购物车
  • 全部删除
  • TargetMol
    您的购物车当前为空

Anti-Rack1 Antibody (8C519)

Rating icon 还可以
产品编号 TMAC-03499
别名 RACK1, PIG21, HLC-7, H12.3, Gnb2-rs1

Anti-Rack1 Antibody (8C519) 是一种 Rabbit 抗体,靶向 Rack1。Anti-Rack1 Antibody (8C519) 可用于 FCM,IHC,WB。

Anti-Rack1 Antibody (8C519)

Anti-Rack1 Antibody (8C519)

一键复制产品信息
Rating icon 还可以
产品编号 TMAC-03499 别名 RACK1, PIG21, HLC-7, H12.3, Gnb2-rs1

Anti-Rack1 Antibody (8C519) 是一种 Rabbit 抗体,靶向 Rack1。Anti-Rack1 Antibody (8C519) 可用于 FCM,IHC,WB。

规格价格库存数量
50 μL
¥ 1,480
5日内发货
100 μL
¥ 2,480
5日内发货
大包装 & 定制
加入购物车
TargetMol 的所有产品仅用作科学研究或药证申报,不能被用于人体,我们不向个人提供产品和服务。请您遵守承诺用途,不得违反法律法规规定用于任何其他用途。
实验操作小课堂
常见问题解答
查看更多
联系我们获取更多批次信息
资源下载

产品介绍

生物活性
产品描述
Anti-Rack1 Antibody (8C519) is a Rabbit antibody targeting Rack1. Anti-Rack1 Antibody (8C519) can be used in FCM,IHC,WB.
别名RACK1, PIG21, HLC-7, H12.3, Gnb2-rs1
Ig Type
IgG
克隆号
8C519
交叉反应
Human,Mouse,Rat
验证活性
1. Western blot analysis of RACK1 on different lysates using anti-RACK1 antibody at 1/2,000 dilution. Positive control: Lane 1: SH-SY-5Y, Lane 2: Rat small intestine.
2. Immunohistochemical analysis of paraffin-embedded rat cerebellum tissue using anti-RACK1 antibody. Counter stained with hematoxylin.
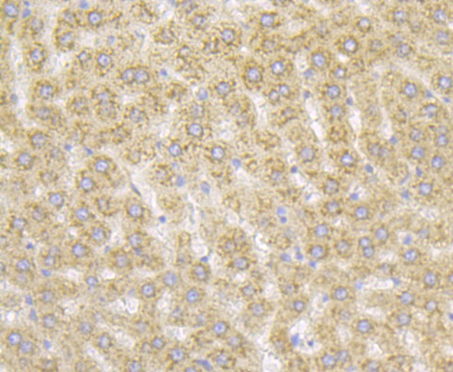
3. Immunohistochemical analysis of paraffin-embedded rat liver tissue using anti-RACK1 antibody. Counter stained with hematoxylin.
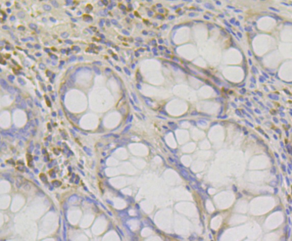
4. Immunohistochemical analysis of paraffin-embedded human colon tissue using anti-RACK1 antibody. Counter stained with hematoxylin.
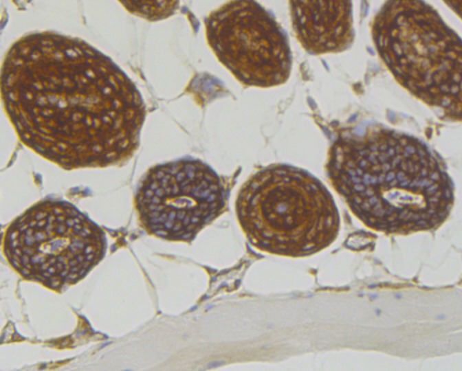
5. Immunohistochemical analysis of paraffin-embedded mouse skin tissue using anti-RACK1 antibody. Counter stained with hematoxylin.
6. Flow cytometric analysis of SH-SY-5Y cells with RACK1 antibody at 1/100 dilution (purple) compared with an unlabelled control (cells without incubation with primary antibody; yellow). Alexa Fluor 488-conjugated goat anti-rabbit IgG was used as the secondary antibody.
verifiedActivityverifiedActivityverifiedActivityverifiedActivityverifiedActivityverifiedActivity
应用FCMIHCWB
推荐剂量
WB: 1:1000-2000; IHC: 1:50-200; FCM: 1:50-100
抗体种类
Monoclonal
宿主来源Rabbit
构建方式Recombinant Antibody
纯化方式ProA affinity purified
性状Liquid
缓冲液1*TBS (pH7.4), 1%BSA, 40%Glycerol. Preservative: 0.05% Sodium Azide.
研究背景Members of the protein kinase C (PKC) family play a key regulatory role in a variety of cellular functions, including cell growth and differentiation, gene expression, hormone secretion and membrane function. Receptor for activated C kinases, termed RACKs, are intracellular receptors for activated PKC that may be involved in the activation-induced translocation of PKC. RACK1 (receptor for activated C kinase 1) is a 317 amino acid G protein b subunit-like protein that functions as a RACK and inhibits the activity of Src tyrosine kinases. In response to PKC activation, the intracellular localization of RACK1 and PKC bII changes, and RACK1 and PKC bII co-localize to the same sites. RACK1 is therefore thought to be a shuttling protein for PKC bII. A deficit in RACK1 may be associated with impaired PKC activation in the aging brain. The RACK1 gene is conserved in chimpanzee, dog, cow, mouse, rat, chicken, zebrafish, fruit fly, mosquito, C.elegans, S.pombe, S.cerevisiae, K.lactis, E.gossypii, M.grisea, N.crassa, A.thaliana, rice and P.falciparum, and maps to human chromosome 5q35.3.
偶联与修饰
偶联
Unconjugated
抗原信息
免疫原
Recombinant Protein: C-terminal human RACK1
抗原种属
human
Uniprot ID
化学信息
分子量Theoretical: 35 kDa.
存储&运输
储存方式Store at -20°C or -80°C for 12 months. Avoid repeated freeze-thaw cycles.
运输方式Shipping with blue ice.

计算器

  • 稀释 计算器

关键词

评论列表

4个月前
5.0
Rating icon 很棒

评论内容

Related Tags: buy Anti-Rack1 Antibody (8C519) | purchase Anti-Rack1 Antibody (8C519) | Anti-Rack1 Antibody (8C519) cost | order Anti-Rack1 Antibody (8C519) | Anti-Rack1 Antibody (8C519) molecular weight