购物车
  • TargetMol
    您的购物车当前为空

Anti-PTPN14 Antibody (8D656)

Synonyms: Tyrosine-protein phosphatase non-receptor type 14, PTPN14, PTPD2, Protein-tyrosine phosphatase pez, PEZ
货号 TMAC-03467 一键复制产品信息
Rating icon 还可以

Anti-PTPN14 Antibody (8D656) 是一种 Mouse 抗体,靶向 PTPN14。Anti-PTPN14 Antibody (8D656) 可用于 FCM,ICC,IHC,WB。

Anti-PTPN14 Antibody (8D656)

一键复制产品信息
Rating icon 还可以
货号 TMAC-03467

别名 Tyrosine-protein phosphatase non-receptor type 14, PTPN14, PTPD2, Protein-tyrosine phosphatase pez, PEZ

Anti-PTPN14 Antibody (8D656) 是一种 Mouse 抗体,靶向 PTPN14。Anti-PTPN14 Antibody (8D656) 可用于 FCM,ICC,IHC,WB。

Anti-PTPN14 Antibody (8D656)
规格价格库存数量
50 μL
¥ 1,985
5日内发货
100 μL
¥ 2,980
5日内发货
库存状态实时更新,以官网显示为准,现货产品可直接加购物车下单
大包装 & 定制
加入购物车
TargetMol的所有产品仅用作科学研究或药证申报,不能被用于人体,我们不向个人提供产品和服务。请您遵守承诺用途,不得违反法律法规规定用于任何其他用途。
实验操作小课堂
常见问题解答
查看更多

资源下载:产品操作手册

产品介绍


生物活性
产品描述
Anti-PTPN14 Antibody (8D656) is a Mouse antibody targeting PTPN14. Anti-PTPN14 Antibody (8D656) can be used in FCM,ICC,IHC,WB.
别名Tyrosine-protein phosphatase non-receptor type 14, PTPN14, PTPD2, Protein-tyrosine phosphatase pez, PEZ
克隆号
8D656
反应种属
Human
验证活性
1. Western blot analysis of PTPN14 on human PTPN14 ecombinant protein using anti-PTPN14 antibody at 1/1,000 dilution.
2. Western blot analysis of PTPN14 on HEK293 (1) and PTPN14-hIgGFc transfected HEK293 (2) cell lysate using anti-PTPN14 antibody at 1/1,000 dilution.
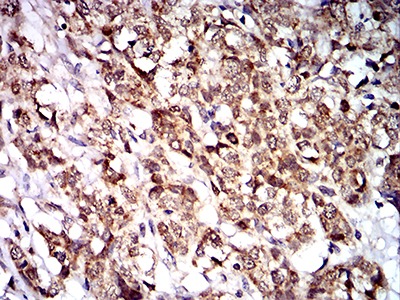
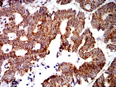
3. Immunohistochemical analysis of paraffin-embedded human breast cancer tissue using anti-PTPN14 antibody. Counter stained with hematoxylin.
4. Immunohistochemical analysis of paraffin-embedded human rectum cancer tissue using anti-PTPN14 antibody. Counter stained with hematoxylin.
5. ICC staining PTPN14 (green) and Actin filaments (red) in Hela cells. The nuclear counter stain is DAPI (blue). Cells were fixed in paraformaldehyde, permeabilised with 0.25% Triton X100/PBS.
6. Flow cytometric analysis of Hela cells with PTPN14 antibody at 1/100 dilution (green) compared with an unlabelled control (cells without incubation with primary antibody; red).
verifiedActivityverifiedActivityverifiedActivityverifiedActivityverifiedActivityverifiedActivity
应用FCMICCIHCWB
推荐剂量
WB: 1:500-2000; IHC: 1:50-200; ICC: 1:50-200; FCM: 1:50-100
抗体种类
Monoclonal
宿主来源Mouse
构建方式Hybridoma Monoclonal Antibody
纯化方式ProA affinity purified
性状Liquid
缓冲液1*TBS (pH7.4), 1%BSA, 40%Glycerol. Preservative: 0.05% Sodium Azide.
研究背景Protein tyrosine phosphatase which may play a role in the regulation of lymphangiogenesis, cell-cell adhesion, cell-matrix adhesion, cell migration, cell growth and also regulates TGF-beta gene expression, thereby modulating epithelial-mesenchymal transition. Mediates beta-catenin dephosphorylation at adhesion junctions. Acts as a negative regulator of the oncogenic property of YAP, a downstream target of the hippo pathway, in a cell density-dependent manner. May function as a tumor suppressor.
偶联与修饰
偶联
Unconjugated
抗原信息
免疫原
Recombinant Protein
Uniprot ID
化学信息
分子量Theoretical: 135 kDa.
储存&溶解度
储存方式Store at -20°C or -80°C for 12 months. Avoid repeated freeze-thaw cycles.
运输方式Shipping with blue ice.

计算器

  • 稀释 计算器
  • 配液 计算器

关键词

Related Tags: buy Anti-PTPN14 Antibody (8D656) | purchase Anti-PTPN14 Antibody (8D656) | Anti-PTPN14 Antibody (8D656) cost | order Anti-PTPN14 Antibody (8D656) | Anti-PTPN14 Antibody (8D656) molecular weight