购物车
  • TargetMol
    您的购物车当前为空

Anti-RET Antibody (8T974)

Synonyms: RET-ELE1, RET51, ret proto-oncogene, PTC, MTC1, MEN2B, MEN2A, HSCR1, CDHR16, CDHF12
货号 TMAC-03578 一键复制产品信息
Rating icon 还可以
202603开学季活动

Anti-RET Antibody (8T974) 是一种 Rabbit 抗体,靶向 RET。Anti-RET Antibody (8T974) 可用于 FCM,ICC/IF,IHC,IP,WB。

Anti-RET Antibody (8T974)

一键复制产品信息
Rating icon 还可以
202603开学季活动
货号 TMAC-03578

别名 RET-ELE1, RET51, ret proto-oncogene, PTC, MTC1, MEN2B, MEN2A, HSCR1, CDHR16, CDHF12

Anti-RET Antibody (8T974) 是一种 Rabbit 抗体,靶向 RET。Anti-RET Antibody (8T974) 可用于 FCM,ICC/IF,IHC,IP,WB。

Anti-RET Antibody (8T974)
规格价格库存数量
50 μL
¥ 1,495
5日内发货
100 μL
¥ 2,485
5日内发货
库存状态实时更新,以官网显示为准,现货产品可直接加购物车下单
大包装 & 定制
加入购物车

TargetMol的所有产品仅用作科学研究或药证申报,不能被用于人体,我们不向个人提供产品和服务。请您遵守承诺用途,不得违反法律法规规定用于任何其他用途。

实验操作小课堂
常见问题解答
查看更多

资源下载:产品操作手册

产品介绍


生物活性
产品描述
Anti-RET Antibody (8T974) is a Rabbit antibody targeting RET. Anti-RET Antibody (8T974) can be used in FCM,ICC/IF,IHC,IP,WB.
别名
RET-ELE1, RET51, ret proto-oncogene, PTC, MTC1, MEN2B, MEN2A, HSCR1, CDHR16, CDHF12
Ig Type
IgG
克隆号
8T974
反应种属
Human,Mouse,Rat
验证活性
1. Western blot analysis of Ret on MCF-7 cells lysates using anti-Ret antibody at 1/1,000 dilution.
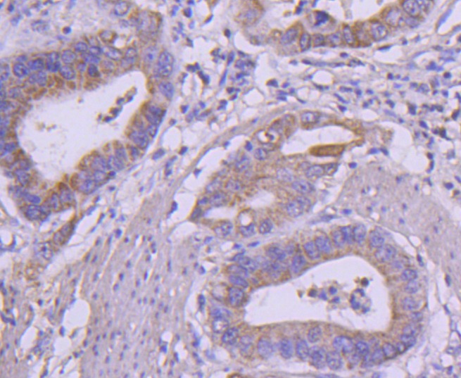
2. Immunohistochemical analysis of paraffin-embedded human gastric carcinoma tissue using anti-Ret antibody. Counter stained with hematoxylin.
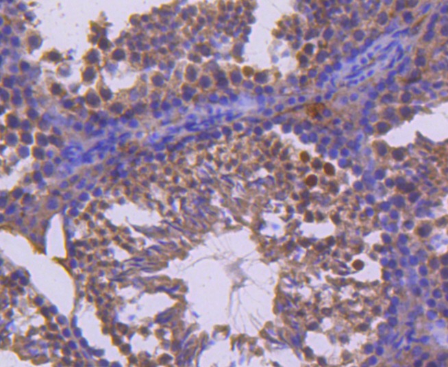
3. Immunohistochemical analysis of paraffin-embedded mouse testis tissue using anti-Ret antibody. Counter stained with hematoxylin.
4. ICC staining Ret in AGS cells (green). The nuclear counter stain is DAPI (blue). Cells were fixed in paraformaldehyde, permeabilised with 0.25% Triton X100/PBS.
5. ICC staining Ret in MCF-7 cells (green). The nuclear counter stain is DAPI (blue). Cells were fixed in paraformaldehyde, permeabilised with 0.25% Triton X100/PBS.
6. ICC staining Ret in SW480 cells (green). The nuclear counter stain is DAPI (blue). Cells were fixed in paraformaldehyde, permeabilised with 0.25% Triton X100/PBS.
7. Flow cytometric analysis of SW480 cells with Ret antibody at 1/50 dilution (red) compared with an unlabelled control (cells without incubation with primary antibody; black). Alexa Fluor 488-conjugated goat anti rabbit IgG was used as the secondary antibody.
verifiedActivityverifiedActivityverifiedActivityverifiedActivityverifiedActivityverifiedActivityverifiedActivity
应用FCMICC/IFIHCIPWB
推荐剂量
WB: 1:1000-2000; IHC: 1:50-200; ICC/IF: 1:100-500; FCM: 1:50-100
抗体种类
Monoclonal
宿主来源Rabbit
构建方式Recombinant Antibody
纯化方式ProA affinity purified
性状Liquid
缓冲液1*TBS (pH7.4), 1%BSA, 40%Glycerol. Preservative: 0.05% Sodium Azide.
研究背景The Ret proto-oncogene (c-Ret) is a receptor tyrosine kinase that functions as a multicomponent receptor complex in conjunction with other membrane-bound, ligand-binding GDNF family receptors. Ligands that bind the Ret receptor include the glial cell line-derived neurotrophic factor (GDNF) and its congeners neurturin, persephin, and artemin. Research studies have shown that alterations in the corresponding RET gene are associated with diseases including papillary thyroid carcinoma, multiple endocrine neoplasia (type 2A and 2B), familial medullary thyroid carcinoma, and a congenital developmental disorder known as Hirschsprung??s disease. The Tyr905 residue located in the Ret kinase domain plays a crucial role in Ret catalytic and biological activity. Substitution of Phe for Tyr at position 905 dramatically inhibits Ret autophosphorylation activity.
偶联与修饰
偶联
Unconjugated
抗原信息
免疫原
Recombinant Protein
Uniprot ID
化学信息
分子量Theoretical: 150/175 kDa.
储存&溶解度
储存方式Store at -20°C or -80°C for 12 months. Avoid repeated freeze-thaw cycles.
运输方式Shipping with blue ice.

计算器

  • 稀释 计算器
  • 配液 计算器
Related Tags: buy Anti-RET Antibody (8T974) | purchase Anti-RET Antibody (8T974) | Anti-RET Antibody (8T974) cost | order Anti-RET Antibody (8T974) | Anti-RET Antibody (8T974) molecular weight