购物车
  • TargetMol
    您的购物车当前为空

Anti-NF-kB p65 Antibody (4U638)

Synonyms: v-rel avian reticuloendotheliosis viral oncogene homolog A, p65, NFKB3
货号 TMAC-02810 一键复制产品信息
Rating icon 还可以

Anti-NF-kB p65 Antibody (4U638) 是一种 Rabbit 抗体,靶向 NF-kB p65。Anti-NF-kB p65 Antibody (4U638) 可用于 FCM,ICC/IF,IHC,IP,WB。

Anti-NF-kB p65 Antibody (4U638)

一键复制产品信息
Rating icon 还可以
货号 TMAC-02810

别名 v-rel avian reticuloendotheliosis viral oncogene homolog A, p65, NFKB3

Anti-NF-kB p65 Antibody (4U638) 是一种 Rabbit 抗体,靶向 NF-kB p65。Anti-NF-kB p65 Antibody (4U638) 可用于 FCM,ICC/IF,IHC,IP,WB。

Anti-NF-kB p65 Antibody (4U638)
规格价格库存数量
50 μL
¥ 1,490
5日内发货
100 μL
¥ 2,495
5日内发货
库存状态实时更新,以官网显示为准,现货产品可直接加购物车下单
大包装 & 定制
加入购物车
TargetMol的所有产品仅用作科学研究或药证申报,不能被用于人体,我们不向个人提供产品和服务。请您遵守承诺用途,不得违反法律法规规定用于任何其他用途。
实验操作小课堂
常见问题解答
查看更多

资源下载:产品操作手册

产品介绍


生物活性
产品描述
Anti-NF-kB p65 Antibody (4U638) is a Rabbit antibody targeting NF-kB p65. Anti-NF-kB p65 Antibody (4U638) can be used in FCM,ICC/IF,IHC,IP,WB.
别名v-rel avian reticuloendotheliosis viral oncogene homolog A, p65, NFKB3
Ig Type
IgG
克隆号
4U638
反应种属
Human,Mouse,zebrafish
验证活性
1. Western blot analysis of NF-kB p65 on different lysates using anti-NF-kB p65 antibody at 1/1,000 dilution. Positive control: Lane 1: MCF-7, Lane 2: Hela.
2. Western blot analysis of NF-kB p65 on hybrid fish (crucian-carp) heart tissue lysate using anti-NF-kB p65 antibody at 1/500 dilution.
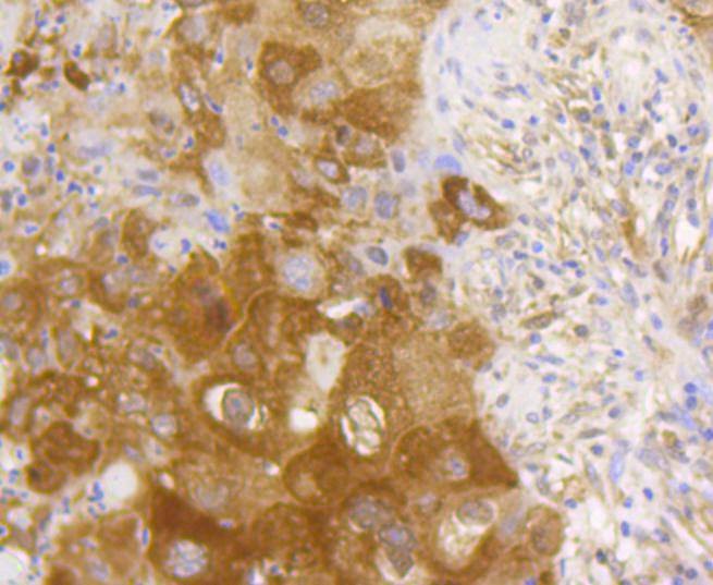
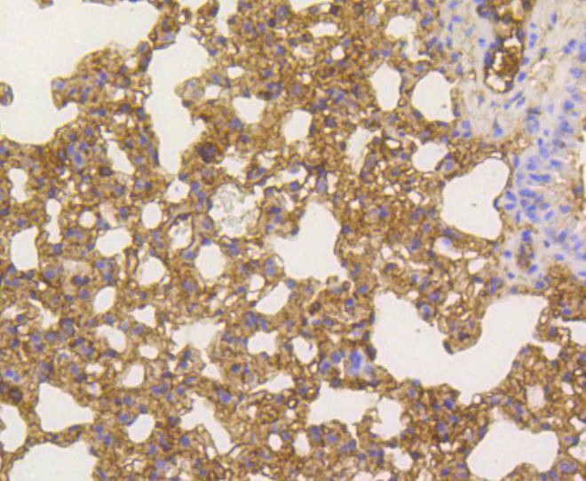
3. Immunohistochemical analysis of paraffin-embedded human lung cancer tissue using anti-NF-kB p65 antibody. Counter stained with hematoxylin.
4. Immunohistochemical analysis of paraffin-embedded human breast carcinoma tissue using anti-NF-kB p65 antibody. Counter stained with hematoxylin.
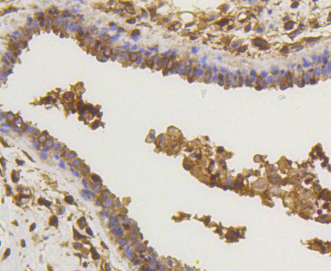
5. Immunohistochemical analysis of paraffin-embedded mouse lung tissue using anti-NF-kB p65 antibody. Counter stained with hematoxylin.
6. ICC staining NF-kB p65 in Hela cells (green). The nuclear counter stain is DAPI (blue). Cells were fixed in paraformaldehyde, permeabilised with 0.25% Triton X100/PBS.
7. ICC staining NF-kB p65 in A549 cells (green). The nuclear counter stain is DAPI (blue). Cells were fixed in paraformaldehyde, permeabilised with 0.25% Triton X100/PBS.
8. ICC staining NF-kB p65 in NIH/3T3 cells (green). The nuclear counter stain is DAPI (blue). Cells were fixed in paraformaldehyde, permeabilised with 0.25% Triton X100/PBS.
9. Flow cytometric analysis of Hela cells with NF-kB p65 antibody at 1/50 dilution (blue) compared with an unlabelled control (cells without incubation with primary antibody; red). Alexa Fluor 488-conjugated goat anti rabbit IgG was used as the secondary antibody.
verifiedActivityverifiedActivityverifiedActivityverifiedActivityverifiedActivityverifiedActivityverifiedActivityverifiedActivityverifiedActivity
应用FCMICC/IFIHCIPWB
推荐剂量
WB: 1:1000-2000; IHC: 1:50-200; ICC/IF: 1:50-200; FCM: 1:50-100
抗体种类
Monoclonal
宿主来源Rabbit
构建方式Recombinant Antibody
纯化方式ProA affinity purified
性状Liquid
缓冲液1*TBS (pH7.4), 1%BSA, 40%Glycerol. Preservative: 0.05% Sodium Azide.
研究背景Proteins encoded by the v-Rel viral oncogene and its cellular homolog, c-Rel, are members of a family of transcription factors that include the two subunits of the transcription factor NF kB (p50 and p65) and the Drosophila maternal morphogen, dorsal. Both proteins specifically bind to DNA sequences that are the same or slight variations of the 10 bp kB sequence in the immunoglobulin k light chain enhancer. This same sequence is also present in a number of other cellular and viral enhancers. The DNA binding activity of NFkB is activated and NFkB is subsequently transported from the cytoplasm to the nucleus in cells exposed to mitogens or growth factors. cDNAs encoding precursors for two distinct proteins of the same size have been described, designated p105 and p100. The p105 precursor contains p50 at its N-terminus and a C-terminal region that when expressed as a separate molecule, designated pdI, binds to p50 and regulates its activity.
偶联与修饰
偶联
Unconjugated
抗原信息
免疫原
Recombinant Protein
Uniprot ID
化学信息
分子量Theoretical: 65 kDa.
储存&溶解度
储存方式Store at -20°C or -80°C for 12 months. Avoid repeated freeze-thaw cycles.
运输方式Shipping with blue ice.

计算器

  • 稀释 计算器
  • 配液 计算器

关键词

Related Tags: buy Anti-NF-kB p65 Antibody (4U638) | purchase Anti-NF-kB p65 Antibody (4U638) | Anti-NF-kB p65 Antibody (4U638) cost | order Anti-NF-kB p65 Antibody (4U638) | Anti-NF-kB p65 Antibody (4U638) molecular weight