购物车
  • TargetMol
    您的购物车当前为空

Anti-RAGE Antibody (3H335)

Synonyms: Receptor for advanced glycosylation end products, Advanced glycosylation end product-specific receptor
货号 TMAC-03528 一键复制产品信息
Rating icon 还可以

Anti-RAGE Antibody (3H335) 是一种 Rabbit 抗体,靶向 RAGE。Anti-RAGE Antibody (3H335) 可用于 FCM,ICC/IF,IHC,WB。

Anti-RAGE Antibody (3H335)

一键复制产品信息
Rating icon 还可以
货号 TMAC-03528

别名 Receptor for advanced glycosylation end products, Advanced glycosylation end product-specific receptor

Anti-RAGE Antibody (3H335) 是一种 Rabbit 抗体,靶向 RAGE。Anti-RAGE Antibody (3H335) 可用于 FCM,ICC/IF,IHC,WB。

Anti-RAGE Antibody (3H335)
规格价格库存数量
50 μL
¥ 1,495
5日内发货
100 μL
¥ 2,495
5日内发货
库存状态实时更新,以官网显示为准,现货产品可直接加购物车下单
大包装 & 定制
加入购物车
TargetMol的所有产品仅用作科学研究或药证申报,不能被用于人体,我们不向个人提供产品和服务。请您遵守承诺用途,不得违反法律法规规定用于任何其他用途。
实验操作小课堂
常见问题解答
查看更多

资源下载:产品操作手册

产品介绍


生物活性
产品描述
Anti-RAGE Antibody (3H335) is a Rabbit antibody targeting RAGE. Anti-RAGE Antibody (3H335) can be used in FCM,ICC/IF,IHC,WB.
别名Receptor for advanced glycosylation end products, Advanced glycosylation end product-specific receptor
Ig Type
IgG
克隆号
3H335
反应种属
Human,Mouse,Rat
验证活性
1. Western blot analysis of RAGE on mouse lung lysates using anti-RAGE antibody at 1/1,000 dilution.
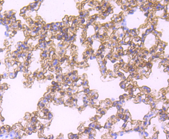
2. Immunohistochemical analysis of paraffin-embedded mouse lung tissue using anti-RAGE antibody. Counter stained with hematoxylin.
3. ICC staining RAGE in A431 cells (red). The nuclear counter stain is DAPI (blue). Cells were fixed in paraformaldehyde, permeabilised with 0.25% Triton X100/PBS.
4. ICC staining RAGE in MCF-7 cells (red). The nuclear counter stain is DAPI (blue). Cells were fixed in paraformaldehyde, permeabilised with 0.25% Triton X100/PBS.
5. Flow cytometric analysis of Jurkat cells with RAGE antibody at 1/50 dilution (red) compared with an unlabelled control (cells without incubation with primary antibody; black). Alexa Fluor 488-conjugated goat anti rabbit IgG was used as the secondary antibody.
verifiedActivityverifiedActivityverifiedActivityverifiedActivityverifiedActivity
应用FCMICC/IFIHCWB
推荐剂量
WB: 1:1000-5000; IHC: 1:50-200; ICC/IF: 1:50-200; FCM: 1:50-100
抗体种类
Monoclonal
宿主来源Rabbit
构建方式Recombinant Antibody
纯化方式ProA affinity purified
性状Liquid
缓冲液1*TBS (pH7.4), 1%BSA, 40%Glycerol. Preservative: 0.05% Sodium Azide.
研究背景Advanced glycosylation end products of proteins (AGEs) are nonenzymatically glycosylated proteins that are associated with a variety of conditions, including diabetes and other vascular disorders, as well as amyloidosis. These proteins regulate cellular functions via specific cell surface acceptor molecules, such as RAGE (receptor for advanced glycosylation end products). RAGE is a type 1 membrane protein that is found on the surface of endothelial cells, mononuclear phagocytes and vascular smooth muscle cells. Binding of AGEs to RAGE results in the induction of cellular oxidant stress and activation of the transcription factor NFkB. Evidence suggests that the induction of oxidant stress results in the activation of an intracellular cascade involving p21 ras and MAP kinase, which leads to activation of transcription.
偶联与修饰
偶联
Unconjugated
抗原信息
免疫原
Recombinant Protein
Uniprot ID
化学信息
分子量Theoretical: 50 kDa.
储存&溶解度
储存方式Store at -20°C or -80°C for 12 months. Avoid repeated freeze-thaw cycles.
运输方式Shipping with blue ice.

计算器

  • 稀释 计算器
  • 配液 计算器
Related Tags: buy Anti-RAGE Antibody (3H335) | purchase Anti-RAGE Antibody (3H335) | Anti-RAGE Antibody (3H335) cost | order Anti-RAGE Antibody (3H335) | Anti-RAGE Antibody (3H335) molecular weight