购物车
  • TargetMol
    您的购物车当前为空

Anti-RORC Polyclonal Antibody 3

Synonyms: RZRG, RORG, RORC, Retinoid-related orphan receptor-gamma, RAR-related orphan receptor C, Nuclear receptor subfamily 1 group F member 3, Nuclear receptor RZR-gamma, Nuclear receptor ROR-gamma, NR1F3
货号 TMAB-01634 一键复制产品信息
Rating icon 还可以
202603开学季活动

Anti-RORC Polyclonal Antibody 3 是一种 Rabbit 抗体,靶向 RORC。Anti-RORC Polyclonal Antibody 3 可用于 FCM,IF,IHC-Fr,IHC-P,WB。

Anti-RORC Polyclonal Antibody 3

一键复制产品信息
Rating icon 还可以
202603开学季活动
货号 TMAB-01634

别名 RZRG, RORG, RORC, Retinoid-related orphan receptor-gamma, RAR-related orphan receptor C, Nuclear receptor subfamily 1 group F member 3, Nuclear receptor RZR-gamma, Nuclear receptor ROR-gamma, NR1F3

Anti-RORC Polyclonal Antibody 3 是一种 Rabbit 抗体,靶向 RORC。Anti-RORC Polyclonal Antibody 3 可用于 FCM,IF,IHC-Fr,IHC-P,WB。

Anti-RORC Polyclonal Antibody 3
规格价格库存数量
50 μL
¥ 1,165
5日内发货
100 μL
¥ 1,960
5日内发货
200 μL
¥ 2,785
5日内发货
库存状态实时更新,以官网显示为准,现货产品可直接加购物车下单
大包装 & 定制
加入购物车

TargetMol的所有产品仅用作科学研究或药证申报,不能被用于人体,我们不向个人提供产品和服务。请您遵守承诺用途,不得违反法律法规规定用于任何其他用途。

实验操作小课堂
常见问题解答
查看更多

资源下载:产品操作手册

产品介绍


生物活性
产品描述
Anti-RORC Polyclonal Antibody 3 is a Rabbit antibody targeting RORC. Anti-RORC Polyclonal Antibody 3 can be used in FCM,IF,IHC-Fr,IHC-P,WB.
别名
RZRG, RORG, RORC, Retinoid-related orphan receptor-gamma, RAR-related orphan receptor C, Nuclear receptor subfamily 1 group F member 3, Nuclear receptor RZR-gamma, Nuclear receptor ROR-gamma, NR1F3
Ig Type
IgG
反应种属
Human,Rat (predicted:Mouse,Dog,Pig,Cow,Horse)
验证活性
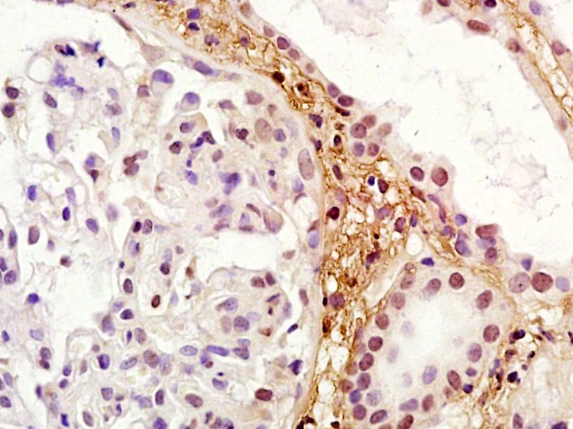
1. Paraformaldehyde-fixed, paraffin embedded (Human kidney); Antigen retrieval by boiling in sodium citrate buffer (pH6.0) for 15 min; Block endogenous peroxidase by 3% hydrogen peroxide for 20 min; Blocking buffer (normal goat serum) at 37°C for 30 min; Antibody incubation with (RORG) Polyclonal Antibody, Unconjugated (TMAB-01634) at 1:400 overnight at 4°C, followed by operating according to SP Kit (Rabbit) instructionsand DAB staining.
2. Blank control: Molt-4. Primary Antibody (green line): Rabbit Anti-ROR Gamma antibody (TMAB-01634)
Dilution: 1 μg/10^6 cells;
Isotype Control Antibody (orange line): Rabbit IgG.
Secondary Antibody: Goat anti-rabbit IgG-AF647
Dilution: 1 μg/test.
Protocol
The cells were fixed with 4% PFA (10 min at room temperature) and then permeabilized with 90% ice-cold methanol for 20 min at-20°C. The cells were then incubated in 5% BSA to block non-specific protein-protein interactions for 30 min at at room temperature. Cells stained with Primary Antibody for 30 min at room temperature. The secondary antibody used for 40 min at room temperature.
3. 25 μg total protein per Lane of various lysates probed with RORC polyclonal antibody, unconjugated (TMAB-01634) at 1:1000 dilution and 4°C overnight incubation. Followed by conjugated secondary antibody incubation at RT for 60 min.
verifiedActivityverifiedActivityverifiedActivity
应用FCMIFIHC-FrIHC-PWB
推荐剂量
WB: 1:500-2000; IHC-P: 1:100-500; IHC-Fr: 1:100-500; IF: 1:100-500; FCM: 1ug/test
抗体种类
Polyclonal
宿主来源Rabbit
亚细胞定位Nucleus (Probable).
组织特异性Isoform 1: widely expressed in many tissues, including liver and adipose, and highly expressed in skeletal muscle. Isoform 2: Primarily expressed in immature thymocytes.
构建方式Polyclonal Antibody
纯化方式Protein A purified
性状Liquid
缓冲液0.01M TBS (pH7.4) with 1% BSA, 0.02% Proclin300 and 50% Glycerol.
浓度1 mg/mL
研究背景The protein encoded by this gene is a DNA-binding transcription factor and is a member of the NR1 subfamily of nuclear hormone receptors. The specific functions of this protein are not known; however, studies of a similar gene in mice have shown that this gene may be essential for lymphoid organogenesis and may play an important regulatory role in thymopoiesis. In addition, studies in mice suggest that the protein encoded by this gene may inhibit the expression of Fas ligand and IL2. Two transcript variants encoding different isoforms have been found for this gene. [provided by RefSeq, Jul 2008]
抗原信息
免疫原
KLH conjugated synthetic peptide: human RORC
抗原种属
Human
基因名称
RORC
基因ID
蛋白名称
Nuclear receptor ROR-gamma
Uniprot ID
研究领域
Corticoid,Transcription Factors,Hormones
功能
Possible nuclear receptor for hydroxycholesterols, the binding of which strongly promotes coactivators recruitment. Essential for thymopoiesis and the development of several secondary lymphoid tissues, including lymph nodes. Involved in lineage specification of uncommitted CD4(+) T helper cells into Th17 cells. Regulate the expression of several components of the circadian clock.
化学信息
分子量Theoretical: 57 kDa. Actual: 55 kDa.
储存&溶解度
储存方式Store at -20°C or -80°C for 12 months. Avoid repeated freeze-thaw cycles.
运输方式Shipping with blue ice.

计算器

  • 稀释 计算器
  • 配液 计算器
Related Tags: buy Anti-RORC Polyclonal Antibody 3 | purchase Anti-RORC Polyclonal Antibody 3 | Anti-RORC Polyclonal Antibody 3 cost | order Anti-RORC Polyclonal Antibody 3 | Anti-RORC Polyclonal Antibody 3 molecular weight