical analysis of paraffin-embedded human gastric carcinoma tissue using anti-S100 alpha 6 antibody. Counter stained with hematoxylin.
4. Immunohistochemical analysis of paraffin-embedded mouse brain tissue using anti-S100 alpha 6 antibody. Counter stained with hematoxylin.
5. Immunohistochemical analysis of paraffin-embedded human colon cancer tissue using anti-S100 alpha 6 antibody. Counter stained with hematoxylin.
6. Immunohistochemical analysis of paraffin-embedded mouse kidney tissue using anti-S100 alpha 6 antibody. Counter stained with hematoxylin.
7. ICC staining S100 alpha 6 in Hela cells (red). The nuclear counter stain is DAPI (blue). Cells were fixed in paraformaldehyde, permeabilised with 0.25% Triton X100/PBS.
8. ICC staining S100 alpha 6 in A431 cells (red). The nuclear counter stain is DAPI (blue). Cells were fixed in paraformaldehyde, permeabilised with 0.25% Triton X100/PBS.
9. ICC staining S100 alpha 6 in SH-SY-5Y cells (red). The nuclear counter stain is DAPI (blue). Cells were fixed in paraformaldehyde, permeabilised with 0.25% Triton X100/PBS.
10. Flow cytometric analysis of SH-SY-5Y cells with S100 alpha 6 antibody at 1/50 dilution (red) compared with an unlabelled control (cells without incubation with primary antibody; black). Alexa Fluor 488-conjugated goat anti rabbit IgG was used as the secondary antibody.
verifiedActivityverifiedActivityverifiedActivityverifiedActivityverifiedActivityverifiedActivityverifiedActivityverifiedActivityverifiedActivityverifiedActivity
应用FCMICC/IFIHCIPWB
推荐剂量
WB: 1:1000-5000; IHC: 1:50-200; ICC/IF: 1:100-500; FCM: 1:50-100
抗体种类
Monoclonal
宿主来源Rabbit
构建方式Recombinant Antibody
纯化方式ProA affinity purified
性状Liquid
缓冲液1*TBS (pH7.4), 1%BSA, 40%Glycerol. Preservative: 0.05% Sodium Azide.
研究背景Calcyclin, also known as Prolactin receptor-associated protein (PRA), growth factor-inducible protein 2A9, S-100 calcium-binding protein A6 (S-100A6) or MLN 4, is a homodimeric member of the S-100 calcium-binding protein family whose expression is upregulated in proliferating and differentiating cells. Calcyclin is inducible by growth factors and overexpressed in acute myeloid leukemias. It is expressed in a cell-specific manner in subpopulations of neurons and astrocytes and in epithelial cells and fibroblasts. Calcyclin is a specific target of S-100B protein in vivo. The binding of Calcyclin to S-100B is stabilized by S-100B-bound calcium and zinc. Calcyclin associates with both Annexin XI and CacyBP (calcyclin-binding protein). It functions to activate several processes along the calcium signal transduction pathway including the regulation of cell growth, proliferation, secretion and exocytosis.
偶联与修饰
偶联
Unconjugated
抗原信息
免疫原
Recombinant Protein
Uniprot ID
化学信息
分子量Theoretical: 10 kDa.
储存&溶解度
储存方式Store at -20°C or -80°C for 12 months. Avoid repeated freeze-thaw cycles.
运输方式Shipping with blue ice.

计算器

  • 稀释 计算器
  • 配液 计算器
Related Tags: buy Anti-S100A6 Antibody (9N771) | purchase Anti-S100A6 Antibody (9N771) | Anti-S100A6 Antibody (9N771) cost | order Anti-S100A6 Antibody (9N771) | Anti-S100A6 Antibody (9N771) molecular weight