购物车
  • TargetMol
    您的购物车当前为空

Anti-Pumilio 1 Antibody (3G125)

Synonyms: PUML1, PUML 1, Pumilio1, pumilio homolog 1 (Drosophila), Pumilio homolog 1, PUMH1, PUMH 1, PUMH, PUM1_HUMAN, Pum1, PUM L1, PUM 1, KIAA0099, HsPUM
货号 TMAC-03472 一键复制产品信息
Rating icon 还可以

Anti-Pumilio 1 Antibody (3G125) 是一种 Rabbit 抗体,靶向 Pumilio 1。Anti-Pumilio 1 Antibody (3G125) 可用于 FCM,ICC,IF,IHC,IP,WB。

Anti-Pumilio 1 Antibody (3G125)

一键复制产品信息
Rating icon 还可以
货号 TMAC-03472

别名 PUML1, PUML 1, Pumilio1, pumilio homolog 1 (Drosophila), Pumilio homolog 1, PUMH1, PUMH 1, PUMH, PUM1_HUMAN, Pum1, PUM L1, PUM 1, KIAA0099, HsPUM

Anti-Pumilio 1 Antibody (3G125) 是一种 Rabbit 抗体,靶向 Pumilio 1。Anti-Pumilio 1 Antibody (3G125) 可用于 FCM,ICC,IF,IHC,IP,WB。

Anti-Pumilio 1 Antibody (3G125)
规格价格库存数量
50 μL
¥ 1,490
5日内发货
100 μL
¥ 2,490
5日内发货
库存状态实时更新,以官网显示为准,现货产品可直接加购物车下单
大包装 & 定制
加入购物车
TargetMol的所有产品仅用作科学研究或药证申报,不能被用于人体,我们不向个人提供产品和服务。请您遵守承诺用途,不得违反法律法规规定用于任何其他用途。
实验操作小课堂
常见问题解答
查看更多

资源下载:产品操作手册

产品介绍


生物活性
产品描述
Anti-Pumilio 1 Antibody (3G125) is a Rabbit antibody targeting Pumilio 1. Anti-Pumilio 1 Antibody (3G125) can be used in FCM,ICC,IF,IHC,IP,WB.
别名PUML1, PUML 1, Pumilio1, pumilio homolog 1 (Drosophila), Pumilio homolog 1, PUMH1, PUMH 1, PUMH, PUM1_HUMAN, Pum1, PUM L1, PUM 1, KIAA0099, HsPUM
Ig Type
IgG
克隆号
3G125
反应种属
Human,Mouse
验证活性
1. Western blot analysis of Pumilio 1 on SiHa cell using anti-Pumilio 1 antibody at 1/1,000 dilution.
2. Immunohistochemical analysis of paraffin-embedded human colon tissue using anti-Pumilio 1 antibody. Counter stained with hematoxylin.
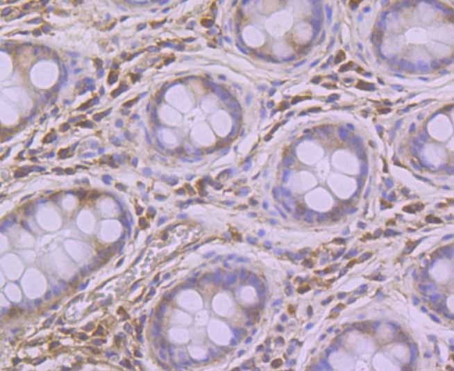
3. Immunohistochemical analysis of paraffin-embedded human appendix tissue using anti-Pumilio 1 antibody. Counter stained with hematoxylin.
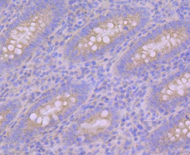
4. Immunohistochemical analysis of paraffin-embedded mouse small intestine tissue using anti-Pumilio 1 antibody. Counter stained with hematoxylin.
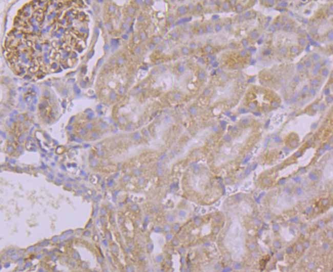
5. Immunohistochemical analysis of paraffin-embedded mouse kidney tissue using anti-Pumilio 1 antibody. Counter stained with hematoxylin.
6. ICC staining Pumilio 1 in 293T cells (green). The nuclear counter stain is DAPI (blue). Cells were fixed in paraformaldehyde, permeabilised with 0.25% Triton X100/PBS.
7. ICC staining Pumilio 1 in SiHa cells (green). The nuclear counter stain is DAPI (blue). Cells were fixed in paraformaldehyde, permeabilised with 0.25% Triton X100/PBS.
8. Flow cytometric analysis of 293T cells with Pumilio 1 antibody at 1/100 dilution (purple) compared with an unlabelled control (cells without incubation with primary antibody; yellow).Alexa Fluor 488-conjugated goat anti-rabbit IgG was used as the secondary antibody.
verifiedActivityverifiedActivityverifiedActivityverifiedActivityverifiedActivityverifiedActivityverifiedActivityverifiedActivity
应用FCMICCIFIHCIPWB
推荐剂量
WB: 1:1000-2000; IHC: 1:50-200; ICC: 1:50-200; IP: 1:10-50; FCM: 1:50-100
抗体种类
Monoclonal
宿主来源Rabbit
构建方式Recombinant Antibody
纯化方式ProA affinity purified
性状Liquid
缓冲液1*TBS (pH7.4), 1%BSA, 40%Glycerol. Preservative: 0.05% Sodium Azide.
研究背景Sequence-specific RNA-binding protein that acts as a post-transcriptional repressor by binding the 3'-UTR of mRNA targets. Binds to an RNA consensus sequence, the Pumilio Response Element (PRE), 5'-UGUANAUA-3', that is related to the Nanos Response Element (NRE). Mediates post-transcriptional repression of transcripts via different mechanisms: acts via direct recruitment of the CCR4-POP2-NOT deadenylase leading to translational inhibition and mRNA degradation. Also mediates deadenylation-independent repression by promoting accessibility of miRNAs.
偶联与修饰
偶联
Unconjugated
抗原信息
免疫原
Recombinant Protein: human Pumilio 1 aa 1-200
抗原种属
human
Uniprot ID
化学信息
分子量Theoretical: 126 kDa.
储存&溶解度
储存方式Store at -20°C or -80°C for 12 months. Avoid repeated freeze-thaw cycles.
运输方式Shipping with blue ice.

计算器

  • 稀释 计算器
  • 配液 计算器
Related Tags: buy Anti-Pumilio 1 Antibody (3G125) | purchase Anti-Pumilio 1 Antibody (3G125) | Anti-Pumilio 1 Antibody (3G125) cost | order Anti-Pumilio 1 Antibody (3G125) | Anti-Pumilio 1 Antibody (3G125) molecular weight