购物车
  • TargetMol
    您的购物车当前为空

Anti-RTN4 Antibody (3H783)

Synonyms: RTN 4
货号 TMAC-02870 一键复制产品信息
Rating icon 还可以

Anti-RTN4 Antibody (3H783) 是一种 Rabbit 抗体,靶向 RTN4。Anti-RTN4 Antibody (3H783) 可用于 FCM,ICC/IF,IHC,IP,WB。

Anti-RTN4 Antibody (3H783)

一键复制产品信息
Rating icon 还可以
货号 TMAC-02870

别名 RTN 4

Anti-RTN4 Antibody (3H783) 是一种 Rabbit 抗体,靶向 RTN4。Anti-RTN4 Antibody (3H783) 可用于 FCM,ICC/IF,IHC,IP,WB。

Anti-RTN4 Antibody (3H783)
规格价格库存数量
50 μL
¥ 1,495
5日内发货
100 μL
¥ 2,490
5日内发货
库存状态实时更新,以官网显示为准,现货产品可直接加购物车下单
大包装 & 定制
加入购物车
TargetMol的所有产品仅用作科学研究或药证申报,不能被用于人体,我们不向个人提供产品和服务。请您遵守承诺用途,不得违反法律法规规定用于任何其他用途。
实验操作小课堂
常见问题解答
查看更多

资源下载:产品操作手册

产品介绍


生物活性
产品描述
Anti-RTN4 Antibody (3H783) is a Rabbit antibody targeting RTN4. Anti-RTN4 Antibody (3H783) can be used in FCM,ICC/IF,IHC,IP,WB.
别名RTN 4
Ig Type
IgG
克隆号
3H783
反应种属
Human,Mouse
验证活性
1. Western blot analysis of Nogo on mouse skeletal muscle tissue (1) and Hela cell (2) lysate using anti-Nogo antibody at 1/1,000 dilution.
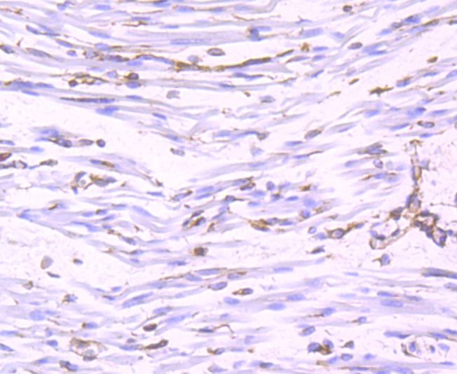
2. Immunohistochemical analysis of paraffin-embedded human breast tissue using anti-Nogo antibody. Counter stained with hematoxylin.
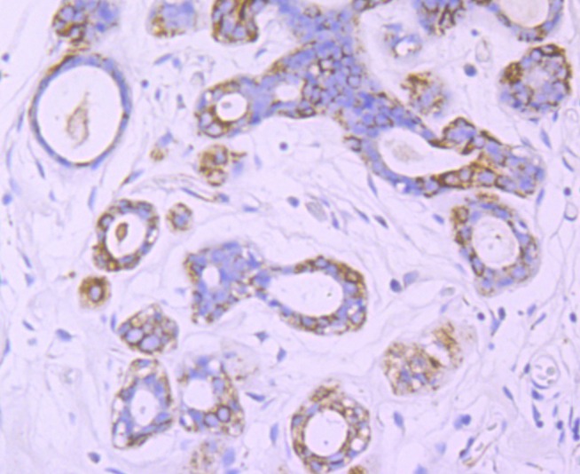
3. Immunohistochemical analysis of paraffin-embedded human fetal skeletal muscle tissue using anti-Nogo antibody. Counter stained with hematoxylin.
4. Immunohistochemical analysis of paraffin-embedded mouse testis tissue using anti-Nogo antibody. Counter stained with hematoxylin.
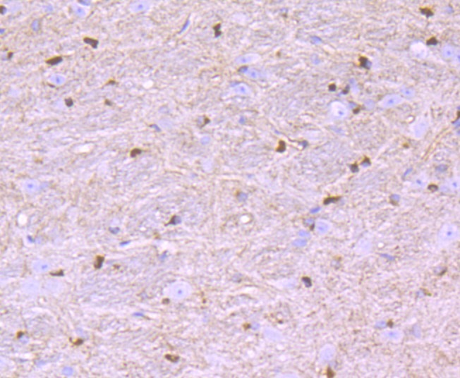
5. Immunohistochemical analysis of paraffin-embedded mouse brain tissue using anti-Nogo antibody. Counter stained with hematoxylin.
6. ICC staining Nogo in A549 cells (green). The nuclear counter stain is DAPI (blue). Cells were fixed in paraformaldehyde, permeabilised with 0.25% Triton X100/PBS.
7. ICC staining Nogo in HepG2 cells (green). The nuclear counter stain is DAPI (blue). Cells were fixed in paraformaldehyde, permeabilised with 0.25% Triton X100/PBS.
8. ICC staining Nogo in SH-SY5Y cells (green). The nuclear counter stain is DAPI (blue). Cells were fixed in paraformaldehyde, permeabilised with 0.25% Triton X100/PBS.
9. Flow cytometric analysis of Hela cells with Nogo antibody at 1/100 dilution (red) compared with an unlabelled control (cells without incubation with primary antibody; black).
verifiedActivityverifiedActivityverifiedActivityverifiedActivityverifiedActivityverifiedActivityverifiedActivityverifiedActivityverifiedActivity
应用FCMICC/IFIHCIPWB
推荐剂量
WB: 1:500-2000; IHC: 1:50-200; ICC/IF: 1:50-200; IP: 1:10-50; FCM: 1:50-100
抗体种类
Monoclonal
宿主来源Rabbit
构建方式Recombinant Antibody
纯化方式ProA affinity purified
性状Liquid
缓冲液1*TBS (pH7.4), 1%BSA, 40%Glycerol. Preservative: 0.05% Sodium Azide.
研究背景Developmental neurite growth regulatory factor with a role as a negative regulator of axon-axon adhesion and growth, and as a facilitator of neurite branching. Regulates neurite fasciculation, branching and extension in the developing nervous system. Involved in down-regulation of growth, stabilization of wiring and restriction of plasticity in the adult CNS. Regulates the radial migration of cortical neurons via an RTN4R-LINGO1 containing receptor complex. Isoform 2 reduces the apoptotic activity of Bcl-xl and Bcl-2. This is likely consecutive to their change in subcellular location, from the mitochondria to the endoplasmic reticulum, after binding and sequestration. Isoform 2 and isoform 3 inhibit BACE1 activity and amyloid precursor protein processing.
偶联与修饰
偶联
Unconjugated
抗原信息
免疫原
Recombinant Protein
Uniprot ID
储存&溶解度
储存方式Store at -20°C or -80°C for 12 months. Avoid repeated freeze-thaw cycles.
运输方式Shipping with blue ice.

计算器

  • 稀释 计算器
  • 配液 计算器
Related Tags: buy Anti-RTN4 Antibody (3H783) | purchase Anti-RTN4 Antibody (3H783) | Anti-RTN4 Antibody (3H783) cost | order Anti-RTN4 Antibody (3H783)