购物车
  • 全部删除
  • TargetMol
    您的购物车当前为空

Anti-RON/CD136 Antibody (7D3)

Rating icon 还可以
产品编号 TMAC-03620
别名 RON, PTK8, macrophage stimulating 1 receptor, CDw136, CD136

Anti-RON/CD136 Antibody (7D3) 是一种 Rabbit 抗体,靶向 RON/CD136。Anti-RON/CD136 Antibody (7D3) 可用于 FCM,ICC/IF,IHC,IP,WB。

Anti-RON/CD136 Antibody (7D3)

Anti-RON/CD136 Antibody (7D3)

一键复制产品信息
Rating icon 还可以
产品编号 TMAC-03620 别名 RON, PTK8, macrophage stimulating 1 receptor, CDw136, CD136

Anti-RON/CD136 Antibody (7D3) 是一种 Rabbit 抗体,靶向 RON/CD136。Anti-RON/CD136 Antibody (7D3) 可用于 FCM,ICC/IF,IHC,IP,WB。

规格价格库存数量
50 μL
¥ 1,480
5日内发货
100 μL
¥ 2,485
5日内发货
大包装 & 定制
加入购物车
TargetMol 的所有产品仅用作科学研究或药证申报,不能被用于人体,我们不向个人提供产品和服务。请您遵守承诺用途,不得违反法律法规规定用于任何其他用途。
实验操作小课堂
常见问题解答
查看更多
联系我们获取更多批次信息
资源下载

产品介绍

生物活性
产品描述
Anti-RON/CD136 Antibody (7D3) is a Rabbit antibody targeting RON/CD136. Anti-RON/CD136 Antibody (7D3) can be used in FCM,ICC/IF,IHC,IP,WB.
别名RON, PTK8, macrophage stimulating 1 receptor, CDw136, CD136
Ig Type
IgG
克隆号
7D3
交叉反应
Human
验证活性
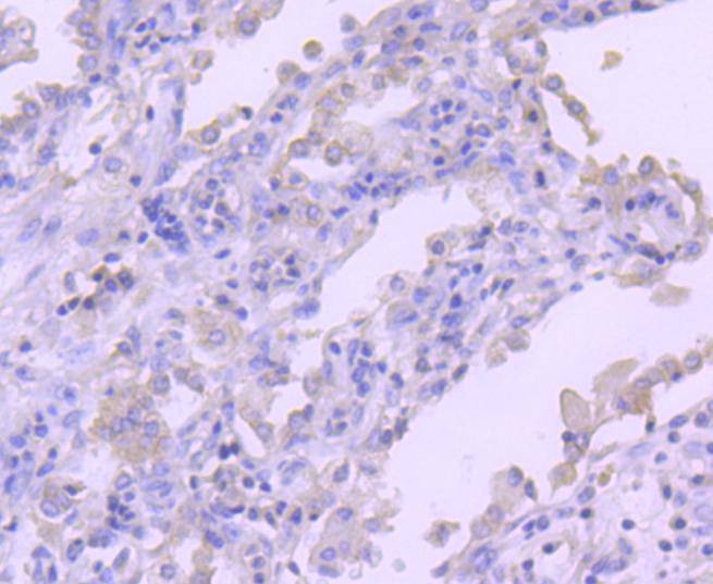
1. Immunohistochemical analysis of paraffin-embedded human lung cancer tissue using anti-RON antibody. Counter stained with hematoxylin.
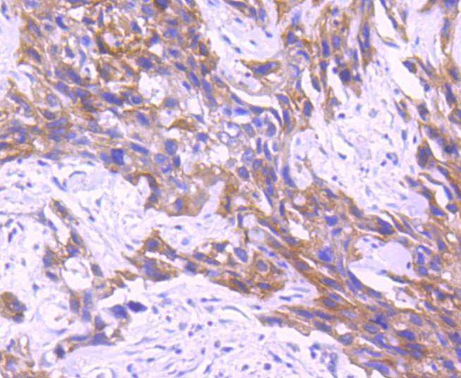
2. Immunohistochemical analysis of paraffin-embedded human breast carcinoma tissue using anti-RON antibody. Counter stained with hematoxylin.
3. ICC staining RON in A549 cells (green). The nuclear counter stain is DAPI (blue). Cells were fixed in paraformaldehyde, permeabilised with 0.25% Triton X100/PBS.
4. ICC staining RON in AGS cells (green). The nuclear counter stain is DAPI (blue). Cells were fixed in paraformaldehyde, permeabilised with 0.25% Triton X100/PBS.
5. ICC staining RON in A431 cells (green). The nuclear counter stain is DAPI (blue). Cells were fixed in paraformaldehyde, permeabilised with 0.25% Triton X100/PBS.
6. Flow cytometric analysis of THP-1 cells with RON antibody at 1/50 dilution (red) compared with an unlabelled control (cells without incubation with primary antibody; black). Alexa Fluor 488-conjugated goat anti rabbit IgG was used as the secondary antibody.
verifiedActivityverifiedActivityverifiedActivityverifiedActivityverifiedActivityverifiedActivity
应用FCMICC/IFIHCIPWB
推荐剂量
WB: 1:1000; IHC: 1:50-200; ICC/IF: 1:50-200; FCM: 1:50-100
抗体种类
Monoclonal
宿主来源Rabbit
构建方式Recombinant Antibody
纯化方式ProA affinity purified
性状Liquid
缓冲液1*TBS (pH7.4), 1%BSA, 40%Glycerol. Preservative: 0.05% Sodium Azide.
研究背景Receptor protein tyrosine kinases (PTKs) have been classified into different subclasses on the basis of sequence similarity and distinct structural characteristics. The c-Met encoded receptor represents the initial member of one class of receptors characterized by a heterodimeric structure and a cysteine-rich extracellular domain. Ron, also designated macrophage-stimulating protein receptor (MSP receptor), p185-Ron, CD136 antigen or PTK8 represents a second member of this receptor class. The intracellular PTK domains of Ron and Met are highly similar (63% sequence identity) while the extracellular domains are less related (25% sequence identity) and both are rich in cysteine residues. Mature Ron receptor is comprised of a disulfide-linked heterodimer formed from an alpha chain (Ron α) and a beta chain (Ron β). Proteolytic processing results in the separation of the N-terminal Ron α and C-terminal Ron β subunits.
偶联与修饰
偶联
Unconjugated
抗原信息
免疫原
Recombinant Protein
Uniprot ID
化学信息
分子量Theoretical: 185 kDa.
存储&运输
储存方式Store at -20°C or -80°C for 12 months. Avoid repeated freeze-thaw cycles.
运输方式Shipping with blue ice.

计算器

  • 稀释 计算器

关键词

评论列表

4个月前
5.0
Rating icon 很棒

评论内容

Related Tags: buy Anti-RON/CD136 Antibody (7D3) | purchase Anti-RON/CD136 Antibody (7D3) | Anti-RON/CD136 Antibody (7D3) cost | order Anti-RON/CD136 Antibody (7D3) | Anti-RON/CD136 Antibody (7D3) molecular weight