购物车
  • TargetMol
    您的购物车当前为空

Anti-RALBP1 Antibody (4R123)

Synonyms: RLIP76, RLIP1, RIP1, RBP1_HUMAN, Ral-interacting protein 1, 76-KD, Ral-interacting protein 1, RalBP1, RALBP 1, RalA-binding protein 1, DNP-SG ATPase, Dinitrophenyl S-glutathione ATPase, 76-kDa Ral-interacting protein, 76 kDa Ral-interacting protein
货号 TMAC-03529 一键复制产品信息
Rating icon 还可以

Anti-RALBP1 Antibody (4R123) 是一种 Rabbit 抗体,靶向 RALBP1。Anti-RALBP1 Antibody (4R123) 可用于 FCM,IHC,WB。

Anti-RALBP1 Antibody (4R123)

一键复制产品信息
Rating icon 还可以
货号 TMAC-03529

别名 RLIP76, RLIP1, RIP1, RBP1_HUMAN, Ral-interacting protein 1, 76-KD, Ral-interacting protein 1, RalBP1, RALBP 1, RalA-binding protein 1, DNP-SG ATPase, Dinitrophenyl S-glutathione ATPase, 76-kDa Ral-interacting protein, 76 kDa Ral-interacting protein

Anti-RALBP1 Antibody (4R123) 是一种 Rabbit 抗体,靶向 RALBP1。Anti-RALBP1 Antibody (4R123) 可用于 FCM,IHC,WB。

Anti-RALBP1 Antibody (4R123)
规格价格库存数量
50 μL
¥ 1,490
5日内发货
100 μL
¥ 2,490
5日内发货
库存状态实时更新,以官网显示为准,现货产品可直接加购物车下单
大包装 & 定制
加入购物车
TargetMol的所有产品仅用作科学研究或药证申报,不能被用于人体,我们不向个人提供产品和服务。请您遵守承诺用途,不得违反法律法规规定用于任何其他用途。
实验操作小课堂
常见问题解答
查看更多

资源下载:产品操作手册

产品介绍


生物活性
产品描述
Anti-RALBP1 Antibody (4R123) is a Rabbit antibody targeting RALBP1. Anti-RALBP1 Antibody (4R123) can be used in FCM,IHC,WB.
别名RLIP76, RLIP1, RIP1, RBP1_HUMAN, Ral-interacting protein 1, 76-KD, Ral-interacting protein 1, RalBP1, RALBP 1, RalA-binding protein 1, DNP-SG ATPase, Dinitrophenyl S-glutathione ATPase, 76-kDa Ral-interacting protein, 76 kDa Ral-interacting protein
Ig Type
IgG
克隆号
4R123
反应种属
Human,Mouse,Rat
验证活性
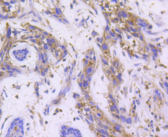
1. Immunohistochemical analysis of paraffin-embedded human breast carcinoma tissue using anti-RALBP1 antibody. Counter stained with hematoxylin.
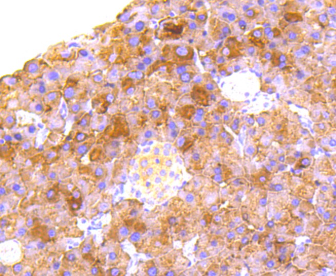
2. Immunohistochemical analysis of paraffin-embedded human pancreas tissue using anti-RALBP1 antibody. Counter stained with hematoxylin.
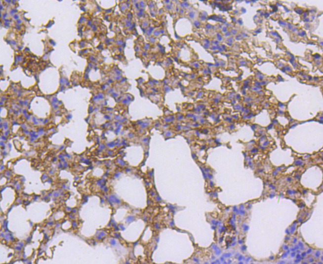
3. Immunohistochemical analysis of paraffin-embedded mouse lung tissue using anti-RALBP1 antibody. Counter stained with hematoxylin.
4. Immunohistochemical analysis of paraffin-embedded mouse testis tissue using anti-RALBP1 antibody. Counter stained with hematoxylin.
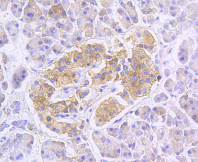
5. Immunohistochemical analysis of paraffin-embedded mouse pancreas tissue using anti-RALBP1 antibody. Counter stained with hematoxylin.
6. Flow cytometric analysis of 293 cells with RALBP1 antibody at 1/50 dilution (red) compared with an unlabelled control (cells without incubation with primary antibody; black). Alexa Fluor 488-conjugated goat anti rabbit IgG was used as the secondary antibody.
verifiedActivityverifiedActivityverifiedActivityverifiedActivityverifiedActivityverifiedActivity
应用FCMIHCWB
推荐剂量
WB: 1:1000-5000; IHC: 1:50-200; FCM: 1:50-100
抗体种类
Monoclonal
宿主来源Rabbit
构建方式Recombinant Antibody
纯化方式ProA affinity purified
性状Liquid
缓冲液1*TBS (pH7.4), 1%BSA, 40%Glycerol. Preservative: 0.05% Sodium Azide.
研究背景Ral A and Ral B constitute a distinct subfamily of Ras-related GTPases (i.e., GDP/GTP binding proteins). Ral proteins are activated by a unique nucleotide exchange factor, Ral GDS, and deactivated by a distinct GTPase-activating protein. Unlike Ras proteins, Ral A and Ral B fail to induce transformed foci when activated variants are expressed in various recipient cells. A potential downstream target of Ral, designated Ral BP-1, has been shown to contain a Rho-GTPase-activating domain. This Rho-GTPase-activating domain interacts preferentially with the Rho family member Cdc42. A Ras/Ral signaling pathway has been reported to mediate phospholipase D (PLD) activation by v-Src, thus indicating PLD as another downstream target of Ral A.
偶联与修饰
偶联
Unconjugated
抗原信息
免疫原
Recombinant Protein
Uniprot ID
化学信息
分子量Theoretical: 95 kDa.
储存&溶解度
储存方式Store at -20°C or -80°C for 12 months. Avoid repeated freeze-thaw cycles.
运输方式Shipping with blue ice.

计算器

  • 稀释 计算器
  • 配液 计算器
Related Tags: buy Anti-RALBP1 Antibody (4R123) | purchase Anti-RALBP1 Antibody (4R123) | Anti-RALBP1 Antibody (4R123) cost | order Anti-RALBP1 Antibody (4R123) | Anti-RALBP1 Antibody (4R123) molecular weight