购物车
  • 全部删除
  • TargetMol
    您的购物车当前为空

Anti-RanGAP1 Antibody (8X592)

Rating icon 还可以
产品编号 TMAC-03531
别名 Segregation distortion, Segregation distorter homolog, SD, RanGAP1, RanGAP 1, RANGAP 1, RANGAP, Ran1, Ran GTPase-activating protein 1, RAN GTPase activating protein 1, Ran 1, RAGP1_HUMAN, OTTHUMP00000198758, OTTHUMP00000198757, OTTHUMP00000198756, OTTHUMP00000198755, OTTHUMP00000028918, MGC20266, KIAA1835, GTPase-activating protein, RAN, 1, Fug1, Fug 1

Anti-RanGAP1 Antibody (8X592) 是一种 Rabbit 抗体,靶向 RanGAP1。Anti-RanGAP1 Antibody (8X592) 可用于 FCM,ICC,IF,IHC,IP,WB。

Anti-RanGAP1 Antibody (8X592)

Anti-RanGAP1 Antibody (8X592)

一键复制产品信息
Rating icon 还可以
产品编号 TMAC-03531 别名 Segregation distortion, Segregation distorter homolog, SD, RanGAP1, RanGAP 1, RANGAP 1, RANGAP, Ran1, Ran GTPase-activating protein 1, RAN GTPase activating protein 1, Ran 1, RAGP1_HUMAN, OTTHUMP00000198758, OTTHUMP00000198757, OTTHUMP00000198756, OTTHUMP00000198755, OTTHUMP00000028918, MGC20266, KIAA1835, GTPase-activating protein, RAN, 1, Fug1, Fug 1

Anti-RanGAP1 Antibody (8X592) 是一种 Rabbit 抗体,靶向 RanGAP1。Anti-RanGAP1 Antibody (8X592) 可用于 FCM,ICC,IF,IHC,IP,WB。

规格价格库存数量
50 μL
¥ 1,495
5日内发货
100 μL
¥ 2,490
5日内发货
大包装 & 定制
加入购物车
TargetMol 的所有产品仅用作科学研究或药证申报,不能被用于人体,我们不向个人提供产品和服务。请您遵守承诺用途,不得违反法律法规规定用于任何其他用途。
实验操作小课堂
常见问题解答
查看更多
联系我们获取更多批次信息
资源下载

产品介绍

生物活性
产品描述
Anti-RanGAP1 Antibody (8X592) is a Rabbit antibody targeting RanGAP1. Anti-RanGAP1 Antibody (8X592) can be used in FCM,ICC,IF,IHC,IP,WB.
别名Segregation distortion, Segregation distorter homolog, SD, RanGAP1, RanGAP 1, RANGAP 1, RANGAP, Ran1, Ran GTPase-activating protein 1, RAN GTPase activating protein 1, Ran 1, RAGP1_HUMAN, OTTHUMP00000198758, OTTHUMP00000198757, OTTHUMP00000198756, OTTHUMP00000198755, OTTHUMP00000028918, MGC20266, KIAA1835, GTPase-activating protein, RAN, 1, Fug1, Fug 1
Ig Type
IgG
克隆号
8X592
交叉反应
Human,Mouse,Rat
验证活性
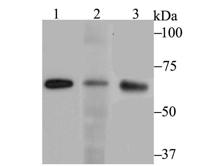
1. Western blot analysis of RanGAP1 on different cell lysates using anti-RanGAP1 antibody at 1/1,000 dilution. Positive control: Lane 1: MCF-7, Lane 2: SiHa, Lane 3: 293.
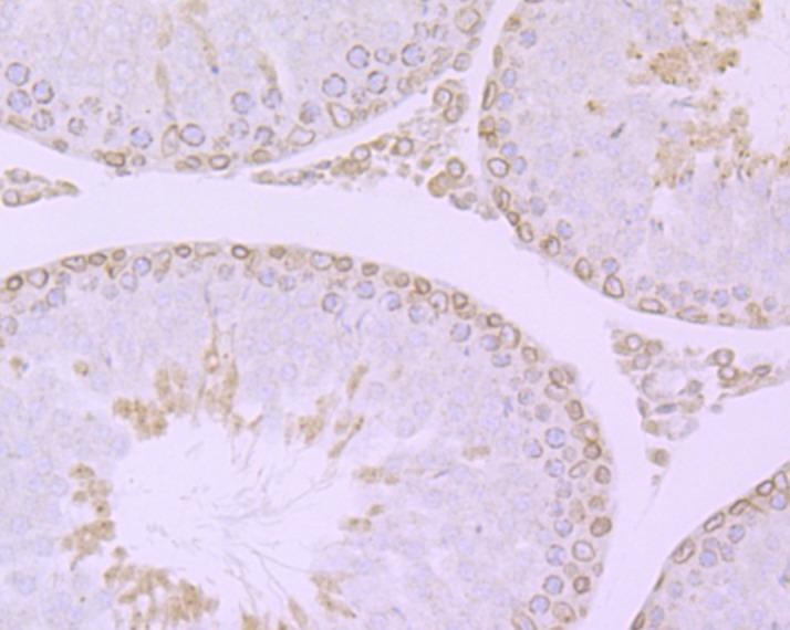
2. Immunohistochemical analysis of paraffin-embedded rat testis tissue using anti-RanGAP1 antibody. Counter stained with hematoxylin.
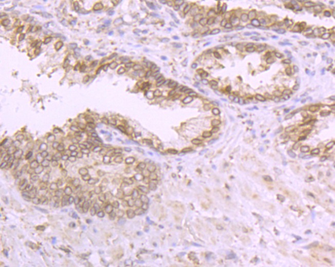
3. Immunohistochemical analysis of paraffin-embedded human prostate tissue using anti-RanGAP1 antibody. Counter stained with hematoxylin.
4. Immunohistochemical analysis of paraffin-embedded mouse brain tissue using anti-RanGAP1 antibody. Counter stained with hematoxylin.
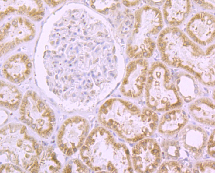
5. Immunohistochemical analysis of paraffin-embedded human kidney tissue using anti-RanGAP1 antibody. Counter stained with hematoxylin.
6. ICC staining RanGAP1 (green) in 293T cells. The nuclear counter stain is DAPI (blue). Cells were fixed in paraformaldehyde, permeabilised with 0.25% Triton X100/PBS.
7. Flow cytometric analysis of A431 cells with RanGAP1 antibody at 1/100 dilution (purple) compared with an unlabelled control (cells without incubation with primary antibody; yellow). Alexa Fluor 488-conjugated goat anti-rabbit IgG was used as the secondary antibody.
verifiedActivityverifiedActivityverifiedActivityverifiedActivityverifiedActivityverifiedActivityverifiedActivity
应用FCMICCIFIHCIPWB
推荐剂量
WB: 1:500-2000; IHC: 1:50-200; ICC:IF: 1:100; IP: 1:10-50; FCM: 1:50-100
抗体种类
Monoclonal
宿主来源Rabbit
构建方式Recombinant Antibody
纯化方式ProA affinity purified
性状Liquid
缓冲液1*TBS (pH7.4), 1%BSA, 40%Glycerol. Preservative: 0.05% Sodium Azide.
研究背景The small Ras related protein Ran, also called TC4, is a nuclear localized GTPase implicated in a diverse array of cellular processes including DNA replication, entry into and exit from mitosis and the transport of RNA and proteins through the nuclear pore complex. Like Ras, active Ran GTP and inactive Ran GDP levels are tightly regulated by guanine nucleotide exchange factors (GEFs) and GTPase-activating proteins (GAPs). The abundant GEF RCC1 (regulator of chromosome condensation 1) increases the rate at which Ran exchanges GDP for GTP. Ran GAP1 opposes the effects of RCC1 by increasing the rate at which Ran hydrolyzes GTP to GDP. A protein designated Ran BP1 has no intrinsic GAP activity and functions as a GEF inhibitor deactivating RCC1 and thereby indirectly increasing the ratio of Ran GDP to Ran GTP. Ran BP2 has been proposed as the Ran GTP docking site at the periphery of the nuclear pore complex.
偶联与修饰
偶联
Unconjugated
抗原信息
Uniprot ID
化学信息
分子量Theoretical: 64 kDa.
存储&运输
储存方式Store at -20°C or -80°C for 12 months. Avoid repeated freeze-thaw cycles.
运输方式Shipping with blue ice.

计算器

  • 稀释 计算器

评论列表

4个月前
5.0
Rating icon 很棒

评论内容

Related Tags: buy Anti-RanGAP1 Antibody (8X592) | purchase Anti-RanGAP1 Antibody (8X592) | Anti-RanGAP1 Antibody (8X592) cost | order Anti-RanGAP1 Antibody (8X592) | Anti-RanGAP1 Antibody (8X592) molecular weight