购物车
  • TargetMol
    您的购物车当前为空

Anti-ROCK1 Antibody (4X563)

Synonyms: ROCK 1, Rho associated protein kinase 1, Rho associated coiled coil containing protein kinase 1, Renal carcinoma antigen NY REN 35, p160ROCK, p160 ROCK1
货号 TMAC-03616 一键复制产品信息
Rating icon 还可以

Anti-ROCK1 Antibody (4X563) 是一种 Rabbit 抗体,靶向 ROCK1。Anti-ROCK1 Antibody (4X563) 可用于 FCM,ICC/IF,IHC,IP,WB。

Anti-ROCK1 Antibody (4X563)

一键复制产品信息
Rating icon 还可以
货号 TMAC-03616

别名 ROCK 1, Rho associated protein kinase 1, Rho associated coiled coil containing protein kinase 1, Renal carcinoma antigen NY REN 35, p160ROCK, p160 ROCK1

Anti-ROCK1 Antibody (4X563) 是一种 Rabbit 抗体,靶向 ROCK1。Anti-ROCK1 Antibody (4X563) 可用于 FCM,ICC/IF,IHC,IP,WB。

Anti-ROCK1 Antibody (4X563)
规格价格库存数量
50 μL
¥ 1,485
5日内发货
100 μL
¥ 2,480
5日内发货
库存状态实时更新,以官网显示为准,现货产品可直接加购物车下单
大包装 & 定制
加入购物车
TargetMol的所有产品仅用作科学研究或药证申报,不能被用于人体,我们不向个人提供产品和服务。请您遵守承诺用途,不得违反法律法规规定用于任何其他用途。
实验操作小课堂
常见问题解答
查看更多

资源下载:产品操作手册

产品介绍


生物活性
产品描述
Anti-ROCK1 Antibody (4X563) is a Rabbit antibody targeting ROCK1. Anti-ROCK1 Antibody (4X563) can be used in FCM,ICC/IF,IHC,IP,WB.
别名ROCK 1, Rho associated protein kinase 1, Rho associated coiled coil containing protein kinase 1, Renal carcinoma antigen NY REN 35, p160ROCK, p160 ROCK1
Ig Type
IgG
克隆号
4X563
反应种属
Human,Mouse,Rat
验证活性
1. Western blot analysis of ROCK1 on different lysates using anti-ROCK1 antibody at 1/1,000 dilution. Positive control: Lane 1: A431, Lane 2: NIH/3T3.
2. Immunohistochemical analysis of paraffin-embedded mouse thyroid tissue using anti-ROCK1 antibody. Counter stained with hematoxylin.
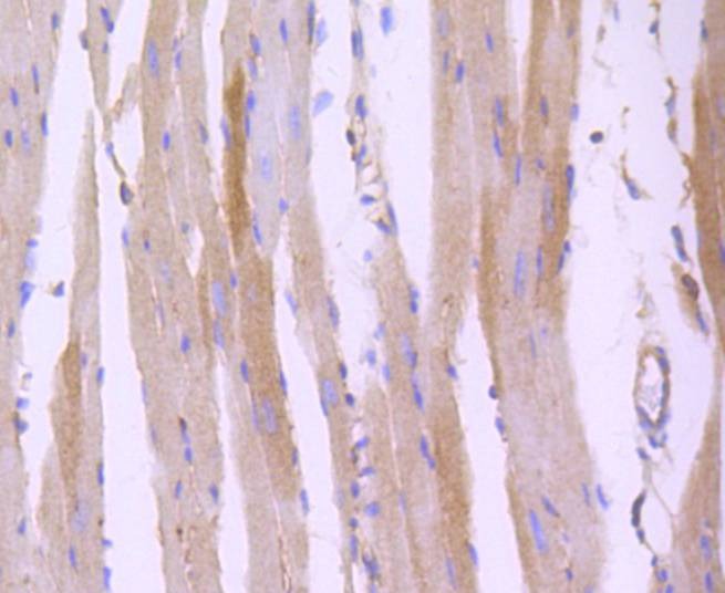
3. Immunohistochemical analysis of paraffin-embedded mouse heart tissue using anti-ROCK1 antibody. Counter stained with hematoxylin.
4. Immunohistochemical analysis of paraffin-embedded human thyroid tissue using anti-ROCK1 antibody. Counter stained with hematoxylin.
verifiedActivityverifiedActivityverifiedActivityverifiedActivity
应用FCMICC/IFIHCIPWB
推荐剂量
WB: 1:1000-5000; IHC: 1:50-200; ICC/IF: 1:50-200; FCM: 1:50-100
抗体种类
Monoclonal
宿主来源Rabbit
构建方式Recombinant Antibody
纯化方式ProA affinity purified
性状Liquid
缓冲液1*TBS (pH7.4), 1%BSA, 40%Glycerol. Preservative: 0.05% Sodium Azide.
研究背景Rho, the Ras-related small GTPase, is responsible for the regulation of Actin-based cytoskeletal structures including stress fibers, focal adhesions and the contractile ring apparatus. Rho proteins function as molecular switches that are able to turn cytokinesis on and off. Although little is known about signaling downstream of Rho, a host of putative Rho effector proteins have been described, including rhophilin, Rhotekin, citron and the serine/threonine kinase, protein kinase N. Two additional Rho-activated serine/threonine kinases have been described, designated Rock-1 and Rock-2 (also referred to as Roka, for Rho-associated coil-containing protein kinase). Rock-1 and Rock-2 share a structural similarity with myotonic dystrophy kinase.
偶联与修饰
偶联
Unconjugated
抗原信息
免疫原
Recombinant Protein
Uniprot ID
化学信息
分子量Theoretical: 158 kDa.
储存&溶解度
储存方式Store at -20°C or -80°C for 12 months. Avoid repeated freeze-thaw cycles.
运输方式Shipping with blue ice.

计算器

  • 稀释 计算器
  • 配液 计算器
Related Tags: buy Anti-ROCK1 Antibody (4X563) | purchase Anti-ROCK1 Antibody (4X563) | Anti-ROCK1 Antibody (4X563) cost | order Anti-ROCK1 Antibody (4X563) | Anti-ROCK1 Antibody (4X563) molecular weight