购物车
  • TargetMol
    您的购物车当前为空

Anti-PTP1B Antibody (4L780)

Synonyms: PTP1B
货号 TMAC-03466 一键复制产品信息
Rating icon 还可以

Anti-PTP1B Antibody (4L780) 是一种 Rabbit 抗体,靶向 PTP1B。Anti-PTP1B Antibody (4L780) 可用于 FCM,ICC/IF,IHC,WB。

Anti-PTP1B Antibody (4L780)

一键复制产品信息
Rating icon 还可以
货号 TMAC-03466

别名 PTP1B

Anti-PTP1B Antibody (4L780) 是一种 Rabbit 抗体,靶向 PTP1B。Anti-PTP1B Antibody (4L780) 可用于 FCM,ICC/IF,IHC,WB。

Anti-PTP1B Antibody (4L780)
规格价格库存数量
50 μL
¥ 1,485
5日内发货
100 μL
¥ 2,485
5日内发货
库存状态实时更新,以官网显示为准,现货产品可直接加购物车下单
大包装 & 定制
加入购物车
TargetMol的所有产品仅用作科学研究或药证申报,不能被用于人体,我们不向个人提供产品和服务。请您遵守承诺用途,不得违反法律法规规定用于任何其他用途。
实验操作小课堂
常见问题解答
查看更多

资源下载:产品操作手册

产品介绍


生物活性
产品描述
Anti-PTP1B Antibody (4L780) is a Rabbit antibody targeting PTP1B. Anti-PTP1B Antibody (4L780) can be used in FCM,ICC/IF,IHC,WB.
别名PTP1B
Ig Type
IgG
克隆号
4L780
反应种属
Human,zebrafish
验证活性
1. Western blot analysis of PTP1B on different lysates using anti-PTP1B antibody at 1/1,000 dilution. Positive control: Lane 1: zebrafish, Lane 2: MCF-7, Lane 3: HepG2, Lane 4: A431.
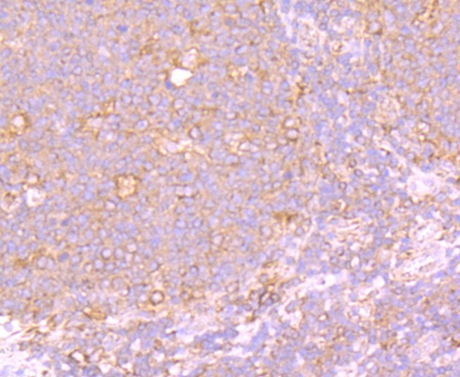
2. Immunohistochemical analysis of paraffin-embedded human tonsil tissue using anti-PTP1B antibody. Counter stained with hematoxylin.
3. ICC staining PTP1B in Hela cells (green). The nuclear counter stain is DAPI (blue). Cells were fixed in paraformaldehyde, permeabilised with 0.25% Triton X100/PBS.
4. ICC staining PTP1B in MCF-7 cells (green). The nuclear counter stain is DAPI (blue). Cells were fixed in paraformaldehyde, permeabilised with 0.25% Triton X100/PBS.
5. ICC staining PTP1B in HepG2 cells (green). The nuclear counter stain is DAPI (blue). Cells were fixed in paraformaldehyde, permeabilised with 0.25% Triton X100/PBS.
6. Flow cytometric analysis of Raji cells with PTP1B antibody at 1/50 dilution (red) compared with an unlabelled control (cells without incubation with primary antibody; black). Alexa Fluor 488-conjugated goat anti rabbit IgG was used as the secondary antibody.
verifiedActivityverifiedActivityverifiedActivityverifiedActivityverifiedActivityverifiedActivity
应用FCMICC/IFIHCWB
推荐剂量
WB: 1:1000-2000; IHC: 1:50-200; ICC/IF: 1:100-500; FCM: 1:50-100
抗体种类
Monoclonal
宿主来源Rabbit
构建方式Recombinant Antibody
纯化方式ProA affinity purified
性状Liquid
缓冲液1*TBS (pH7.4), 1%BSA, 40%Glycerol. Preservative: 0.05% Sodium Azide.
研究背景The phosphorylation of proteins at tyrosine residues has long been recognized as an important regulatory component of signal transduction. This is a reversible process, involving both enzymes that phosphorylate proteins on tyrosine residues as well as a rapidly expanding family of protein tyrosine phosphatases. These latter enzymes bear little resemblance to either the protein serine and protein threonine phosphatases or to the acid and alkaline phosphatases. In most tissues, the major PTPase is a vanadate- and molybdate-sensitive protein. On the basis of sequence analysis, PTP1B (PTPase 1B) expressed in human placenta exhibits similarities both with the common leukocyte antigen (CD45) and with LAR, a homolog of the neural adhesion molecule (NCAM). PTP1B is synthesized as a 435 amino acid precursor protein which is cleaved to generate the active 321 amino acid enzyme.
偶联与修饰
偶联
Unconjugated
抗原信息
免疫原
Recombinant Protein
Uniprot ID
化学信息
分子量Theoretical: 50 kDa.
储存&溶解度
储存方式Store at -20°C or -80°C for 12 months. Avoid repeated freeze-thaw cycles.
运输方式Shipping with blue ice.

计算器

  • 稀释 计算器
  • 配液 计算器
Related Tags: buy Anti-PTP1B Antibody (4L780) | purchase Anti-PTP1B Antibody (4L780) | Anti-PTP1B Antibody (4L780) cost | order Anti-PTP1B Antibody (4L780) | Anti-PTP1B Antibody (4L780) molecular weight