购物车
  • 全部删除
  • TargetMol
    您的购物车当前为空

Anti-RING1 Antibody (1C89)

Rating icon 还可以
产品编号 TMAC-03607
别名 Transcription repressor Ring1A, Rnf1, RING1A, Ring1A, RING1_HUMAN, RING finger protein 1, Ring 1, Really interesting new gene 1 protein, Polycomb complex protein RING1, E3 ubiquitin-protein ligase RING1

Anti-RING1 Antibody (1C89) 是一种 Mouse 抗体,靶向 RING1。Anti-RING1 Antibody (1C89) 可用于 FCM,IHC,WB。

Anti-RING1 Antibody (1C89)

Anti-RING1 Antibody (1C89)

一键复制产品信息
Rating icon 还可以
产品编号 TMAC-03607 别名 Transcription repressor Ring1A, Rnf1, RING1A, Ring1A, RING1_HUMAN, RING finger protein 1, Ring 1, Really interesting new gene 1 protein, Polycomb complex protein RING1, E3 ubiquitin-protein ligase RING1

Anti-RING1 Antibody (1C89) 是一种 Mouse 抗体,靶向 RING1。Anti-RING1 Antibody (1C89) 可用于 FCM,IHC,WB。

规格价格库存数量
50 μL
¥ 1,980
5日内发货
100 μL
¥ 2,980
5日内发货
大包装 & 定制
加入购物车
TargetMol 的所有产品仅用作科学研究或药证申报,不能被用于人体,我们不向个人提供产品和服务。请您遵守承诺用途,不得违反法律法规规定用于任何其他用途。
实验操作小课堂
常见问题解答
查看更多
联系我们获取更多批次信息
资源下载

产品介绍

生物活性
产品描述
Anti-RING1 Antibody (1C89) is a Mouse antibody targeting RING1. Anti-RING1 Antibody (1C89) can be used in FCM,IHC,WB.
别名Transcription repressor Ring1A, Rnf1, RING1A, Ring1A, RING1_HUMAN, RING finger protein 1, Ring 1, Really interesting new gene 1 protein, Polycomb complex protein RING1, E3 ubiquitin-protein ligase RING1
克隆号
1C89
交叉反应
Human
验证活性
1. Western blot analysis of Ring1 on human Ring1 recombinant protein using anti-Ring1 antibody at 1/1,000 dilution.
2. Western blot analysis of Ring1 on HEK293 (1) and Ring1-hIgGFc transfected HEK293 (2) cell lysate using anti-Ring1 antibody at 1/1,000 dilution.
3. Western blot analysis of Ring1 on different cell lysate using anti-Ring1 antibody at 1/1,000 dilution. Positive control: Line1: MOLT-4, Line2: LNCaP, Line3: Hela, Line4: HEK-293, Line5: Jurkat.
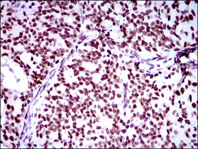
4. Immunohistochemical analysis of paraffin-embedded human cervical cancer tissue using anti-Ring1 antibody. Counter stained with hematoxylin.
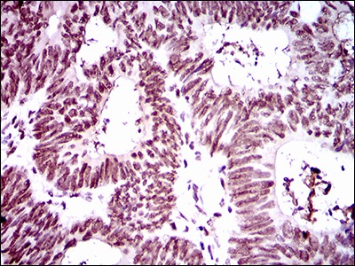
5. Immunohistochemical analysis of paraffin-embedded human rectum cancer tissue using anti-Ring1 antibody. Counter stained with hematoxylin.
6. Flow cytometric analysis of Hela cells with Ring1 antibody at 1/100 dilution (green) compared with an unlabelled control (cells without incubation with primary antibody; red).
verifiedActivityverifiedActivityverifiedActivityverifiedActivityverifiedActivityverifiedActivity
应用FCMIHCWB
推荐剂量
WB: 1:500-1000; IHC: 1:100-200; FCM: 1:100-200
抗体种类
Monoclonal
宿主来源Mouse
构建方式Hybridoma Monoclonal Antibody
纯化方式ProA affinity purified
性状Liquid
缓冲液1*TBS (pH7.4), 1%BSA, 40%Glycerol. Preservative: 0.05% Sodium Azide.
研究背景In Drosophila, the Polycomb (PcG) gene family encodes chromatin proteins that are required for the repression of homeotic loci during embryonic development. The human PcG homologues form two distinct multimeric protein complexes, the EED/EZH protein complex and the HPC/HPH protein complex, which have mutually exclusive expression patterns. The HPC/HPH PcG complex contains the human polycomb 2 (HPC2), human polyhomeotic (HPH), Bmi-1 and RING1 proteins. The human RING1 gene, which is proximal to the major histocompatibility complex region on chromosome six, encodes for a protein that contains a RING finger motif, a zinc-binding domain found in many regulatory proteins, but unlike the other human PcG genes, RING1 displays no homology to known Drosophila PcG genes. RING1 strongly represses En-2, the mammalian homolog of the Drosophila engrailed gene, and when overexpressed, it mediates an increase in the expression of proto-oncogenes, such as c-Jun and c-fos. Also, loss of RING1 and Bmi-1 expression correlates with the differentiation of B cells, which suggests a role for RING1 in germinal center development.
偶联与修饰
偶联
Unconjugated
抗原信息
免疫原
Recombinant Protein
Uniprot ID
化学信息
分子量Theoretical: 50 kDa.
存储&运输
储存方式Store at -20°C or -80°C for 12 months. Avoid repeated freeze-thaw cycles.
运输方式Shipping with blue ice.

计算器

  • 稀释 计算器

评论列表

4个月前
5.0
Rating icon 很棒

评论内容

Related Tags: buy Anti-RING1 Antibody (1C89) | purchase Anti-RING1 Antibody (1C89) | Anti-RING1 Antibody (1C89) cost | order Anti-RING1 Antibody (1C89) | Anti-RING1 Antibody (1C89) molecular weight