购物车
  • TargetMol
    您的购物车当前为空

Anti-RAD51 Antibody (4A386)

Synonyms: recombination protein A, RecA, E. coli, homolog of, RecA like protein, RecA homolog E. coli, RECA, RAD51A, RAD51 S cerevisiae homolog, RAD51 homolog(RecA homolog, E. coli)(S. cerevisiae), RAD51 homolog S. cerevisiae, RAD51 homolog, Rad 51, HsT16930, HsRad51, HRAD51, homolog of S cerevisiae RAD51, Homolog of E coli RecA, HGNC:9817, E coli RecA homolog, DNA repair protein rhp51, DNA repair protein RAD51 homolog 1, BRCC5, BRCC 5, BRCA1/BRCA2 containing complex, subunit 5
货号 TMAC-03510Cas号 一键复制产品信息纯度:
Rating icon 还可以

Anti-RAD51 Antibody (4A386) 是一种 Rabbit 抗体,靶向 RAD51。Anti-RAD51 Antibody (4A386) 可用于 FCM,ICC/IF,IHC,IP,WB。

Anti-RAD51 Antibody (4A386)

一键复制产品信息
Rating icon 还可以
货号 TMAC-03510

别名 recombination protein A, RecA, E. coli, homolog of, RecA like protein, RecA homolog E. coli, RECA, RAD51A, RAD51 S cerevisiae homolog, RAD51 homolog(RecA homolog, E. coli)(S. cerevisiae), RAD51 homolog S. cerevisiae, RAD51 homolog, Rad 51, HsT16930, HsRad51, HRAD51, homolog of S cerevisiae RAD51, Homolog of E coli RecA, HGNC:9817, E coli RecA homolog, DNA repair protein rhp51, DNA repair protein RAD51 homolog 1, BRCC5, BRCC 5, BRCA1/BRCA2 containing complex, subunit 5

Anti-RAD51 Antibody (4A386) 是一种 Rabbit 抗体,靶向 RAD51。Anti-RAD51 Antibody (4A386) 可用于 FCM,ICC/IF,IHC,IP,WB。

Anti-RAD51 Antibody (4A386)
规格价格库存数量
50 μL
¥ 1,485
5日内发货
100 μL
¥ 2,495
5日内发货
库存状态实时更新,以官网显示为准,现货产品可直接加购物车下单
大包装 & 定制
加入购物车

TargetMol的所有产品仅用作科学研究或药证申报,不能被用于人体,我们不向个人提供产品和服务。请您遵守承诺用途,不得违反法律法规规定用于任何其他用途。

实验操作小课堂
常见问题解答
查看更多

资源下载:产品操作手册

产品介绍


生物活性
产品描述
Anti-RAD51 Antibody (4A386) is a Rabbit antibody targeting RAD51. Anti-RAD51 Antibody (4A386) can be used in FCM,ICC/IF,IHC,IP,WB.
别名
recombination protein A, RecA, E. coli, homolog of, RecA like protein, RecA homolog E. coli, RECA, RAD51A, RAD51 S cerevisiae homolog, RAD51 homolog(RecA homolog, E. coli)(S. cerevisiae), RAD51 homolog S. cerevisiae, RAD51 homolog, Rad 51, HsT16930, HsRad51, HRAD51, homolog of S cerevisiae RAD51, Homolog of E coli RecA, HGNC:9817, E coli RecA homolog, DNA repair protein rhp51, DNA repair protein RAD51 homolog 1, BRCC5, BRCC 5, BRCA1/BRCA2 containing complex, subunit 5
Ig Type
IgG
克隆号
4A386
反应种属
Human,Mouse,Rat
验证活性
1. Western blot analysis of Rad51 on mouse testie tissue lytase using anti-Rad51 antibody at 1/1,000 dilution.
2. Immunohistochemical analysis of paraffin-embedded rat epididymis tissue using anti-Rad51 antibody. Counter stained with hematoxylin.
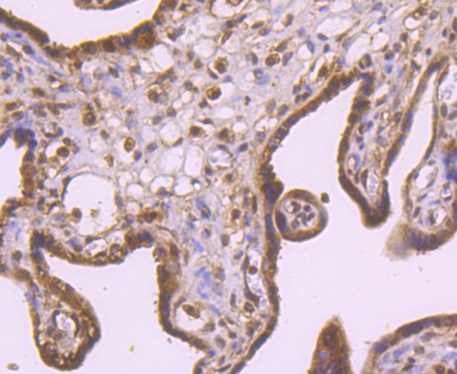
3. Immunohistochemical analysis of paraffin-embedded human placenta tissue using anti-Rad51 antibody. Counter stained with hematoxylin.
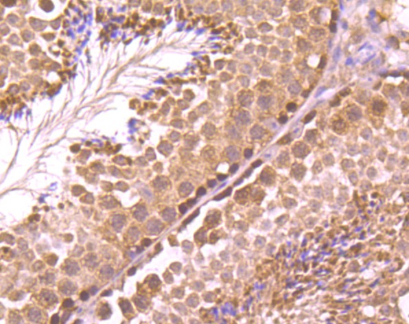
4. Immunohistochemical analysis of paraffin-embedded mouse testis tissue using anti-Rad51 antibody. Counter stained with hematoxylin.
5. ICC staining Rad51 in Hela cells (green). The nuclear counter stain is DAPI (blue). Cells were fixed in paraformaldehyde, permeabilised with 0.25% Triton X100/PBS.
6. ICC staining Rad51 in LOVO cells (green). The nuclear counter stain is DAPI (blue). Cells were fixed in paraformaldehyde, permeabilised with 0.25% Triton X100/PBS.
7. ICC staining Rad51 in PANC-1 cells (green). The nuclear counter stain is DAPI (blue). Cells were fixed in paraformaldehyde, permeabilised with 0.25% Triton X100/PBS.
8. Flow cytometric analysis of Jurkat cells with Rad51 antibody at 1/100 dilution (red) compared with an unlabelled control (cells without incubation with primary antibody; black).
verifiedActivityverifiedActivityverifiedActivityverifiedActivityverifiedActivityverifiedActivityverifiedActivityverifiedActivity
应用FCMICC/IFIHCIPWB
推荐剂量
WB: 1:500; IHC: 1:50-200; ICC/IF: 1:50-200; IP: 1:10-50; FCM: 1:50-100
抗体种类
Monoclonal
宿主来源Rabbit
构建方式Recombinant Antibody
纯化方式ProA affinity purified
性状Liquid
缓冲液1*TBS (pH7.4), 1%BSA, 40%Glycerol. Preservative: 0.05% Sodium Azide.
研究背景Rad51 (RECA, BRCC5) interacts with BRCA1 and BRCA2 to influence subcellular localization and cellular response to DNA damage. BRCA2 inactivation may be a key event leading to genomic instability and tumorigenesis from deregulation of Rad51. Rad52 forms a heptameric ring that binds single-stranded DNA ends and catalyzes DNA-DNA interaction necessary for the annealing of complementary strands. Rad52 can interact with Rad51. Rad54A of the DEAD-like helicase superfamily binds to double-strand DNA and induces a DNA topological change, which is thought to facilitate homologous DNA pairing and stimulate DNA recombination. Rad54B of the DEAD-like helicase superfamily binds to double-stranded DNA and displays ATPase activity in the presence of DNA. Rad54B is abundant in testis and spleen, and mutations of this gene occur in primary lymphoma and colon cancer. MRE11 (meiotic recombination 11, ATLD, HNGS1) is a nuclear 3??-5?? exonuclease/endonuclease that associates with Rad50 and influences homologous recombination, telomere length maintenance, and DNA double-strand break repair. MRE11 is most abundant in proliferating tissues.
偶联与修饰
偶联
Unconjugated
抗原信息
免疫原
Recombinant Protein
Uniprot ID
化学信息
分子量Theoretical: 37 kDa.
储存&溶解度
储存方式Store at -20°C or -80°C for 12 months. Avoid repeated freeze-thaw cycles.
运输方式Shipping with blue ice.

计算器

  • 稀释 计算器
  • 配液 计算器
Related Tags: buy Anti-RAD51 Antibody (4A386) | purchase Anti-RAD51 Antibody (4A386) | Anti-RAD51 Antibody (4A386) cost | order Anti-RAD51 Antibody (4A386) | Anti-RAD51 Antibody (4A386) molecular weight